Представяне на случай: Управление на сложни зъбни протези
Въведение
Пряката връзка между интраоралното и общото здраве, както и двупосочното влияние, което те могат да си оказват, са добре известни (1,2). От съществено значение е да се вземат предвид и двата фактора, когато се планират превантивни интраорални мерки и лечение в денталната практика. Основната цел е поддържането на здравето и качеството на живот на пациента както от дентална, така и от медицинска гледна точка. (3,4)
Създаването на индивидуализирани концепции за превенция ще подпомогне усилията на лекарите по дентална медицина да отчитат интраоралните и общомедицинските здравни фактори в комбинация, което ще им позволи да създават и оценяват индивидуални профили на пациентите, които адекватно отчитат съответните рискове (5,6). Това е единственият начин да се осигури индивидуална, съобразена със спецификата на случая превенция и грижа за пациента, която също така предлага на денталните лекари чувство на сигурност по време на терапевтичното планиране.
Влиянието на интраоралните и общомедицинските здравни фактори върху лечението и другите форми на терапия е демонстрирано в следващия доклад за случай.

Обща медицинска и лична история
Пациентката в настоящия случай е 75-годишна жена. Тя е непушачка и е в добро здраве. Приема една таблетка ASA от 100 mg и една таблетка бисопролол от 5 mg дневно. Кръвното ѝ налягане се проследява редовно и в момента е 125/80. Пациентката е слаба, обръща внимание на общото си здравословно състояние и грижливо поддържа интраоралното си здраве и хигиена. Пациентката заявява, че се храни здравословно и ограничава храненията си до 3-4 пъти дневно. Тя обича да пие чай.
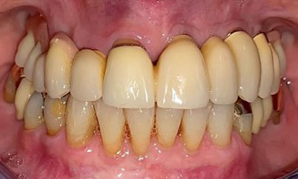
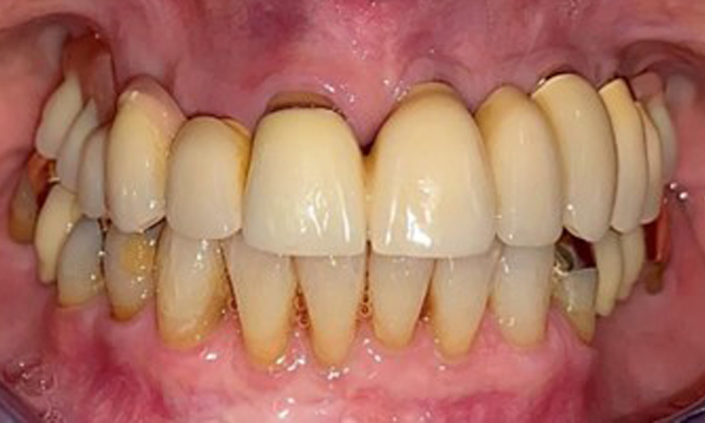
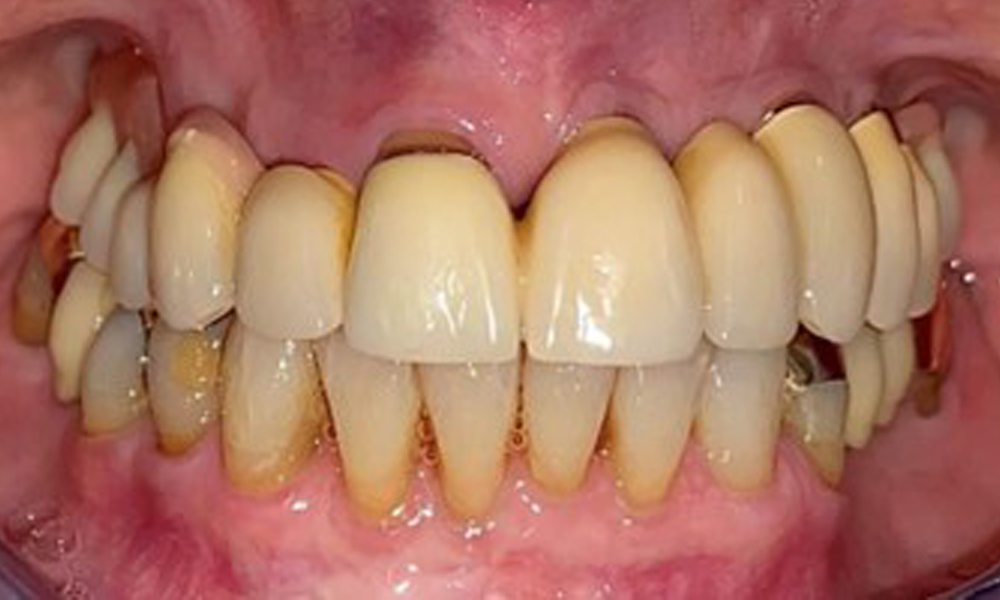
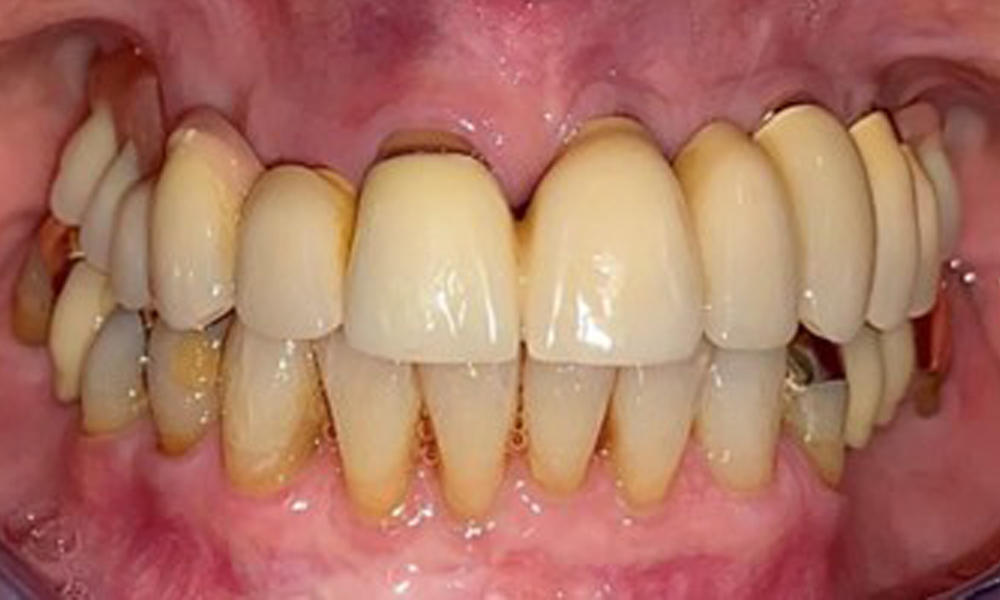
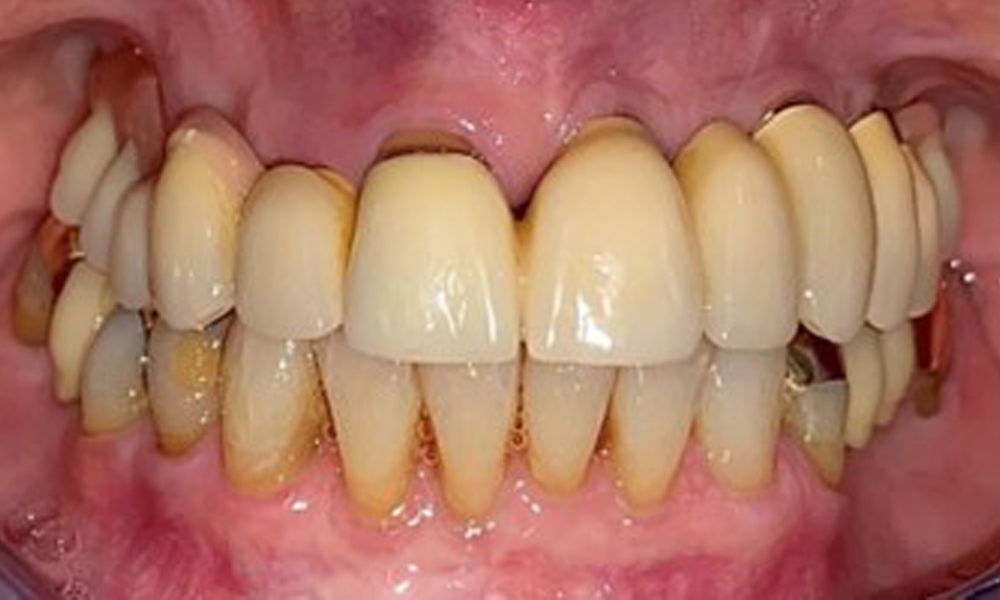
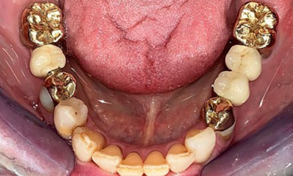
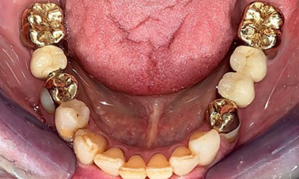
На пациентката е поставена комбинирана подвижна горночелюстна телескопична протеза преди повече от 25 години (фиг. 1, фиг. 2, фиг. 3) и тя е много доволна от протезите си. Пациентката има адекватна фиксирана протеза за долната челюст (фиг. 4).
Пациентката почиства зъбите и имплантите си три пъти дневно с ръчна четка за зъби и еднократна четка. Тя използва и интердентални четки веднъж дневно вечер. Почиства протезите и след всяко хранене.

