Отложено имплантиране и аугментация – измерване на стабилността на импланта
Първи мандибуларен молар при млад пациент трябва да бъде екстрахиран поради тежко увреждане от кариес с ендодонтски усложнения. Поставянето на корона на съседните здрави зъби може да се избегне само с имплант. Шест седмици след екстракция, алвеолите се оказват с недостатъчна кост. Имплантирането трябва да се комбинира с обграждаща аугментация.
Имплантите трябва да имат адекватна първична стабилност, за да осигурят надеждна остеоинтеграция. Необходимият механичен въртящ момент може да бъде измерен по време на поставянето. Ако първичното микродвижение на импланта е прекомерно, съединителната тъкан в получената празнина може да се увеличи и остеоинтеграцията няма да се осъществи. Съпротивлението при завиване на импланта зависи, заедно с други фактори, от тялото на импланта и геометрията на резбата. Ето защо, стандартната препоръка от поне 20 до 40 Ncm не може да бъде приложена към всяка система (2).
Също така, не е възможно да се повтори измерването на въртящия момент, без да се застраши успехът на остеоинтеграцията. Поради тази причина, трябва да се използват неинвазивни апарати като резонансно-честотен анализ (RFA). Електромагнитните вълни се използват, за да предизвикат вибрация на импланта. Полученият коефициент на стабилност на импланта (ISQ) е свързан с микродвижението и по този начин с протетичната еластичност (3,4). Високата костна плътност има тенденцията да бъде свързвана с повишена първична стабилност (5). Ако костният обем е намален, по-трудно е да се прецени добрата първична стабилност, което означава, че измерването на ISQ може да бъде особено важно (2).
История на клиничния случай

28-годишен пациент с анамнеза на тежък пушач е с екстрахиран 36 зъб в резултат на повторяем апикален пародонтит.
Поради почти незасегнатите съседни зъби, единственият начин за запълване на пространството е с имплант.

Шест седмици след екстракцията се открива непълна осификация след препарацията на мукопериосталното ламбо в областта на предходната алвеола мезиално.

Имплантът е поставен както е планирано след цялостно отстраняване на гранулационната тъкан (blueSky, bredent).

Въртящият момент, използван за машинно-задвижвано поставяне, е 43 Ncm. Освен това, след завинтване на измервателния щифт (SmartPeg), специално пригоден за импланта, стойността на ISQ се измерва със сондата на W&H Osstell ISQ модула.

Този модул е допълнителна екстра към Implantmed на W&H и е закачен към имплантологичния мотор (виж фиг. 11). Липсата на ISQ стойност непосредствено след поставянето е 64 оровестибуларно и 68 мезиодистално (максимална стойност = 100).
Тези стойности могат да показват отворено лечение или дори имедиатно възстановяване. Поради недостатъчния обем на кресталната кост при импланта, областта е подсилена с костните частици, събрани по време на препарацията на имплантното ложе и зашити, за да се изолира слюнката.
Имплантът е открит два месеца по-късно и е поставен гингива формър (няма снимка).
След зарастване на меките тъкани, стабилността на импланта е измерена отново преди протетичното възстановяване.
И двете стойности са практически непроменени и са между средния и високия диапазон, където по-ниската стойност винаги се използва като референтна стойност, която определя лечението.

Следователно, успешната остеоинтеграция и адекватната биологична стабилност могат да бъдат записани, което даде възможност да се вземе отпечатък в една и съща сесия.
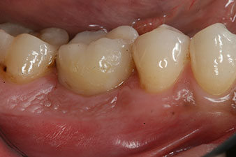
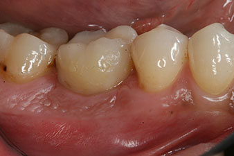
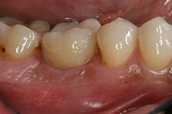
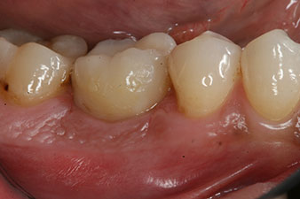
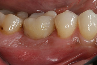
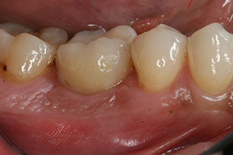
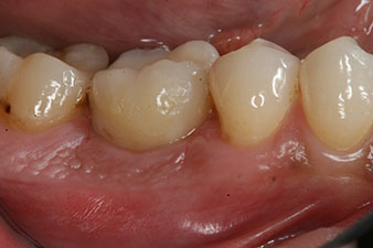
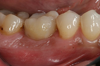
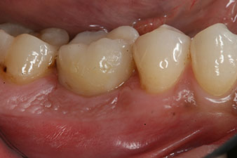
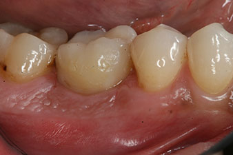
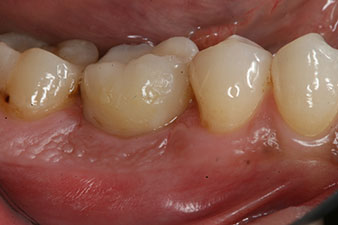
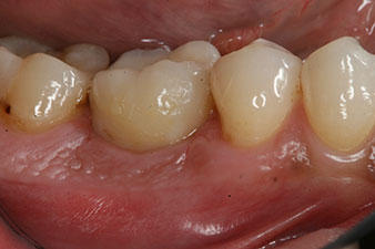
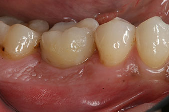
Последните снимки показват закрепената с винт монолитна композитна корона на място и рентгеновата проверка (фиг. 9 и 10) (6).


