Știri
05.02.2025
Dificultăți la tăierea zirconiului?

Ideea utilizării instrumentelor rotative pentru tăierea materialelor dure datează de cel puțin 6.000 de ani. Încă din vremuri străvechi, oamenii foloseau freze litice manuale pentru tăierea scoicilor, a oaselor și dinților, utilizând o metodă care implica o rotație la viteză mică, cu un cuplu ridicat. Piesele de mână dentare moderne au îmbunătățit semnificativ acest principiu, permițând tăieri precise în materiale mult mai dure, cum ar fi ceramica dentară.
08.10.2024
Depășirea dificultăților în prelucrarea zirconiului

Materialele ceramice, cum este zirconiul, sunt utilizate din ce în ce mai frecvent în stomatologia restaurativă modernă. Cu toate acestea, îndepărtarea restaurărilor din zirconiu cu piesele de mână contraunghi convenționale se dovedește a fi o procedură solicitantă și de durată. La aceasta se adaugă uzura accentuată a frezelor, în special în cazul materialelor monolitice. În unele cazuri, freza trebuie să fie schimbată la intervale de un minut. Pentru a rezolva această problemă, W&H a dezvoltat o nouă linie de produse special concepute pentru aceste manopere.
23.09.2024
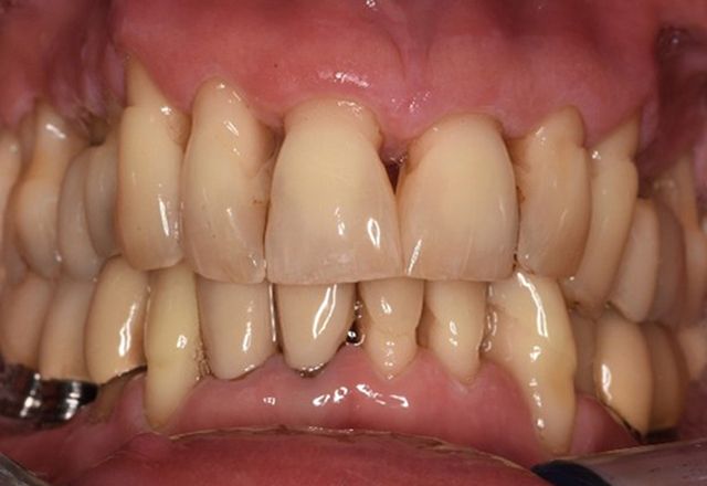
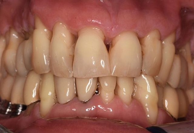
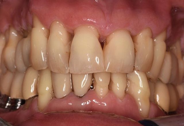
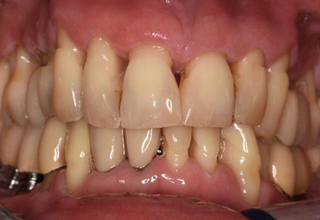
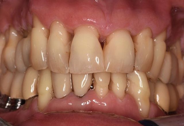
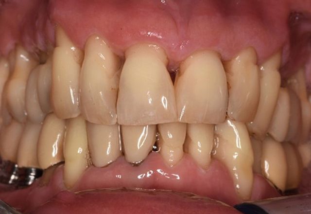
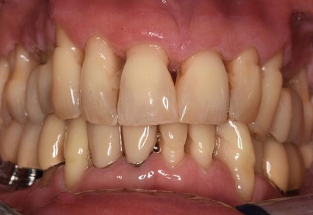
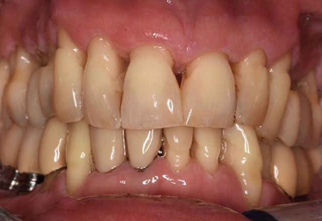
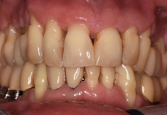
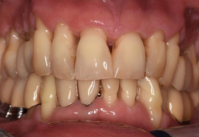
The (orally) healthy patient with implants

