Имплантологично лечение с Implantmed на W&H:
лесно, сигурно и ефективно
“Предпочитанията ми са прости. Винаги се задоволявам с най-доброто.” Този известен цитат на Оскар Уайлд е приложим за лечение с дентални импланти и също за хирургичния апарат Implantmed на W&H. Изборът на лечение при липсващи зъби, от липса на един зъб до цялостно обеззъбяване при пациенти, е имплантиране. Implantmed е надежден партньор по време на хирургия, дори в случаи, в които стандартният протокол не е адекватен на ситуацията. Д-р Кристиан Дан Пасу, основател на дентална практика Discover White в Дюселдорф, е международен "Експерт по орална хирургия" (GBOI)” и споделя опита си от приложението на имплантологията с помощта на клиничен пример.
Лекуващият лекар по дентална медицина е отговорен за избора на правилно лечение, съгласно подходящата интервенция, време и разходи, базирани на консултацията с пациента, констатациите и диагнозата. Акцентът трябва да бъде поставен върху консултацията заедно с обяснението за самата процедура, рисковете и алтернативите, както и границите на лечението, с цел да се отговори и задоволи нуждата на пациента. Това включва променливи като очакванията на пациента и/ или опита на хирурга. Материалите и оборудването трябва да бъдат възприети като константни величини, които винаги осигуряват ефективни положителни резултати и може да се разчита на тях.
