Доклади & Изследвания

Класификация на клиничното пародонтално здраве

Prof. Dr. Peter Hahner

Новата класификация на пародонталните заболявания, представена през юни 2018 г., за първи път съдържа определение на понятието клинично пародонтално здраве (Lang & Bartold, 2018). Дори при оптимални хигиенни условия в гингивалния сулкус е налице малко количество бактериален биофилм. Пълното отсъствие на бактерии не е възможно в клинични условия. Хистологичният отговор представлява ограничен субепителен инфилтрат от неутрофилни гранулоцити (PMN). Въпреки това, при условие че се поддържа хомеостаза между биофилма и малкото количество PMN инфилтрат, това състояние се разглежда като израз на имунологичен контрол и следователно като физиологичен, а не патологичен (възпалителен) процес (Brecx et al., 1987a+b). Микробиологичното натоварване и факторите на гостоприемника определят дали състоянието на клинично пародонтално здраве ще се запази. Локално те могат да доведат до повишено натрупване на биофилм (напр. неподходящи зъбни възстановявания или неблагоприятни позиции на зъбите) или да повлияят на имунния отговор (напр. системни заболявания).

Състоянието на клинично пародонтално здраве на интактен пародонт се разграничава от това на редуциран пародонт, който вече е засегнат от клинична загуба на прикрепване. Тази загуба на прикрепване може да настъпи:

в резултат на възпаление в хода на пародонтита. Клиничното пародонтално здраве описва стабилното състояние след успешно приключване на пародонталното лечение.
в резултат на рецесия
ятрогенно, напр. в резултат на хирургично удължаване на короната (Chapple et al., 2018)