In the medical history, the 55 year-old patient states that he has no systemic disease and is not taking any medication. The patient’s lifestyle is similarly unremarkable. The patient has a few tooth restorations and two implants (2nd and 4th quadrants). On the basis of current findings, gingivitis is identified in an otherwise stable periodontal condition on the reduced periodontium (stage III, grade A).
16.09.2024
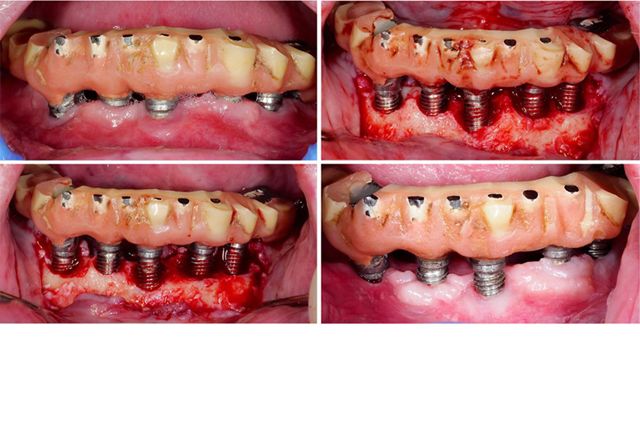
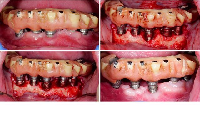
Osteodensificare versus piezochirurgie pentru pregătirea locului de implantare

Osteodensificarea este o tehnică de foraj nesubtractivă prin care se realizează conservarea și compactarea osului. Această procedură vizează intensificarea densității osoase, a cuplului de inserție și a stabilității implantului. Tehnica este adecvată pentru augmentarea orizontală a crestelor alveolare înguste, precum și pentru creșterea înălțimii verticale, prin ridicarea sinusului crestal.
02.09.2024
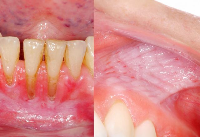
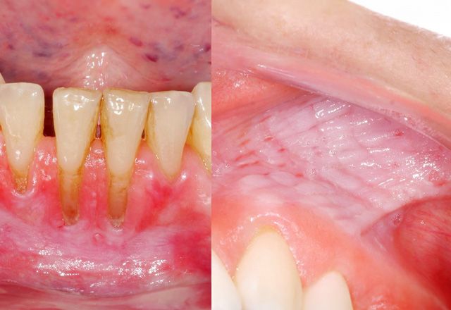
The healthy patient with pre-existing periodontal disease & peri-implantitis

A 52-year-old patient presents at a prevention session. The patient has no systemic disease and is not taking any medication. He has had various dental treatments and also has two active carious lesions. In addition, the patient has four implants (2nd, 3rd and 4th quadrants). He is revealed to have early periodontal disease (stage IV, grade B). His periodontal condition is stable; a probe depth of 5 mm is only evident at the implant in region 36. Gingivitis is also identified.
30.08.2024
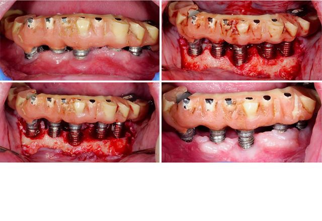
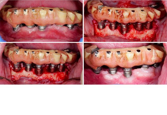
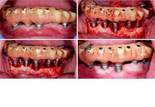
ISQ ca indicator pentru reabilitările pe implant