Клиничен случай в имплантологията
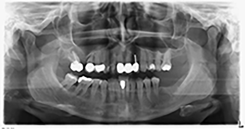
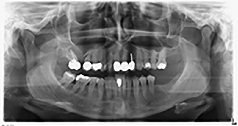
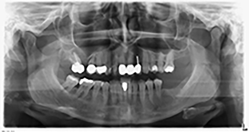
59-годишна пациентка с напреднал стадий на пародонтит описва неприятно чувство и лош вкус в първи квадрант в дисталната зона. Клиничният преглед разкрива силно уголемени пародонтални джобове и напреднала костна атрофия в зона 16 и 14. Рентгенографията потвърждава констатациите (Фиг. 1). Зъби 16 и 14 не могат да бъдат запазени.
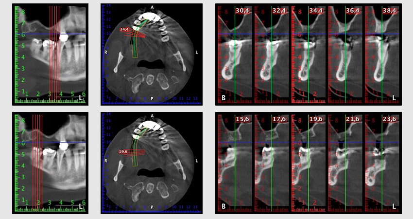
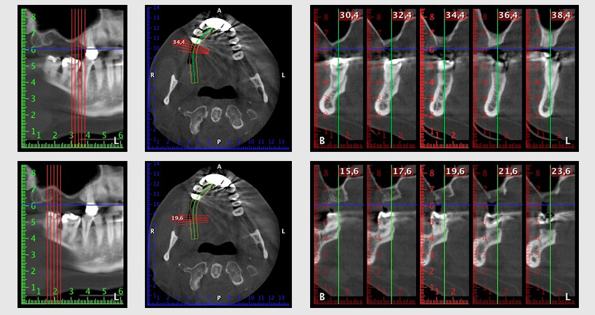
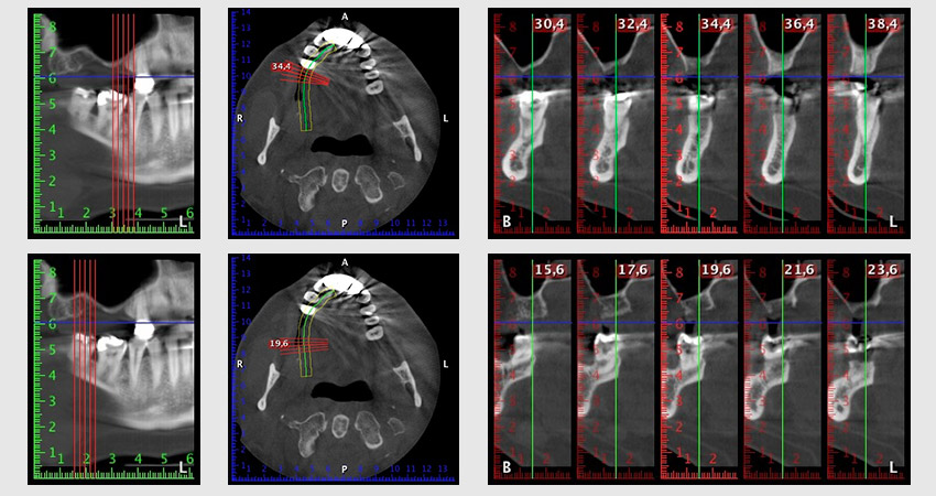
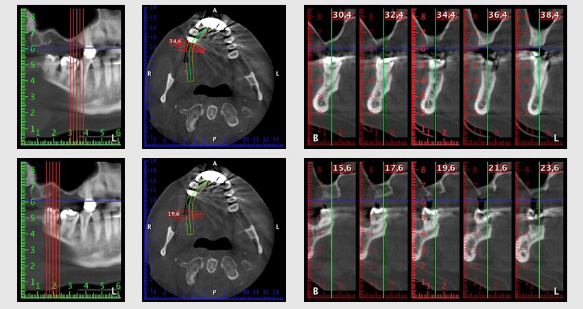
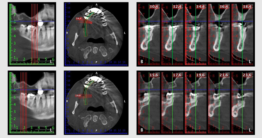
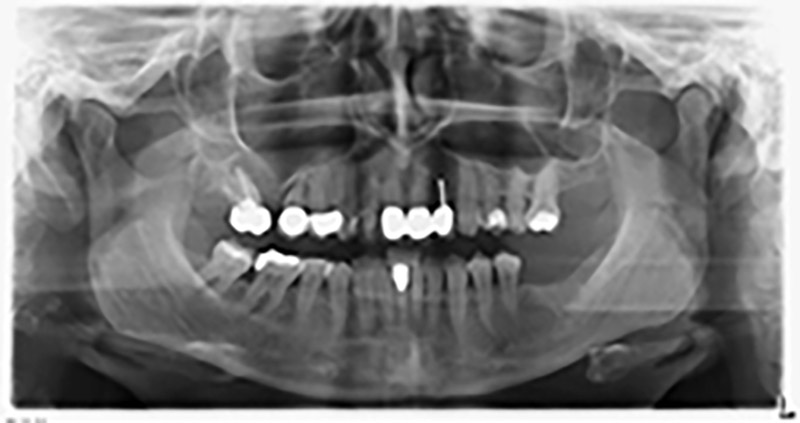
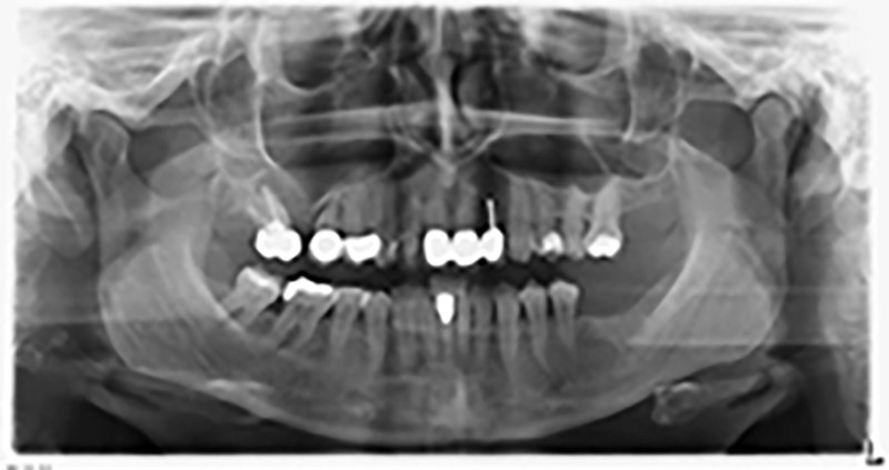
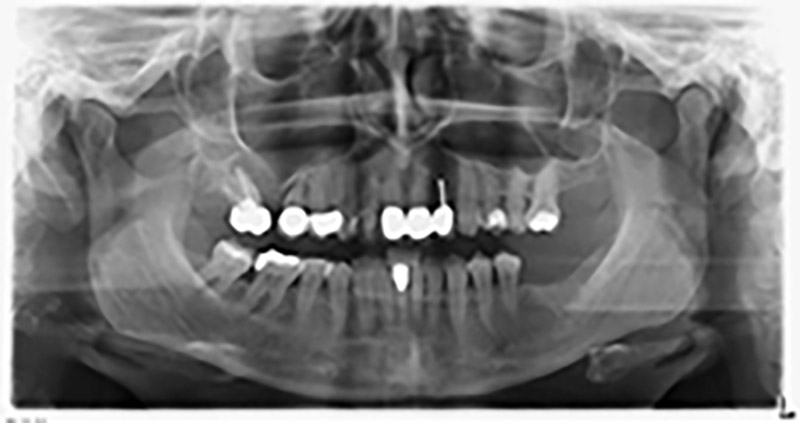
Шест месеца след екстракцията на зъби 16 и 14 се извършва преглед с дигитален томограф (DVT, Planmeca), с цел планиране и намаляване на възможните рискове. Ясно се вижда, че костта не се е регенерирала до желания обем (Фиг. 2 до 7).

