Обратни наконечници на границата на възможностите си: предизвикателствата пред съвременната възстановителна стоматология
Наблюдения от Д-р Волфганг Таутшниг
Непрекъснатото усъвършенстване на възстановителните дентални материали поставя все по-високи изисквания към обратните наконечници и инструменти, които трябва да бъдат издръжливи, ефективни и прецизни. Д-р Волфганг Таутшниг, опитен стоматолог от Залцбург, тества Synea „Power Edition“ на W&H в продължение на няколко месеца и споделя своите наблюдения от ежедневната клинична практика.
Специализираният наконечник е използван предимно за сложни процедури като рязане на корони и мостове. Настоящата статия не само представя предимствата на новия повишаващ наконечник, но и илюстрира неговата клинична ефективност чрез два примерни случая с пациенти.
- Залцбург, Австрия

Нарастващи изисквания при обработката на съвременни материали
Непрекъснатото развитие на денталните материали води до все по-големи изисквания в областта на възстановителната стоматология. През последните две десетилетия цирконият се наложи като един от водещите материали за корони и мостове благодарение на изключителната си твърдост, дълготрайност и естетичен вид. Тези характеристики го правят предпочитан избор за пациенти, които търсят висококачествено и дълготрайно решение.
Въпреки това, същите тези характеристики представляват значителни предизвикателства за клиницистите, особено когато съществуващите възстановявания трябва да бъдат премахнати или заменени. По-старите, по-крехки видове цирконий изискват специализирани техники, за да се избегнат повреди на инструментите и неефективност в работния процес. Конвенционалните наконечници често достигат своите граници, тъй като обработката на тези материали изисква висока сила на рязане, което може да ускори износването на борера и да намали общата ефективност. С оглед на нарастващото използване на цирконий и други високоякостни материали в денталната практика, разработването на специализирани инструменти и технологии е от решаващо значение за преодоляване на тези предизвикателства.
Synea Power Edition: специализирано решение за материали с висока якост
За да отговори на тези високи изисквания, W&H предлага издръжливо и надеждно решение с Synea Power Edition. Тази серия съчетава оптимизирано предавателно съотношение с прецизно калибрирана скорост и повишен въртящ момент, което позволява прецизна обработка дори на най-предизвикателните материали. Изключително здравата система на цангата осигурява по-голяма сила на задържане, което минимизира натоварването по време на обработката на цирконий и допринася за удължен експлоатационен живот на обратните наконечници.
Оптимизираният 3-флексен спрей с увеличен дебит на водата намалява термичното напрежение и подобрява ефективността на промиване, осигурявайки по-ефективна работа при рязане. Тези технически подобрения позволяват прецизна и ефективна работа без необходимост от прекомерен натиск. Специализираният дизайн предпазва конвенционалните наконечници, които не са предназначени за обработка на високоякостни материали, като по този начин допринася за удължаване на експлоатационния им живот. За клиницистите това го прави идеално решение за справяне със сложните и предизвикателни изисквания на съвременната възстановителна стоматология.
Клиничен опит с Synea Power Edition
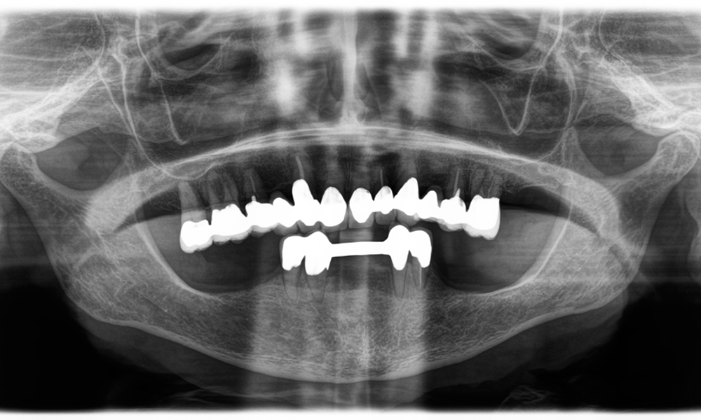
Д-р Волфганг Таутшниг, стоматолог с богат опит от Залцбург, е използвал и оценявал Synea Power Edition в продължение на няколко месеца в редица клинични случаи, по-специално при отстраняването на циркониеви корони и обработката на неблагородни метални сплави. В един конкретен случай 81-годишна пациентка е потърсила естетично подобрение на своите 40-годишни PFM (металокерамични) корони. Съществуващите възстановявания вече не отговаряли на нейните очаквания по отношение на външния вид.
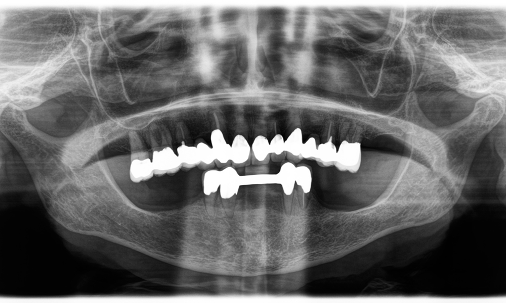
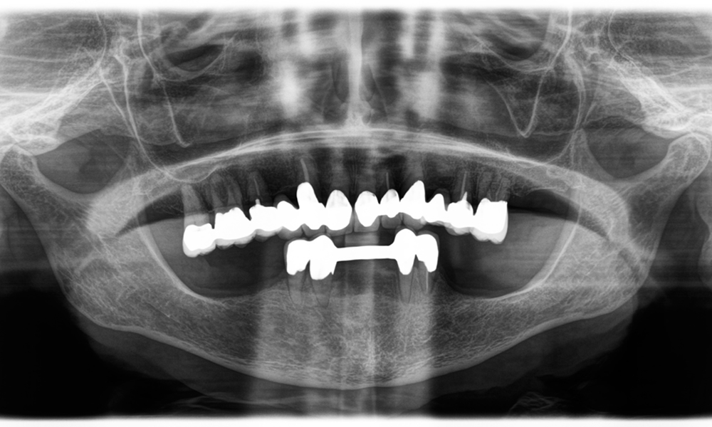
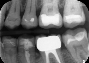
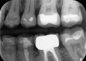
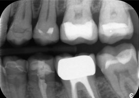
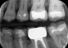
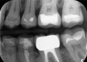
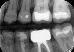
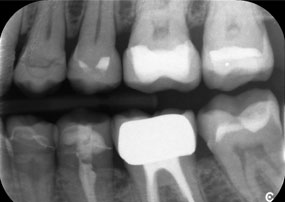
Предизвикателството беше да се премахнат дванадесет блок корони, изработени от сплав от неблагородни метали, без да се повредят подлежащите опорни зъби. Наконечникът беше използван за прецизно разрязване на керамичните слоеве и разделяне на металната конструкция с помощта на карбиден борер, което позволи минимално травматично отстраняване на короните. Само за 30 минути старите възстановявания бяха отстранени, което позволи подготовката на нова протеза, състояща се от циркониеви корони с пълна анатомична форма в задната част и фасети във фронталната зона. Резултатът беше цялостна реставрация, която осигури както функционален, така и естетичен успех (виж фиг. 1).