Succesul pe termen lung, în tratamentul implantologic, este obiectivul vizat de toți clinicienii. Un element fundamental în acest sens este plasarea corectă a implantului, pregătirea zonei chirurgicale și o bună osteointegrare după inserție. Cu toate că valoarea cuplului este o premisă de bază pentru stabilitatea primară, această valoare, de una singură, nu poate oferi informații complete clinicianului. Prin urmare, cunoașterea valorilor ISQ este considerată fundamentală, atât pentru evaluarea stabilității primare a implantului (stabilitate mecanică), cât și a stabilității secundare a implantului (stabilitate biologică sau osteointegrare).
19.07.2024
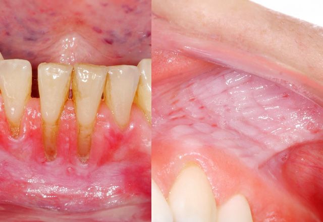
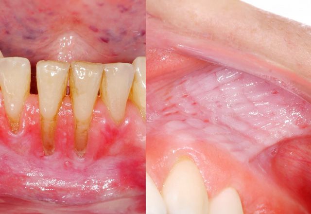
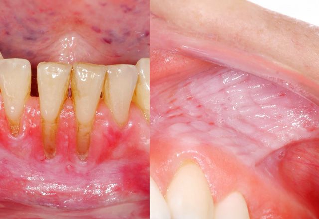
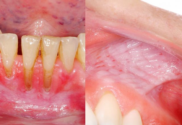
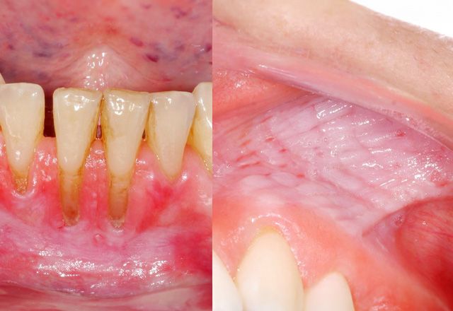
Snusul provoacă leziuni ale mucoasei și recesiune gingivală

Snus este de obicei pus în contact cu mucoasa bucală prin plasarea acestuia sub buza superioară și, în unele cazuri, sub buza inferioară, astfel încât nicotina pe care o conține poate intra în sânge prin mucoasa bucală.
19.07.2024
Stres + deficit de somn = parodontopatie agravată...?

Stresul, definit ca o stare în care individul afectat percepe un sentiment de amenințare sau de lipsă de control, precum și tulburările de somn și/sau calitatea slabă a acestuia, reprezintă doi factori de necontestat, aflați la baza a numeroase provocări și dificultăți întâlnite în societatea zilelor noastre.
27.06.2024
Soluții inovatoare cu Synea Power Edition de la W&H

Conceptul de utilizare a uneltelor rotative pentru tăierea materialelor dure, precum granitul, este vechi de cel puțin 6.000 de ani. Înca de la 25.000 î.e.n., strămoșii noștri foloseau unelte litice manuale pentru tăierea scoicilor fără să le spargă. În general, aceste unelte erau confecționate din silex, se presau pe obiectul care urma să fie perforat, apoi se roteau înainte și înapoi la viteză mică și cu un cuplu relativ mare. Piesele de mână moderne sunt puternice, multe fiind dezvoltate pe baza principiului vitezei variabile și al cuplului ridicat, pentru a permite tăieri precise în materiale mult mai dure, cum este zirconiul.
20.06.2024
Este suficientă o singură vizită la dentist pe an, dacă aveți implanturi?

This study once more underlines that patients who do not regularly attend check-ups after receiving their implant-supported restoration have a very high risk of peri-implant diseases in general and specifically peri-implantitis; based on this data, at least two check-up visits per year are recommended.
19.06.2024
Care este rezultatul pe termen lung al igienizării interdentare?

Curățarea interdentară cu ață dentară sau cu periuțe interdentare reduce semnificativ acumularea de placă interdentară și chiar contribuie, pe termen lung, la scăderea riscului de pierdere a dinților.
10.06.2024
Mai multă artrită, mai multă parodontoză?

Pacienții cu poliartrită reumatoidă prezintă un risc semnificativ mai mare de parodontoză, iar acest risc crește și mai mult în cazul pacienților cu poliartrită reumatoidă deosebit de activă.
29.05.2024
Dinte sau implant?

Lupta pentru recuperarea și păstrarea dinților parodontotici este, de cele mai multe ori, opțiunea cea mai avantajoasă pentru pacienți, din punct de vedere financiar, fiind de regulă mai ieftină decât manoperele de extracție și implantare ulterioară.
14.05.2024
Tratamentul parodontal nu doar ameliorează parodonțiul

Un tratament parodontal nechirurgical poate reduce nivelul glicemiei pe termen lung (HbA1c) la diabeticii de tip 2, cu 0,3%, iar acest efect a persistat chiar și după șase luni de la tratament.
15.03.2024
A pragmatic approach to manage
peri-implant biological complications

Explore the complexities of dental implant care: This scientifically backed article summarises the critical aspects of diagnosis, oral hygiene, and expert strategies for the effective management of both, mucositis and peri-implantitis.
04.12.2023
Coroanele implanturilor trebuie menținute curate... dar cum?