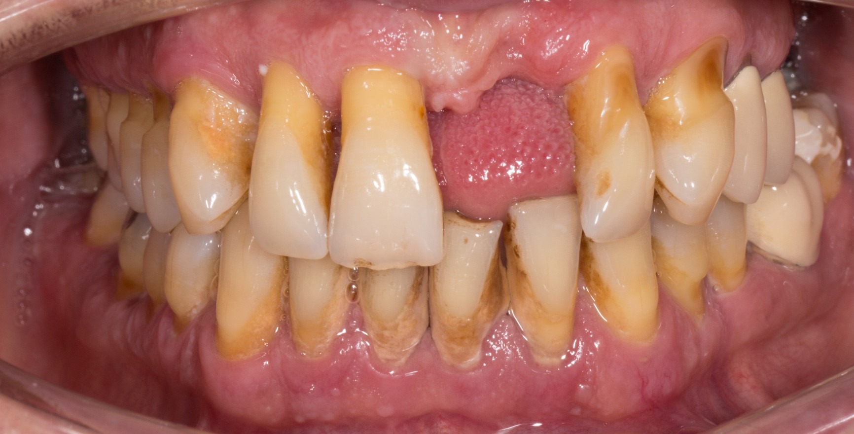
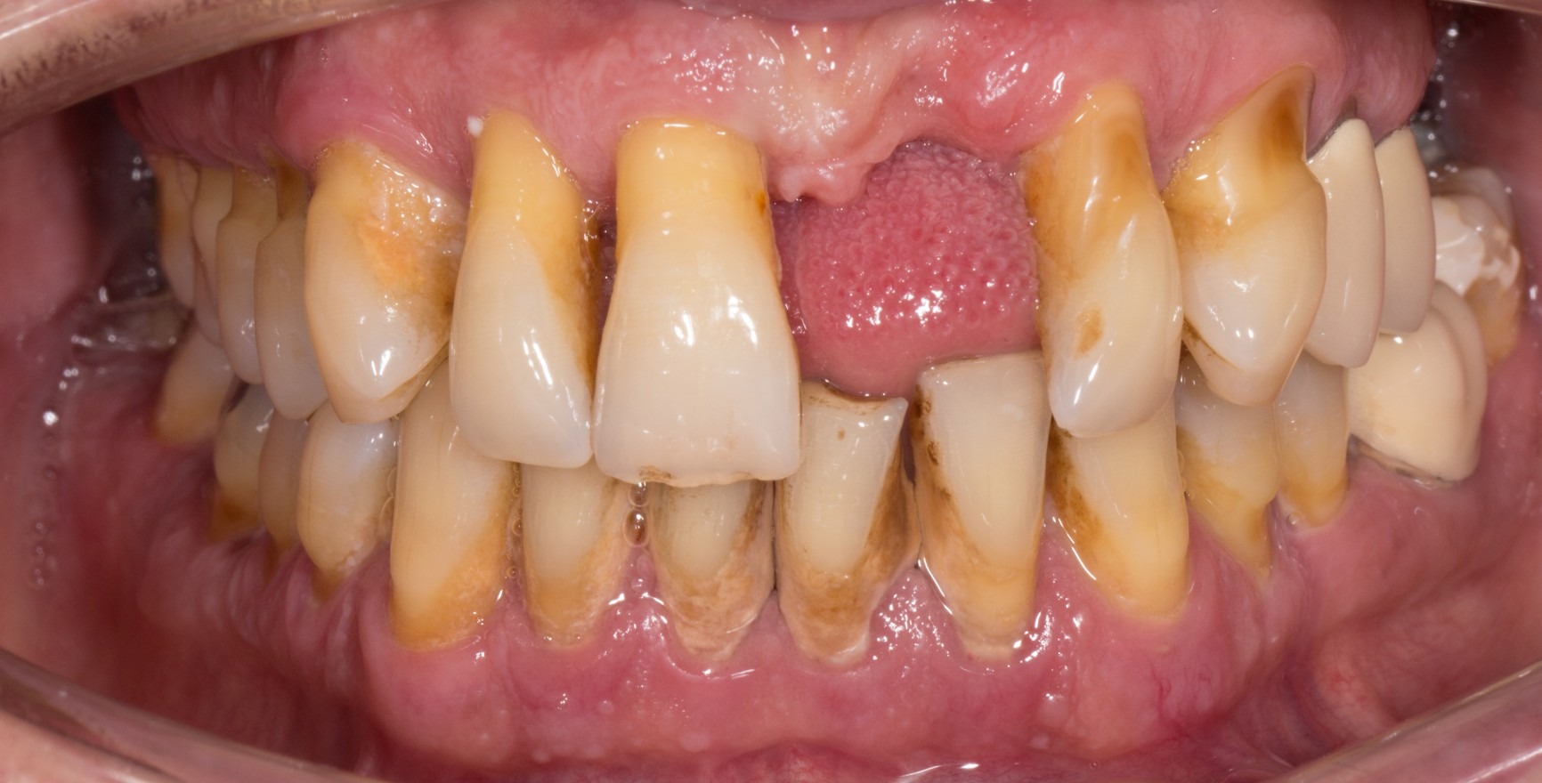
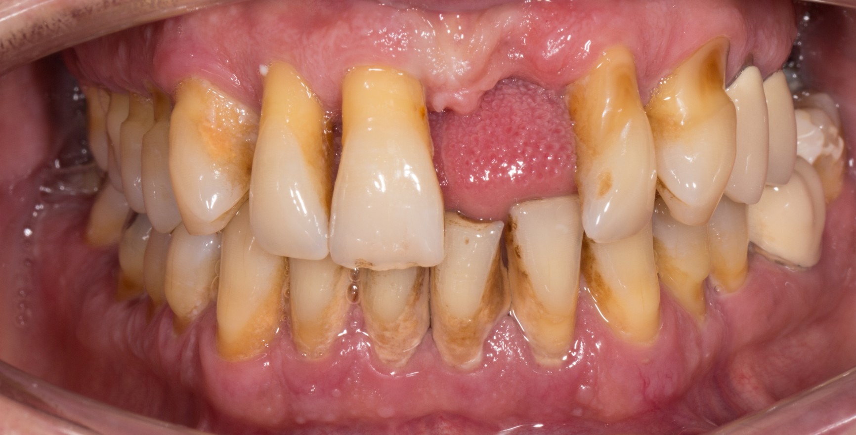
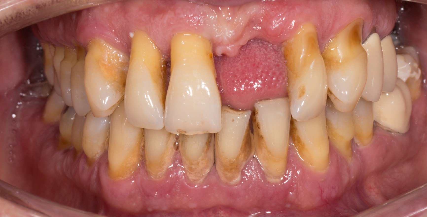
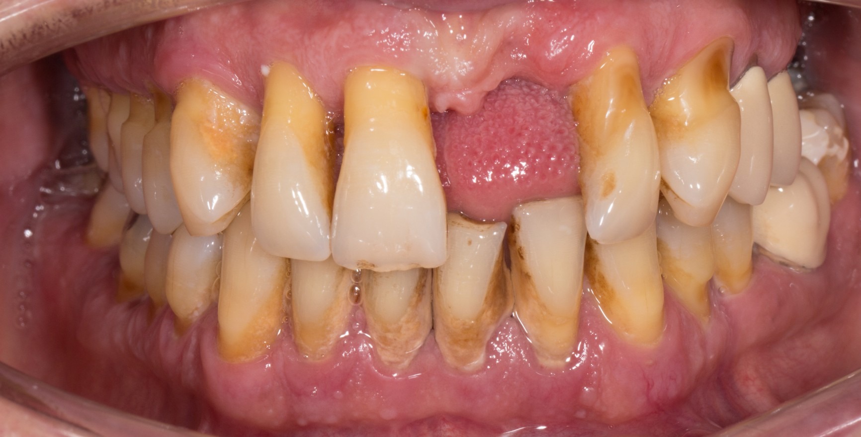
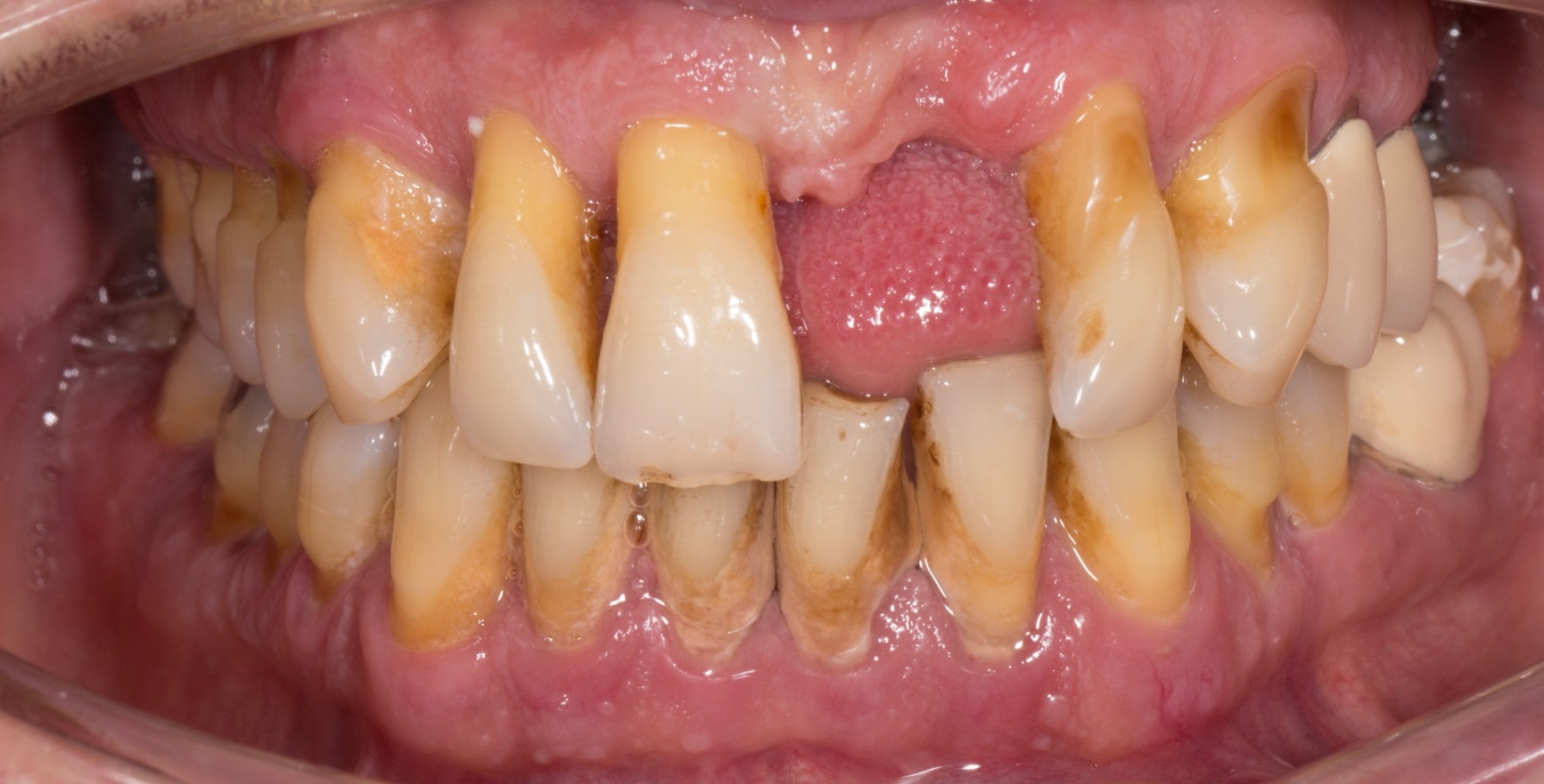
Клиничният критерий винаги е липсата на кървене при внимателно сондиране (кървене при сондиране = BoP). Прави се разграничение между специфична за мястото/зъба диагноза с липса на BoP на съответното място на измерване и специфична за пациента диагноза, при която прагова стойност на BoP ≤ 10 % все още отговаря на критериите за клинично пародонтално здраве. Дълбочината на сондиране не трябва да надвишава 3 mm. При намален пародонт след пародонтално лечение прагова стойност от 4 mm все още се счита за стабилно състояние (Matuliene et al., 2008).