Синус лифтът е задължителен и за двете зони 16 и 14, за да се гарантира фиксирано възстановяване, базирано на поне два импланта. Сравнително голяма костна аугментация е необходима, тъй като обемът на остатъчната кост е изключително малък в този случай. Процедурите с голяма костна аугментация са инвазивни и се свързват с висока заболеваемост на пациентите, както и отнемат много време и са скъпи. По-трудно е да се предвидят резултатите от лечението и рискът от неуспех е увеличен. Пациентката е информирана за големия риск и е предложено алтернативно решение, което тя последователно отхвърля.
За да ограничим аугментацията до зона 14, след консултация с пациентката, е планирано поставяне на имплант в зона 16, наклонен по посока на челюстта (Фиг. 8).
Този метод изисква винтово фиксиране за финално възстановяване. Необходим е ангулиран абатмънт (например 35°) така, че винтът да бъде перпендикулярен на оклузалната равнина, която позволява мостът да бъде захванат оклузално.

Хирургична процедура за имплантиране

Класическият разрез (крестално, букално освобождаване) и подготовката на мукопериостално ламбо осигуряват добра видимост.
Импланти Sky (Bredent) са използвани в този случай. Хирургичният протокол за тях изисква пилотно пробиване с дрил при 1200 rpm (Фиг. 9).
Последващите отвори се изборват с намалени обороти от 300 rpm. Implantmed демонстрира своя истински потенциал на този етап. Хирургичният протокол може да бъде зададен – различните позиции могат да бъдат лесно избрани чрез натискане на позиция “P” на педала (Фиг. 10 и 11).


Следващата програмирана позиция е поставянето на импланта и в нашата практика е предварително настроена на сила 32 Ncm (Фиг. 12).

Следващата стъпка е синус лифт с непосредствено имплантиране. Implantmed е предварително настроен на първа позиция за букална фенестрация на стената на максиларния синус.
Фенестрацията е извършена при 35,000 rpm и след това носната лигавица е обработена по посока на челюстта (Фиг. 13 to 14).


Имплантът е поставен и костта е изградена. В този случай, поради големината на зоната за аугментация, автогенните костни парченца, събрани с костен сондаж след имплантирането в зона 16 и фенестрацията в зона 14, са смесени с костозаместващ материал.
Използвана е абсорбираща мембрана като бариера на букалната страна и покритие на аугментацията. Накрая са поставени устойчиви на слюнка конци (Фиг. 15 до 19).






Хирургични апарати и аксесоари
Използваният в тази процедура Implantmed на W&H се отличава с лекота на работа. Бутоните се четат лесно и експлоатацията е интуитивна. Хирургът може да види оборотите и режима само с един бърз поглед на широкия осветен дисплей. Различните режими могат да бъдат предварително зададени спрямо хирургичния протокол и избирани с команда от педала. Операциите с този хирургичен апарат спестяват време и улесняват хирургичната интервенция.
В този случай, твърдостта на костта (D2-D3) прави самонавиващата функция ненужна. Все пак, трябва да споменем, че при Implantmed режимът е отделен и може да бъде избран директно. Това е изключително важна функция при твърда кост.
Хирургичният обратен наконечник WS-75 LG е снабден с LED+ светлина. Светлината увеличава контраста в устната кухина и подобрява визуалното възприятие. Правият наконечник е S-11 на W&H. Двата наконечника са с външно охлаждане, което според мое мнение е голямо предимство, защото физиологичният разтвор е разположен точно там, където е необходимо и може да бъде регулиран, ако се наложи. Правите и обратни наконечници могат да бъдат разглобени, което е силно препоръчително относно хигиената и стерилизацията.
Поставени са импланти Sky на Bredent – зъб 16: 5.5 x 10mm и зъб 14: 4.0 x 10 mm.

Д-р Кристиан Дан Пасу
Експерт по орална хирургия (GBOI)
Discover White – Gemeinschaftspraxis
Д-р Минчева и Д-р Пасу
Zollhof 8, 40221 Düsseldorf
www.discover-white.de
* Снимки: Д-р Кристиан Дан Пасу
коментара