Екстраорални и интраорални открития
Няма патологични екстраорални или интраорални открития или аномалии.
Дентални открития
Денталните открития са следните: Комбинирани снемаеми протези на импланти и телескопични протези, поддържани от зъби, на импланти 15, 13, 21, 23, 24, 25 и зъб 11 (фиг. 1, фиг. 2, фиг. 3). Пациентът е снабден с фиксирана долночелюстна протеза. Над зъби 37-34 и 45-47 бяха налични адекватни мостове (фиг. 4), краищата на коронките бяха интактни и нямаше активен кариес. Върху зъб 43 имаше композитна пломба с маргинална празнина. Имаше рецесия на долната гингива, която разкриваше от 1 до 3 mm от кореновата повърхност. Това се отнася и за 11.



Пародонтални открития
Състоянието на пародонта остава стабилно. Няма възпаление на гингивата или периимплантатните меки тъкани. Дълбочините на сондиране от 1 до 3 mm бяха във физиологичния диапазон. Налице са генерализирани рецесии с размери от 1 до 3 mm. Имплант 23 е с увеличена дълбочина на сондиране от 4 mm, въпреки че няма признаци на секреция или кървене (фиг. 6). Общата стойност на BOP е 12 %.
Рентгенологични открития
Рентгенологичните резултати показват частично беззъбо съзъбие с горночелюстни импланти за зъби 15, 13, 21, 23, 24, 25 и телескопична коронка на зъб 11. Налице са адекватни долночелюстни мостове, обхващащи участъци от 37 до 34 и от 45 до 47. Зъб 48 е засегнат. Има съмнения за вторичен кариес дистално на 43 и мезиално на 44. 44 е възстановен с нерадиационна облицовка на кухината. Налице е генерализирана хоризонтална костна загуба от приблизително 10-30 % и локализирана вертикална костна загуба, засягаща зъби 22 и 42 (фиг. 5).

Препоръка за лечение въз основа на концепцията за индивидуална превенция
От решаващо значение е да се оцени индивидуалният рисков профил на пациента преди лечението. Индивидуалният профил на пациента и рисковият профил се определят от общата медицинска история и състоянието на интраоралното здраве. (5, 6)
Пациентът приема ежедневно ASA 100 като антикоагулант. Предполага се, че понастоящем пациентът не е изложен на повишен риск от усложнения поради стабилната пародонтална находка и липсата на възпаление. Антихипертензивните медикаменти могат да причинят гингивална хиперплазия, интраорална сухота и още. Нито една от тези находки не е налице при пациента.
Интраоралните находки са останали стабилни при този пациент в продължение на повече от 20 години, така че рискът от прогресия и влошаване на интраоралното състояние се класифицира като нисък до умерен. Намаленото слюноотделяне поради напредналата възраст на пациента може да повлияе на риска от прогресия на заболяването. Това може да доведе до увеличаване на броя на кореновите кариеси и дори до гъбични инфекции. Понастоящем пациентът не се оплаква от интраорална сухота и интраоралните лигавици не изглеждат сухи.