Ако е поставена диагноза „клинично пародонтално здраве“, трябва да се вземе предвид медицинската история на пациента, за да се осигури правилна по-нататъшна грижа: пародонтитът е хронично заболяване, което може да бъде успешно контролирано чрез лечение. За разлика от напълно обратимия гингивит обаче, дори ако пациентът е в стабилно състояние след лечение на пародонтит, съществува повишен риск от повторна загуба на прикрепване. Пациентът с пародонтит ще остане такъв до края на живота си и следователно ще се нуждае от дългосрочна поддържаща пародонтална терапия (ППТ).

Източници

  1. Lang, N. P., & Bartold, P. M. (2018). Periodontal health. Journal of periodontology, 89, S9-S16.
  2. Brecx, M. C., Gautschi, M., Gehr, P., & Lang, N. P. (1987). Variability of histologic criteria in clinically healthy human gingiva. Journal of periodontal research, 22(6), 468-472.
  3. Brecx, M. C., Schlegel, K., Gehr, P., & Lang, N. P. (1987). Comparison between histological and clinical parameters during human experimental gingivitis. Journal of periodontal research, 22(1), 50-57.
  4. Chapple, I. L., Mealey, B. L., Van Dyke, T. E., Bartold, P. M., Dommisch, H., Eickholz, P., ... & Griffin, T. J. (2018). Periodontal health and gingival diseases and conditions on an intact and a reduced periodontium: Consensus report of workgroup 1 of the 2017 World Workshop on the Classification of Periodontal and Peri‐Implant Diseases and Conditions. Journal of clinical periodontology, 45, S68-S77.
  5. Matuliene, G., Pjetursson, B. E., Salvi, G. E., Schmidlin, K., Brägger, U., Zwahlen, M., & Lang, N. P. (2008). Influence of residual pockets on progression of periodontitis and tooth loss: results after 11 years of maintenance. Journal of clinical periodontology, 35(8), 685-695.

коментара