Имедиатно протетично възстановяване с Fast & Fixed метод
За да бъде постигнат успех при сложно орално възстановяване, екипът трябва да се състои от много добри специалисти, както и компоненти, които да си взаимодействат добре и да са с високо ниво на експертност във всеки етап от лечението. Това включва отлично обучен и опитен хирургичен персонал, надеждна и изпитана имплантологична система, модерно технологично оборудване и специализирана компетентна зъботехническа лаборатория.
Клиничен случай
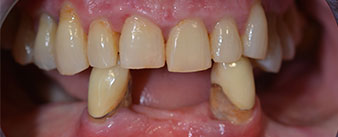
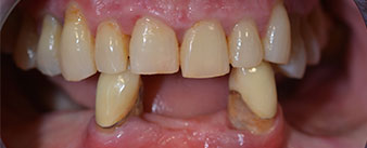
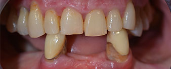
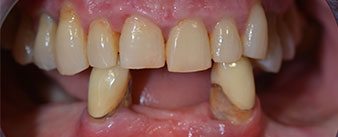
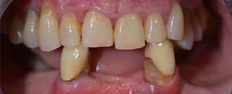
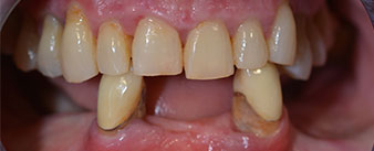
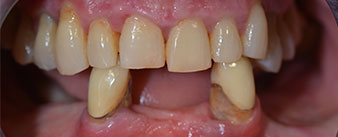
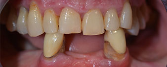
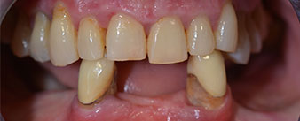
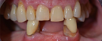
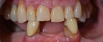
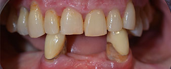
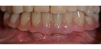
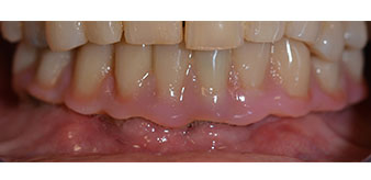
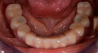
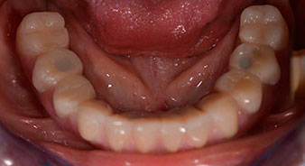
Пациентката е 64-годишна жена с частично обеззъбяване на зъби 38, 33 и 43 и частична долночелюстна протеза (Фиг. 1 и 2).