Въз основа на медицинската история рискът от усложнения се класифицира като лек до умерен поради приема на ASA 100 и бисопролол. Трябва да се отбележи, че по време на лечението може да се появи повишено кървене, особено ако е налице гингивит. В настоящия случай рискът се класифицира като нисък, тъй като пациентът поддържа отлична интраорална хигиена. Поради иначе стабилния интраорален статус в продължение на много години, нуждите, определени по време на интраоралния преглед, ще бъдат решаващи за нейното лечение. Констатациите, наблюдавани по време на всеки дентален преглед, ще определят последващия курс на лечение. Определянето на състоянието на кървене е задължително, за да се открият гингивалните промени в периимплантатните тъкани (фиг. 6).

Състоянието на пародонта трябва да се изследва обстойно веднъж годишно. Този преглед осигурява изчерпателна документация за резултатите от пародонталния статус и състоянието на имплантите, включително дълбочината на джобовете, пародонталната рецесия и засягането на фуркациите. Това ще осигури бърза реакция при всяка потенциална прогресия на мукозита, гингивита, пародонтита или периимплантита. Препоръчва се сондиране на импланти с пластмасова сонда. В настоящия случай бе установена мезиална дълбочина на сондиране от 4 mm мезиално от имплант 23. Не бяха открити супурации или кървене, което показва липса на пери-имплантит.
Интраоралната лигавица трябва да се изследва за възможни гъбични инфекции и петна от натиск. Трябва да се провери дали протезите са чисти. В настоящия случай е представено интердентално оцветяване, което се дължи на консумацията на чай (фиг. 7). Протезите трябва да се почистват професионално в дентална практика, където се има дезинфекция и вани за почистване.


Пациентът поддържа добра орална хигиена у дома. Все пак е важно да се осигури многократна мотивация и обучение поради напредналата възраст на пациента, тъй като това ще гарантира поддържането на сложната протеза, останалите зъби и имплантите.
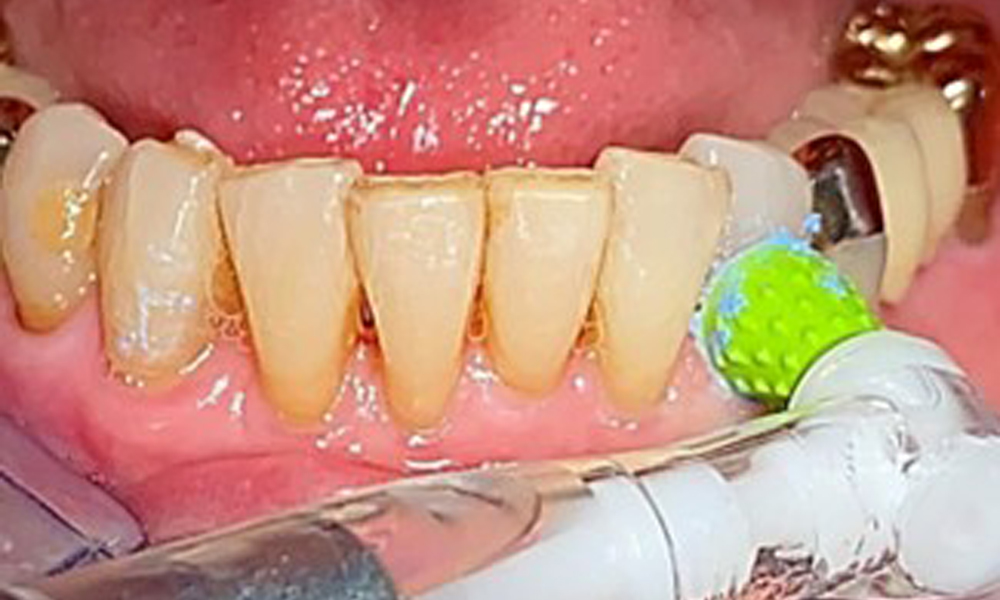
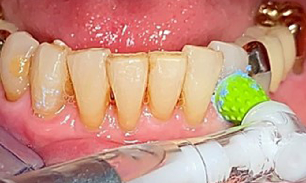
Специално за телескопичните протези се препоръчва еднократна четка (фиг. 8), а пациентът трябва да бъде посъветван за подходящия размер на интерденталната четка (фиг. 9). Пациентът изпълнява тези препоръки за интраорална хигиена у дома в продължение на много години и беше насърчен да продължи по време на професионалната профилактична среща с денталния лекар.