Forma coroanei implantului are o influență semnificativă asupra modului în care aceasta poate fi întreținută în condițiile obiceiurilor de igienă orală la domiciliu. Se observă, de asemenea, că formele concave ale coroanei par să fie mai ușor de curățat; iar partea inferioară a coroanei implantului, din zona posterioară, este mai ușor de accesat cu ața dentară.
04.12.2023
Stil de viață nesănătos = rezultate de tratament precare?

Factorii care pot fi atribuiți unui stil de viață nesănătos și, în mai ales, o combinație a acestora, au dus la constatări îngrijorătoare privind creșterea semnificativă a profunzimii pungilor parodontale. La sondări reziduale, creșterile au fost în medie de 6 mm. Astfel, se observă diminuarea substanțială a probabilității atingerii rezultatelor de tratament dorite, la pacienții cu parodontoză, în urma tratamentului parodontal nechirurgical (etapele de tratament 1 și 2).
14.11.2023
Prevenția este cel mai bun tratament - Partea a II-a

Acumularea de biofilm este principalul factor etiologic în dezvoltarea bolilor periimplantare; controlul plăcii și terapia de întreținere a implantului sunt, prin urmare, esențiale în prevenirea bolilor periimplantare.
13.11.2023
Succesul tratamentului - cât de mult contează? Partea a II-a

O definiție a tratamentului parodontal de succes este dificil de realizat, însă acesta poate fi asociat cu o rată mai mică de pierdere a dinților; totuși, rata de pierdere a dinților la pacienții care participă cu regularitate la ședințele de tratament parodontal de susținere este, în general, foarte scăzută.
09.10.2023
Prezența socială în viața societății, chiar și fără dinți?

La o vârstă mai înaintată, pierderea dinților determină o reducere semnificativă a participării sociale în viața societății, în timp ce menținerea unui număr de minim 20 de dinți produce efectul opus, ducând la o îmbunătățire semnificativă și, prin urmare, la o prezență socială mai frecventă.
09.10.2023
Care sunt factorii care influențează rezultatul tratamentului - pacientul sau implantul?

În acest studiu, tratamentul nechirurgical al periimplantitei a avut succes doar în 25% din cazuri și a fost influențat negativ de un istoric medical cu parodontoză și fumat, de o igienă orală inadecvată și de un diametru mare al implantului.
09.10.2023
Țesutul moale cheratinizat este esențial pentru implanturi

Prevenirea bolilor periimplantare este cel mai bun tratament, iar țesutul moale periimplantar poate juca un rol decisiv în acest caz; din acest motiv, echipa trebuie să determine dacă este nevoie de tratament la pacienții cu lipsă de mucoasă cheratinizată (adică o profunzime a mucoasei cheratinizate de < 2 mm).
04.09.2023
Implanturile - Sunt ele o poveste de succes și din perspectiva pacientului?

Un procent foarte mare de pacienți au avut experiențe pozitive, în urma implantării, iar majoritatea pacienților au fost foarte mulțumiți de rezultat; cu toate acestea, criticile frecvente au fost legate de costurile tratamentului și dificultatea procesului de igienizare.
26.07.2023
Exercițiile fizice sunt excelente pentru sănătatea noastră... și pentru dinții noștri?

Femeile care fac exerciții fizice în mod regulat au prezentat un risc semnificativ mai scăzut de parodontopatie și o severitate mult diminuată a parodontozei.
26.07.2023
Fără dinți, suferă calitatea vieții?

Reabilitarea și înlocuirea dentiției lipsă duc la o îmbunătățire semnificativă a calității vieții, în raport cu sănătatea orală și, de asemenea, tind să îmbunătățească și starea generală de sănătate
26.06.2023
Parodontoza ne afectează, de asemenea, simțul gustului și al mirosului!

