Rapoarte & Studii

Extracția dentară atraumatică:
Perspective clinice ale prof. José Carlos Rosas Díaz

Prof. Dr. José Carlos Rosas Díaz este un expert de renume în domeniul reabilitării orale, implantologiei și parodontologiei. Bazându-se pe vasta sa experiență, atât în cercetare, cât și în practica clinică, Dr. Rosas se concentrează pe beneficiile extracției dentare atraumatice. În acest interviu, acesta abordează conservarea peretelui osos vestibular, fezabilitatea inserării imediate a implantului și rolul tehnologiei piezo în practica clinică modernă.


Dr José Carlos Rosas Díaz
  • Expert în reabilitare orală, implantologie și parodontologie
Dr José Carlos Rosas Díaz

Care sunt avantajele extracției dentare atraumatice?

Dr. Rosas: Extracția atrumatică ne permite să extragem dinții fără a leza peretele osos vestibular (bucal). Această structură este de obicei foarte subțire – adesea mai puțin de 0,5 mm – și, prin urmare, deosebit de susceptibilă la leziuni. În același timp, creasta osoasă proximală este conservată, ceea ce este deosebit de important în regiunea anterioară, unde joacă un rol esențial în menținerea esteticii papilelor gingivale. În contextul inserării imediate a implantului, această abordare oferă, de asemenea, avantaje semnificative: arhitectura completă a țesuturilor dure și moi poate fi conservată, rezultând un aspect mult mai natural al restaurării pe implant. Pentru pacienți, acest lucru se traduce prin reducerea traumatismului chirurgical, confort sporit și diminuarea durerii și edemului postoperator. În plus, în cazurile de alveolită uscată (Alveoliti sicca), se pot utiliza ansele piezo, special destinate finisării delicate a pereților alveolari. Această micro-abrazare atentă a suprafeței osoase stimulează reaparitia sângerării, reducând substanțial riscul de alveolită uscată și favorizând vindecarea fără complicații.

Figure: X-ray shows the sagittal tomographic sections of teeth 1.1, 2.1, and 2.2 revealing very thin buccal bone plates with thicknesses less than 0.2 mm (a, c).
Figure: X-ray shows the sagittal tomographic sections of teeth 1.1, 2.1, and 2.2 revealing very thin buccal bone plates with thicknesses less than 0.2 mm (a, c).
Figure: X-ray shows the sagittal tomographic sections of teeth 1.1, 2.1, and 2.2 revealing very thin buccal bone plates with thicknesses less than 0.2 mm (a, c).
Figura 1: Secțiuni tomografice sagitale ale dinților 1.1, 2.1 și 2.2 care evidențiază plăci osoase bucale foarte subțiri, cu grosimi mai mici de 0,2 mm (a, c).

Puteți enumera câteva exemple în care implantarea ar fi posibilă imediat după o extracție dentară convențională?

Dr. Rosas: Pentru o implantare imediată reușită, trebuie îndeplinite o serie de condiții clinice prealabile. Trebuie să existe un minim de 5 mm de os apical rămas și trebuie să existe suficient os rezidual stabil în jurul alveolei, pentru a ancora în siguranță implantul. Leziunile infecțioase de dimensiuni mai mari trebuie să fie total absente. La fel de importantă este și prezența unui perete osos vestibular (bucal) cu o grosime mai mare de 1 mm. Această stabilitate poate fi obținută, în general, numai prin extracție atraumatică.

În opinia dumneavoastră, în ce mod se poate folosi piezo-tehnologia W&H în realizarea extracțiilor atraumatice?

Dr. Rosas: W&H oferă anse cu o finețe deosebită (nota editorului: de exemplu, EX1 și EX2), cu diametre reduse de numai 0,2 mm. Acestea permit pătrunderea precisă în spațiul ligamentului parodontal, facilitând luxația controlată a dintelui. Cu abilitățile clinice adecvate, acest lucru simplifică semnificativ procedura de extracție. În special, tehnologia piezoelectrică facilitează extracțiile rapide și eficiente ale dinților cu anchiloză severă, la pacienții vârstnici, sau ale dinților cu tratament endodontic de lungă durată. Geometria specializată a acestor anse permite, de asemenea, odontosecții precise. În acest fel, extracția atraumatică devine o procedură sigură și previzibilă.

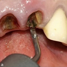
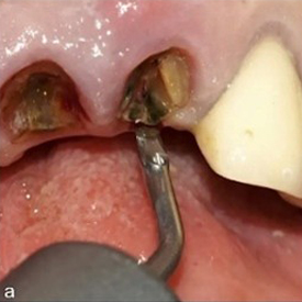
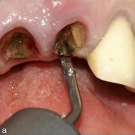
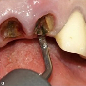
Figura 2: Sindesmotomie cu ajutorul periotomului piezoelectric (EX1 de la W&H) (a), poziționat în spațiul ligamentului parodontal la nivelul fragmentelor palatine (b).

Despre Dr. José Carlos Rosas Díaz

Dr. José Carlos Rosas Díaz, fost decan al Facultății de Stomatologie din cadrul Universității Private San Juan Bautista (UPSJB) din Lima, Peru, deține o diplomă de master în stomatologie și este cercetător la UPSJB. Este specialist în reabilitare orală completă, implantologie orală completă și parodontologie.


comentarii