Снусът причинява лезии на лигавицата и гингивални рецесии
PD Dr. Kristina Bertl, PhD MSc MBA
Снусът е тютюн за орална употреба, който се консумира в насипно състояние (на прах) или на порции (в малки пакетчета) и съдържа както никотин, така и тютюн. Този вид тютюн за орална употреба е особено разпространен в Скандинавия, особено в Швеция и Норвегия. Обикновено снусът влиза в контакт с устната лигавица чрез поставянето му под горната устна, а в някои случаи и под долната устна, при което съдържащият се в него никотин може да попадне в кръвообращението през устната лигавица. Тъй като снусът не се пуши, при него не се образуват същите вредни вещества, които обикновено се получават при горенето на тютюн. Поради тази причина често се твърди, че снусът е по-малко вреден за здравето, отколкото пушенето на цигари, но дали това наистина е така? И какъв е ефектът му върху устната кухина?

Скорошно проучване, проведено в Норвегия, изследва дали и какви лезии в устната кухина могат да се появят при редовна консумация на снус в сравнително млада възраст (Kopperud et al. 2023). Общо 1363 млади възрастни между 18 и 20 години бяха попитани относно консумацията на снус и от тях 216 (16%) заявиха, че консумират снус ежедневно.
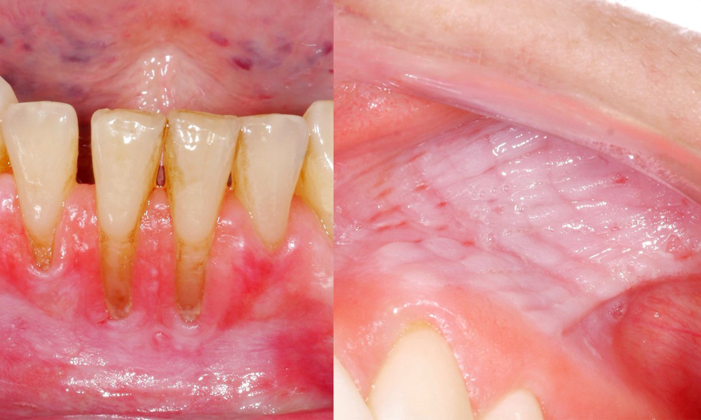
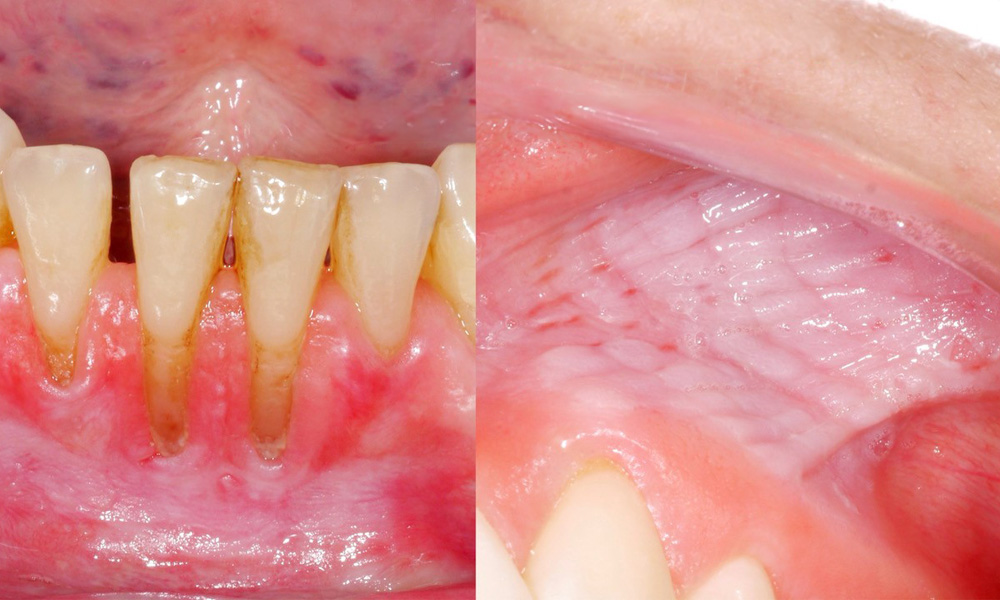
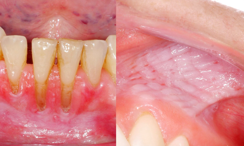
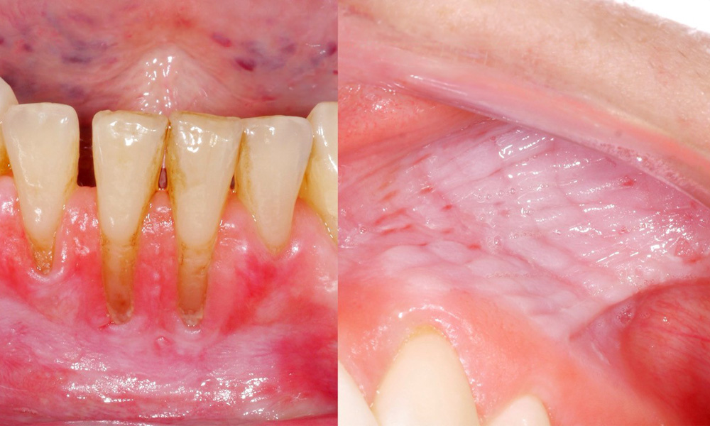
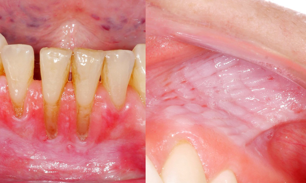
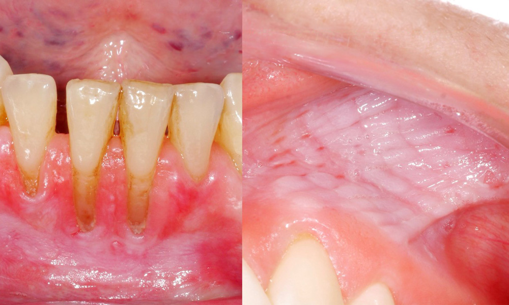