Няма ограничения за селективното използване на инструментариум по време на лечението поради здравословното общо състояние на пациента. Редовната супрагингивална и субгингивална инструментация е от съществено значение за предотвратяване на прогресията на заболяването (7). Няма ограничения за използването на инструменти за механично отстраняване на биофилм от общомедицинска гледна точка и отстраняването трябва да се извършва при необходимост. (Ако пациентът развие тежко гингивално възпаление, тогава ще има повишена склонност към кървене, ако се използва система за въздушно полиране поради приема на ASA 100).


За отстраняване на зъбния камък и конкрементите по естествените зъби могат да се използват звукови/ултразвукови или конвенционални ръчни инструменти (8). За отстраняване на минерализираната плака от имплантите трябва да се използват титаниеви или пластмасови кюрети (фиг. 10), или пластмасова, или PEEK приставка (фиг. 11) по време на ултразвуковото лечение, за да се избегне увреждане на повърхностите на имплантите.

Трябва да се използва система за въздушно полиране с нискоабразивна пудра за отстраняване на биофилма от ръбовете на възстановяването, интерденталните зони и повърхностите на импланта (фиг. 12). Селективното полиране (фиг. 13) трябва да се използва за изглаждане на всички по-малко чувствителни зони, тъй като това намалява повторното прикрепване на бактерии (9).

Почистването на междузъбните пространства с четки (фиг. 9) или конци за зъби е също толкова важно, колкото и почистването на езика.
Важно е също така протезите да се почистват професионално в ултразвукова вана в денталния кабинет и при необходимост да се използват дезинфектанти за борба с гъбични инфекции. Това също така позволява да се премахнат оцветяванията и дава на пациента усещането за чистота.

Флуорирането на откритите коренови повърхности и ерозии се препоръчва като допълнителна мярка за предотвратяване на кариес (10). Антибактериални вещества могат да се прилагат и при наличие на промени в периимплантатната тъкан. Тези решения ще се основават на индивидуалната ситуация и на зъболекаря според нуждите. Допълнителните мерки включват продължителна употреба на флуорирана паста за зъби за интраорална хигиена в домашни условия (11).
Понастоящем не е необходимо изкуствено да се стимулира производството на слюнка.