Un studiu bazat pe chestionare a arătat că parodontoza crește semnificativ riscul de alterare a simțului gustativ și olfactiv.
26.06.2023
Fumatul și profunzimea de sondare crescută sunt semnale de avertizare timpurie

Fumatul și adâncimea de sondare crescută, la vârste tinere (adică < 20 de ani), reprezintă factori de risc semnificativi pentru debutul timpuriu al parodontozei (de exemplu, sub 30 de ani).
02.05.2023
Prevenția este cel mai bun tratament!

Controlul optim al diabetului zaharat, terapia de susținere periodică a implantului și ameliorarea deficitului de țesuturi moi periimplantare s-au dovedit a fi caracteristici esențiale în prevenirea primară a bolilor periimplantare.
27.04.2023
Mucozita peri-implantară - sunt eficiente terapiile chimice adjuvante? Partea a 2-a!

Măsuri suplimentare aplicate local, sau luate sistematic de pacient (de exemplu, antiseptice sub formă de soluții de clătire a gurii sau probiotice), ar putea avea un efect pozitiv suplimentar în tratamentul mucozitei periimplantare.
31.03.2023
Tratamentul nechirurgical al peri-implantitei - curățarea chimică ...?

Aditivii chimici utilizați pentru curățarea suprafeței implantului, ca parte a terapiei non-chirurgicale a peri-implantitei, ar putea da rezultate, însă pentru că există destul de puține studiile bine realizate, cu un număr suficient de pacienți și o perioadă de urmărire suficient de lungă, astfel că nu putem recomanda cu adevărat o metodă specifică și/sau un produs specific.
31.03.2023
Tratamentul nechirurgical al peri-implantitei - standardul de aur ...?

Din cauza lipsei continue de studii clinice bine realizate, nu este încă posibil, pe baza dovezilor, să se ofere recomandări de tratament clare, pentru o curățare mecanică în cadrul unui tratament nechirurgical al peri-implantitei.
20.02.2023
Mucozita peri-implantară - sunt eficiente terapiile chimice complementare?

Având în vedere dovezile existente, nu se pot recomanda terapii chimice adjuvante, administrate profesional, pentru tratamentul mucozitei periimplantare; produsele testate până în prezent nu au demonstrat niciun beneficiu semnificativ, comparativ cu debridarea exclusivă.
20.02.2023
Curățarea interdentară electrică - o alternativă bună ...?

Dispozitivele de curățare interdentară acționate electric par să aibă o eficacitate comparabilă cu cea a aței dentare, pentru pacienții cu gingivită, dar în același timp au avantajul că pacienții le preferă.
16.12.2022
Oral hygiene helps even in difficult situations!

Oral health (gingivitis, periodontitis) influences the occurrence and the healing process of oral mucositis in patients with haematological disorders who are given high-dose chemotherapy.
16.12.2022
Air polishing as an adjunct in non-surgical periodontal treatment …?

As part of non-surgical periodontal treatment, the additional use of air-polishing treatment could be beneficial for deep baseline probing pocket depths (≥ 5.5 mm) in particular.
14.11.2022
Parodontoza și afecțiunile intestinale - Există o legătură?

Pacienții cu afecțiuni intestinale inflamatorii prezintă un risc mai mare de boli ale cavității bucale (parodontoză și pierderea dinților), iar aceste boli par, la rândul lor, să crească gradul de activitate al bolii inflamatorii intestinale.
11.11.2022
Gingivitis treatment = happier and healthier patients!

Treating gingivitis is not only the most effective option for preventing the occurrence of periodontitis, but also leads to a reduction in systemic inflammatory markers, whilst also improving the patient’s quality of life in terms of oral health.
07.11.2022
Care este situația cu țigările electronice și sănătatea parodontală?

Pe baza literaturii disponibile, fumatul țigărilor electronice pare să aibă un efect negativ întrucâtva mai redus, asupra sănătății parodontale, în comparație cu țigările tradiționale.
13.10.2022
Terapie parodontală de susținere toată viața? Sigur că da!

Pacienții cu parodontoză ar trebui să fie întotdeauna integrați într-un program de tratament de suport, întrucât rata de recurență și, prin urmare, un nou episod inflamator, este foarte probabil.