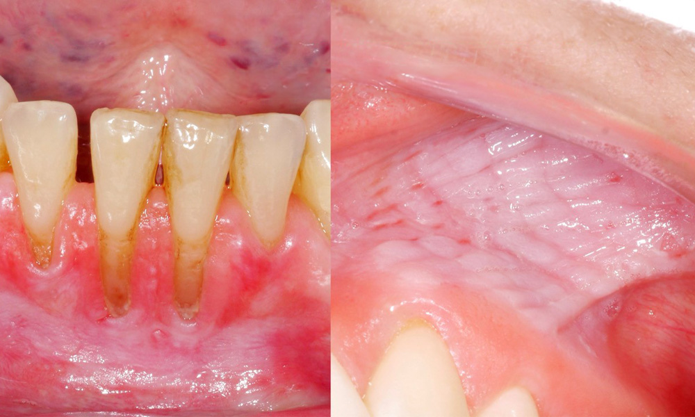
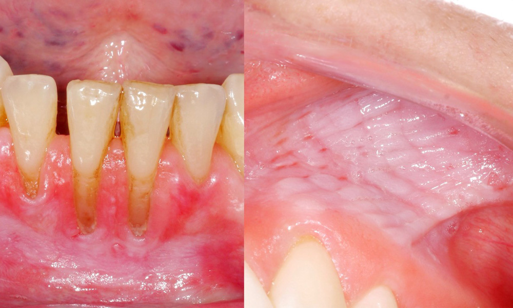
Клиничното изследване показа, че редовната консумация на снус може да има следните ефекти върху лигавицата на устната кухина:
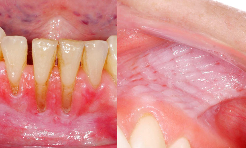
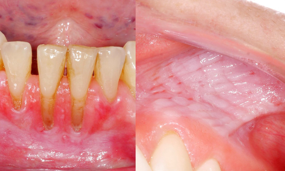
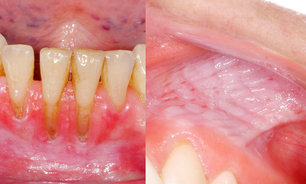
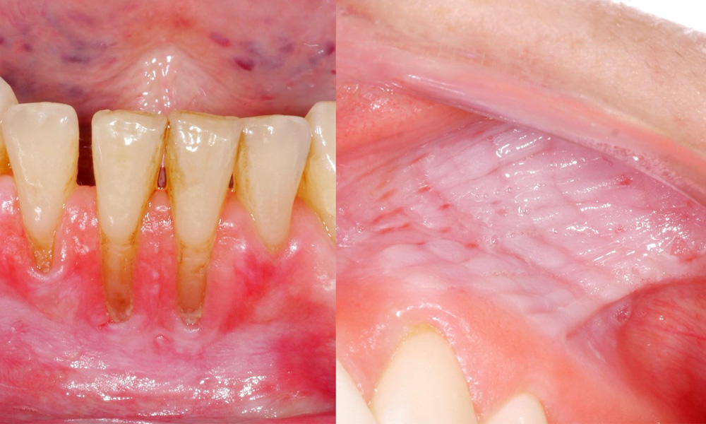
- Приблизително 80% от изследваните лица, които са консумирали снус ежедневно, са показали лезии на лигавицата, предизвикани от него.
- За всяка допълнителна кутия снус, консумирана месечно, рискът от по-тежко увреждане на лигавицата се увеличава значително.
- Приблизително 20% от изследваните лица, които са консумирали снус ежедневно, са имали индуцирана гингивална рецесия.
- С всяка следваща година на употреба на снус рискът от индуцирана гингивална рецесия се увеличава значително.
Въпреки че снусът не е широко разпространен в Австрия поради забраната за продажбата му, все пак е интересно да се знае какви могат да бъдат последствията за устната кухина, тъй като, както се потвърждава в това проучване, те се проявяват при почти всички, които редовно консумират снус.
Източници
- Simen E. Kopperud, Vibeke Ansteinsson, Ibrahimu Mdala, Rune Becher & Håkon Valen (2023) Oral lesions associated with daily use of snus, a moist smokeless tobacco product. A cross-sectional study among Norwegian adolescents, Acta Odontologica Scandinavica, 81:6, 473-478
коментара