Дискусия и заключение
Днес, пациентите очакват бързо лечение и по този начин определянето на точното време за възстановяване става все по-важно. За да може да се прецени микродвижението за имедиатни възстановявания, първичната механично определена стабилност трябва да бъде измерена в деня на имплантирането. Противно на това, за да се провери успешна ли е остеоинтеграция, се измерва биологично определената вторична стабилност. Ако имплантите са поставени в мека кост, на средна база те обикновено са склонни да бъдат по-стабилни след отваряне, отколкото след поставяне (2). Но, ако имплантът е поставен в твърда или много твърда кост, както е описано тук, ISQ стойността остава постоянна или дори може да се понижи, ако първоначалните стойности са високи. Високата механична стабилност се намалява чрез процеса на остеоинтеграция и се заменя с биологично закрепване.
Стабилността на имплантите е по-добре описана като микромобилност и най-добре се измерва чрез резонансно-честотен анализ (RFA) (7, 8). Измерванията се извършват в две посоки, както в изследвания случай (9). Технологията може да се предлага опционално като модул, който може да бъде монтиран към имплантологичния мотор Implantmed. Не се изисква отделно устройство. По-ниската стойност винаги е приложима за терапията. Измерените стойности се показват на сензорния екран на имплантологичния мотор като коефициент на стабилност на импланта (ISQ). Заедно с кривата на въртящия момент за поставяне и данните за препарацията на имплантното ложе, те могат да бъдат записани на USB памет и използвани за документиране на пациента и импланта. Като цяло това е много удобна и надеждна технология за ежедневна работа в имплантологията, особено в комбинация с Implantmed на W&H.
Литература
- Brunski JB. In vivo bone response to biomechanical loading at the bone/dental-implant interface. Adv Dent Res 1999;13:99-119.
- Neugebauer J, Kistler F, Duddeck D, Scheer M, Kistler S, Bayer G, et al. Risikomanagement - objektive Beurteilung der Implantatstabilität. Implantologie Journal 2013.
- Pagliani L, Sennerby L, Petersson A, Verrocchi D, Volpe S, Andersson P. The relationship between resonance frequency analysis (RFA) and lateral displacement of dental implants: an in vitro study. Journal of oral rehabilitation 2013;40:221-227.
- Suer BT, Yaman Z, Buyuksarac B. Correlation of Fractal Dimension Values with Implant Insertion Torque and Resonance Frequency Values at Implant Recipient Sites. Int J Oral Maxillofac Implants 2016;31:55-62.
- Filho LC, Cirano FR, Hayashi F, Feng HS, Conte A, Dib LL, et al. Assessment of the correlation between insertion torque and resonance frequency analysis of implants placed in bone tissue of different densities. J Oral Implantol 2014;40:259-262.
- Neugebauer J, Adler S, Kistler F, Kistler S, Bayer G. Der Einsatz von Kunststoffen bei der festsitzenden prothetischen Implantatversorgung. ZWR Das Deutsche Zahnärzteblatt 2013;122:242-245.
- Andreotti AM, Goiato MC, Nobrega AS, Freitas da Silva EV, Filho HG, Pellizzer EP et al. Relationship Between Implant Stability Measurements Obtained by Two Different Devices: A Systematic Review. J Periodontol 2017; 88: 281-288.
- Herrero-Climent M, Santos-Garcia R, Jaramillo-Santos R, Romero-Ruiz MM, Fernandez-Palacin A, Lazaro-Calvo P, et al. Assessment of Osstell ISQ's reliability for implant stability measurement: a cross-sectional clinical study. Medicina oral, patologia oral y cirugia bucal 2013;18:e877-882.
- Park JC, Kim HD, Kim SM, Kim MJ, Lee JH. A comparison of implant stability quotients measured using magnetic resonance frequency analysis from two directions: a prospective clinical study during the initial healing period. Clinical oral implants research 2010;21:591-597.
коментара