Сложната протеза и напредналата възраст на пациента са решаващи фактори за планиране на интервалите на проследяване. Затова се препоръчват профилактични посещения при дентален лекар от 3 до 4 пъти годишно. С промяната на нуждите на пациента този интервал ще се коригира, за да се предотврати прекомерно или неадекватно лечение (12). Силно се препоръчва незабавно планиране на следващия прием в денталната практика. Предоставянето на добри насоки на пациентите ще определи устойчивия успех на поддържането на денталното и интраоралното здраве при този пациент и ще допринесе за качеството на живот.
Обобщение
- Анамнезата показва, че понастоящем рискът от усложнения при пациента е нисък, така че няма нищо специално по отношение на поддържащата терапия. Рискът от заболяване също може да се класифицира като нисък поради дългосрочната стабилност на настоящото интраорално състояние.
- Пациентът е с нисък до умерен риск от прогресия на заболяването или развитие на пародонтит или активен кариес. В това отношение трябва да се вземат предвид напредналата възраст на пациента, която може да е свързана с намалено слюноотделяне, и сложната зъбна протеза, която изисква интензивни грижи.
- Целта на поддържащата терапия е да се запази сложната комбинация от импланти и телескопични протези, дори в напреднала възраст и да се избегнат гъбични инфекции чрез осигуряване на добра грижа за протезите.
- Важно е да се документират находките по време на профилактичния преглед при денталния лекар. Статусът на кървене при пробиване трябва да се определя по време на всяко посещение. Пародонталните джобове трябва да се изследват обстойно веднъж годишно.
- Пациентът вече поддържа добра орална хигиена и трябва да бъде насърчен да продължава така. Обширните зъбни протези трябва да се поддържат колкото е възможно по-дълго.
- В зависимост от възрастта на пациента и сложната зъбна протеза с импланти се препоръчват професионални профилактични прегледи при дентален лекар на всеки четири месеца. Отстраняването на твърдата и меката плака е от съществено значение за поддържане на текущото интраорално състояние.
- Управлението на пациентите и доброто спазване на правилата са ключови фактори за успех при поддържането на добро интраорално здраве.
Библиография
- Bansal M, Rastogi S, Vineeth NS. Influence of periodontal disease on systemic disease: inversion of a paradigm: a review. Journal of medicine and life. 2013;6(2):126-30
- WHO. Oral Health [Fact sheet]. WHO International Newsroom2020 [cited 2020 25.03.2020]. Available from: https://www.who.int/news-room/fact- sheets/detail/oral-health.
- Papapanou PN, Sanz M, Buduneli N, Dietrich T, Feres M, Fine DH, et al. Periodontitis: Consensus report of workgroup 2 of the 2017 World Workshop on the Classification of Periodontal and Peri-Implant Diseases and Conditions. J Periodontol. 2018;89 Suppl 1:S173-S82.
- Chapple IL, Bouchard P, Cagetti MG, Campus G, Carra MC, Cocco F, et al. Interaction of lifestyle, behaviour or systemic diseases with dental caries and periodontal diseases: consensus report of group 2 of the joint EFP/ORCA workshop on the boundaries between caries and periodontal diseases. J Clin Periodontol. 2017;44 Suppl 18:S39-s51.
- Schmalz G., Ziebolz D., Individualisierte Prävention-ein patientenorientiertes Präventionskonzept für die zahnärztliche Praxis, ZWR- Das deutsche Zahnärzteblatt 2020;129;147-156
- Schmalz G., Ziebolz D., Individualisierte Prävention-fallorientierte Bedarfsprävention, ZWR- Das deutsche Zahnärzteblatt 2020;129;33-41
- Graetz C, Seidel M. Mechanische Biofilmentfernung: Was, womit und wie funktioniert´s? Plaque N Care [Internet]. 2020. Available from: https://www.pnc-aktuell.de/prophylaxe/story/mechanische-biofilmentfernung- was-womit-und-wie-funktionierts 8637.html
- Ziebolz D, Kampfmann B. Ultraschallaktiviertes mechanisches Biofilmmanagement. Implantologie Journal. 2019;3.
- Wang C, Zhao Y, Zheng S, Xue J, Zhou J, Tang Y, et al. Effect of enamel morphology on nanoscale adhesion forces of streptococcal bacteria: An AFM study. Scanning. 2015;37(5):313-21
- Macri D. Implementing a multifaceted approach to caries prevention. Dimensions of Dental Hygiene. 2018;16(5):21-2, 4-5.
- Prabhu A, Nalawade KP, Balasubamanian K, Sampat P, Rohra S, Sheth D. Dentine Hypersensitivity: A review. International Journal of Scientific Research. 2017;6(7).
- Sanz M, Baumer A, Buduneli N, Dommisch H, Farina R, Kononen E, et al. Effect of professional mechanical plaque removal on secondary prevention of periodontitis and the complications of gingival and periodontal preventive measures: consensus report of group 4 of the 11th European Workshop on Periodontology on effective prevention of periodontal and peri-implant diseases. J Clin Periodontol. 2015;42 Suppl 16:S214-20.
коментара