Необходимото пародонтално лечение и екстракция в челюстта бяха изпълени на по-късен етап, тъй като пациентката е учителка и беше заета с училищни изпити по това време. Тя не можеше нито да се храни, нито да говори нормално, тъй като временната протеза беше много фина и често се чупеше при най-малкия натиск.
След обсъждане на различните възможности за лечение, пациентката реши да се извършат: екстракция в частично обеззъбената долна челюст, имедиатно имплантиране и лечение с Fast & Fixed метод (bredent medical). Временно фиксираната протеза е завита върху четири импланта в същия ден на операцията. Целта беше пациентката да бъде оперирана в петък, за да може да асистира на устните изпити в понеделник.
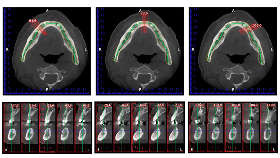
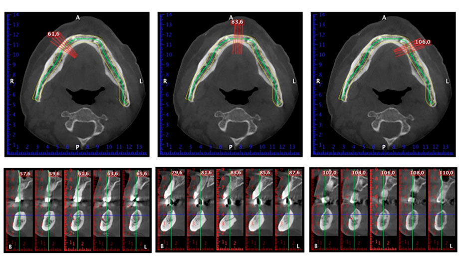
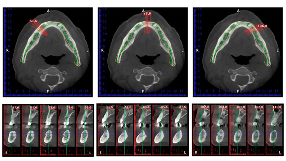
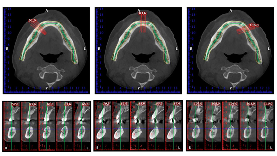
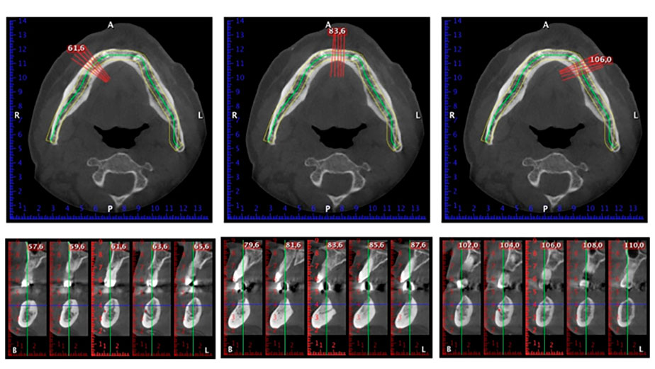
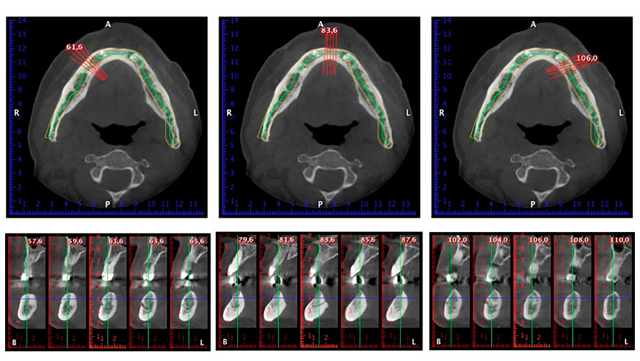
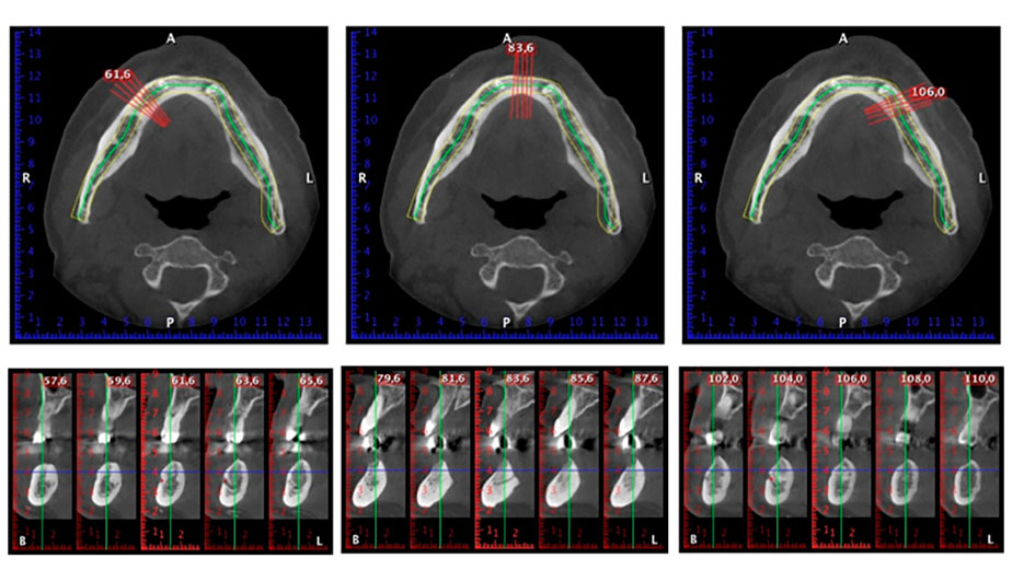
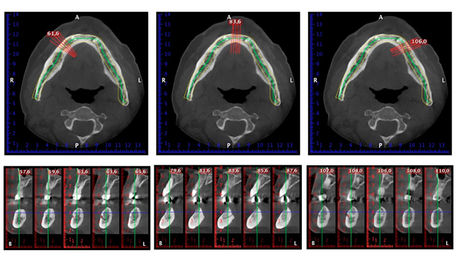
Направи се скенер с триизмерна компютърна томография (CBCT, Planmeca), за да се подпомогне планирането и да се намалят рисковете. Той показа, че качеството и количеството на наличната кост са достатъчни за операцията и имедиатното възстановяване, използвайки Fast & Fixed метод. Следвайки протокола за тази концепция, имплантите са поставени на 35, 32, 42 и 45 позиция. Ангулирането на дисталните импланти до 45° промени профила в задната зона и осигури по-голяма поддръжка в многоъгълната зона (Фиг. 3).