Вторият случай, който подчертава клиничните възможности на Power Edition е свързан с подмяната на увредена циркониева корона при 63-годишна пациентка. Пациентката беше с отчупена фасета на 20-годишната си циркониева корона на зъб 6. Въпреки че дефектът беше в задната област, пациентката намираше дефекта за притеснителен и поиска нова реставрация.
Power Edition позволи прецизно разрязване, като увеличеният въртящ момент и подобреното охлаждане допринесоха за контролираното отстраняване на короната без значителна загуба на материал. Системата на цангата и повишеният въртящ момент се оказаха от съществено значение в този процес.
Д-р Таутшниг
Фокус върху издръжливостта: устойчиво решение за ежедневната клинична практика
Основен проблем в много практики, които се занимават с такива случаи, е високата степен на износване на обратните наконечници. При интензивна употреба конвенционалните модели често достигат само ограничен експлоатационен живот, което компрометира ефективността и води до повишени разходи за поддръжка. За Д-р Таутшниг един от най-убедителните аспекти на Synea Power Edition е начинът, по който предпазва неговите стандартни повишаващи наконечници:

Synea Power Edition от W&H доказа своята стойност в моята практика. Тези наконечници не само са ефективни при обработка на циркониеви и метални корони, но и помагат за запазването на стандартните ми наконечници, тъй като са предназначени специално за задачи с високо натоварване.
Д-р Таутшниг
Практическите предимства отразяват иновативните технологии, които стоят зад Power Edition: повишен въртящ момент, подсилена система на цангата и оптимизирана технология за охлаждане, специално проектирани да се справят с предизвикателствата на съвременните материали. За стоматолозите тези наконечници предлагат не само мощно решение за работа с твърди материали, но и ценна подкрепа за намаляване на оперативните разходи и удължаване на живота на инструментите им.
Това не само представлява устойчиво решение в ежедневната клинична практика, но и осигурява дългосрочно икономическо облекчение чрез намаляване на оперативните разходи и усилията за поддръжка. Комбинирайки клинична стойност с икономическа ефективност, Synea Power Edition предлага реално предимство за съвременните дентални практики.
За д-р Волфганг Таутшниг
Д-р Волфганг Таутшниг работи като общопрактикуващ стоматолог в Залцбург от 2008 г. и е високо ценен в австрийската дентална общност. В допълнение към клиничната си практика, от 2021 г. е председател на Залцбургското дружество по дентална, орална и лицево-челюстна хирургия и активно участва като съдебен експерт, както и като отговорник по осигуряване на качеството към Австрийската дентална камара. Неговата страст към съвременната стоматология се отразява в непрекъснатото му професионално развитие в области като имплантология, възстановителна и естетична дентална медицина.
Като ръководител на центъра за спешна дентална помощ за частни практикуващи лекари в Залцбург, той играе ключова роля в подобряването на регионалните спешни услуги. След като завършва своето образование в Медицинския университет в Инсбрук и работи като резидент в университетската дентална клиника, той се установява в Залцбург, където продължава да лекува своите пациенти. Богатият му клиничен опит и активната му ангажираност в денталната област превръщат д-р Таутшниг в признат експерт в региона.
коментара