Хирургична процедура
След отстраняване на частичното обеззъбяване в долната челюст, алвеоларният гребен е разкрит от 37 до 47.
Изходът на долночелюстния нерв е първоначално идентифициран като ограничена анатомична структура и, след това, кортикалната кост на гребена е загладена с прав наконечник и голям борер с розовиден профил (Фиг. 4).

Това са първите видими впечатления от работата с Implantmed. Хирургичният протокол е вече зададен и настройките са съхранени на фиксирани позиции. Индивидуалните програми могат да бъдат избрани лесно чрез натискане на позиция “P” на педала за управление или на самия дисплей. Предварително зададените обороти от 35,000 rpm на позиция 1, в този случай, също са показани с големи цифри на осветения дисплей (Фиг. 5 и 6).


Хирургичният протокол за избраните импланти (SKY, bredent medical) изисква обороти от 1,200 rpm за пилотно пробиване с борера (Фиг. 7 - 9).
Това кореспондира със следващата зададена програма на Implantmed. Тук виждаме обратния наконечник на W&H под наклон от 45° ъгъл мезиокаодално в областта на 45, с цел да се предпази менталният нерв. Изходът на менталния нерв е използван като анатомична препратка за всички пробивания в тази зона. Следващите отвори са пробити при намалени обороти от 300 rpm (Фиг. 10 и 11).


Следващият програмиран режим е за поставяне на имплантите. В нашата практика, ние обикновено използваме торг от 32 Ncm за поставяне на импланти (Фиг. 12 и 13).


Високата първична стабилност е абсолютно изискване за имедиатно въстановяване. С цел да се постигне това, отворът не е допълнително обработен. Използван е мотор Implantmed на W&H, който е оборудван със специален подходящ режим за това, който може да бъде избран директно и е необходим за много индикации. Последните навивания при поставяне на имплантите надвишават 32 Ncm и се изпълняват ръчно. В такива случаи, ние препоръчваме употребата на самонарязващата функция на имплантите и завъртане на имплантите напред-назад няколко пъти. Това позволява имплантът постепенно да достигне финална позиция без да се оказва прекомерен натиск върху костта (Фиг. 14).

Ангулираните абатмънти (35°) са завити в имплантите, за да компенсират отклонението от дисталните импланти, така че в резултат профилът на разположение на всички импланти да е възможно най-перпендикулярен на нивото на захапката. Това е предпоставка за оклузално поставяне на временна и впоследствие на постоянна протеза (Фиг. 15 и 16).


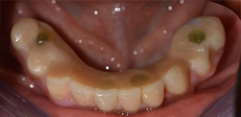
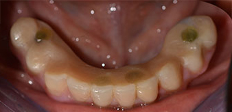
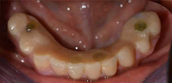
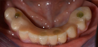
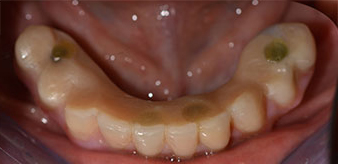
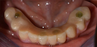
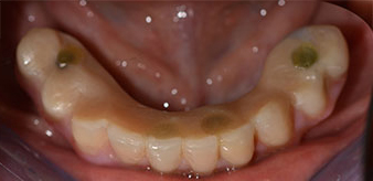
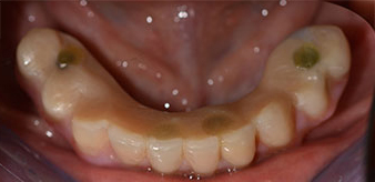
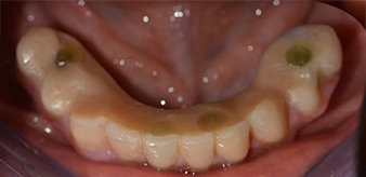
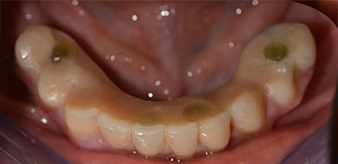
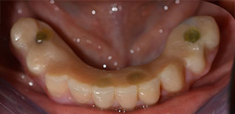
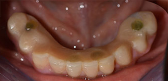
След това е взет отпечатък и е определена захапката на пациента, за да може зъботехникът незабавно да започне изработването на временната протеза. Протезата е поставена в същия ден (Фиг. 17 и 18).


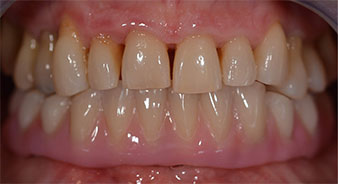
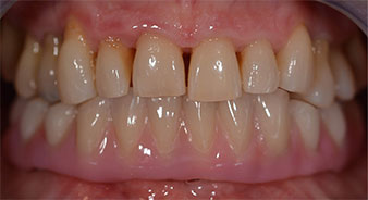
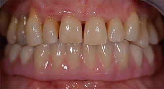
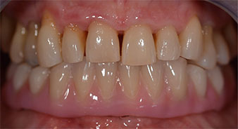
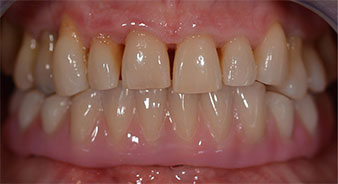
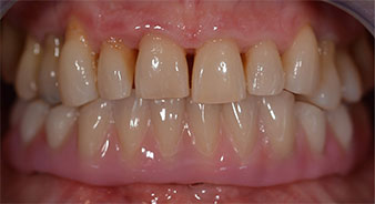
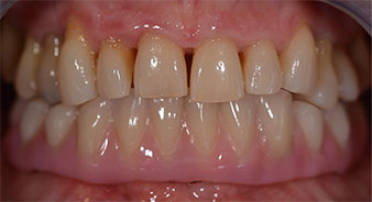
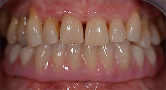
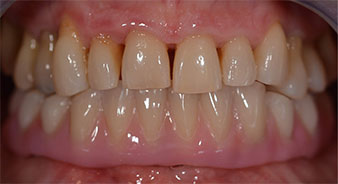
След изчакване на необходимото време за осеоинтеграция, финалният отпечатък на имплантите е свален и следователно е изработена финалната протеза (Фиг. 19 и 20). В този момент, лекарят по дентална медицина и пациентът могат да обсъдят дали да използват керамични или пластмасови фасети и циркониева или метална рамка. В този случай, екипът на д-р Паску избира пластмасови фасети, имайки предвид неясната прогноза относно частичното обеззъбяване в челюстта и фактът, че зъб 24 е прорастнал. Този вид протеза обикновено е по-лесна за адаптиране и впоследствие може да бъде променяна спрямо новата ситуация в челюстта.



Хирургични апарати и аксесоари
Имплантологичният мотор Implantmed на W&H, използван в тази процедура се отличава с лекота на работа.
Бутоните се четат лесно и оперирането с тях е интуитивно. Хирургът може да види оборотите и режима на работа само с един бърз поглед на големия осветен дисплей.
Различните режими могат да бъдат предварително настроени за хирургичния протокол и да се избира измежду тях с помощта на педала за управление. Работейки по този начин, Вие спестявате време и улеснявате хирургичните процедури.
Хирургичният обратен наконечник е WS-75 LG, който е снабден с LED светлина.
Светлината увеличава контраста в оралната кухина и подобрява визуалното възприятие. Обратният наконечник и S-11 прав наконечник на W&H са с външно охлаждане, което е голямо предимство по отношение на физиологичния разтвор, който достига точно, където трябва и може да бъде впоследствие редуциран, ако е необходимо. Правите и обратни наконечници могат да бъдат разглобени, което е силно препоръчително от гледна точка на хигиената и стерилизацията. Поставени са четири импланта SKY с размери 4.0 x 14 мм.

Този клиничен случай е проведен от д-р Кристиан Дан Паску и неговият екип в дентална практика Discover White в Дюселдорф, в сътрудничество с Bredent medical GmbH and Co. KG и W&H.

Контакти
д-р Кристиан Дан Паску
Експерт по Орална имплантология (GBOI)
Discover White – Дентална практика
Д-р Минчева, Д-р Паску
Zollhof 8, 40221 Düsseldorf
www.discover-white.de
* Снимки: д-р Кристиан Дан Паску
коментара