Пациент с диабет и съществуващ пародонтит
Въведение
Добре известна е тясната връзка между общото медицинско състояние и оралното здраве (1,2). Вече не е правилно оралните заболявания да се разглеждат отделно. Прецизното снемане на медицинска и орална анамнеза и изследването на резултатите, както и съвместното им разглеждане са от съществено значение за поддържане на оралното здраве и качеството на живот на пациента и предлагат на денталните лекари чувство на сигурност по време на терапевтичното планиране. Ето защо за всеки пациент трябва да се създаде индивидуален профил на профилактика, включително всички свързани с него общи медицински и орални здравни рискове (3, 4). (Фиг. 1)

Това представяне на случая подчертава полезността от систематична, индивидуална концепция за превенция при създаването на ориентиран към конкретния случай профил на пациента и прилагането на произтичащите от него лечебни мерки.





Обща медицинска история
Този доклад се отнася за 52-годишен мъж. Той страда от захарен диабет тип 2, който е добре контролиран. Стойността на HbA1c е 6,7. По отношение на медикаментите пациентът приема ежедневно метформин. Непушач е. Пациентът почиства зъбите си два пъти дневно с ръчна четка за зъби и използва интердентални четки веднъж дневно.
Редовно посещава контролни прегледи на интервал от 3 до 4 месеца.
Екстраорални и интраорални резултати
Няма патологични екстраорални или интраорални резултати.
Зъбни резултати
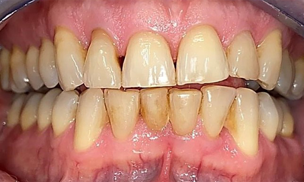
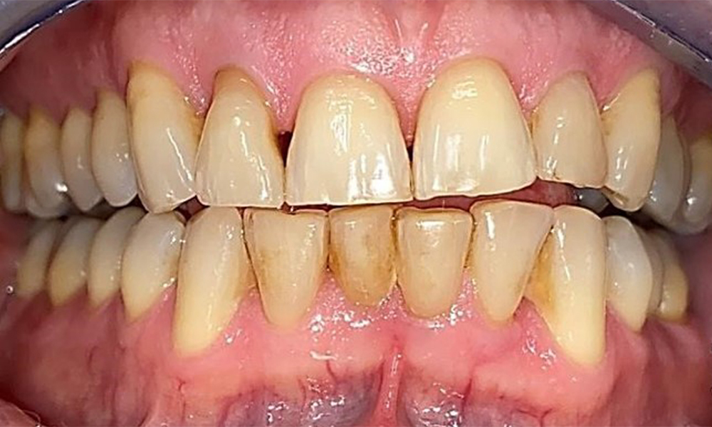
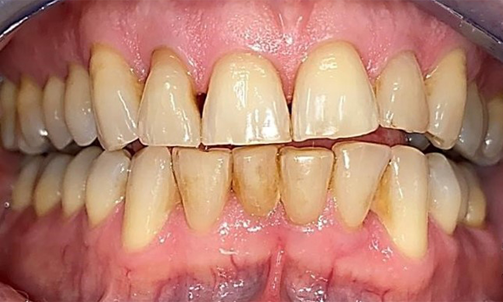
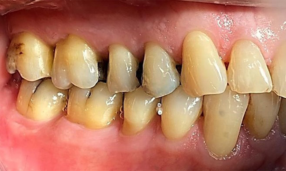
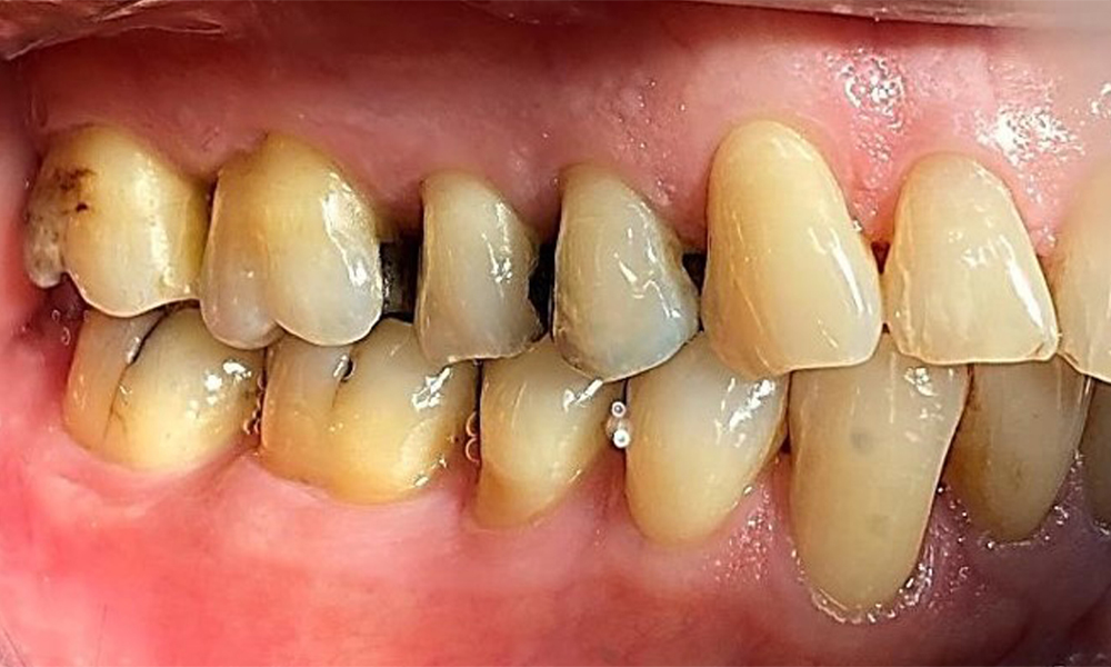
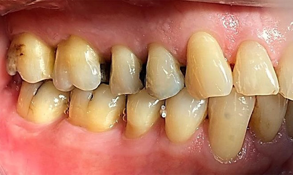
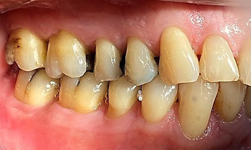
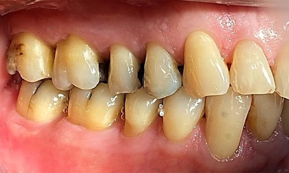
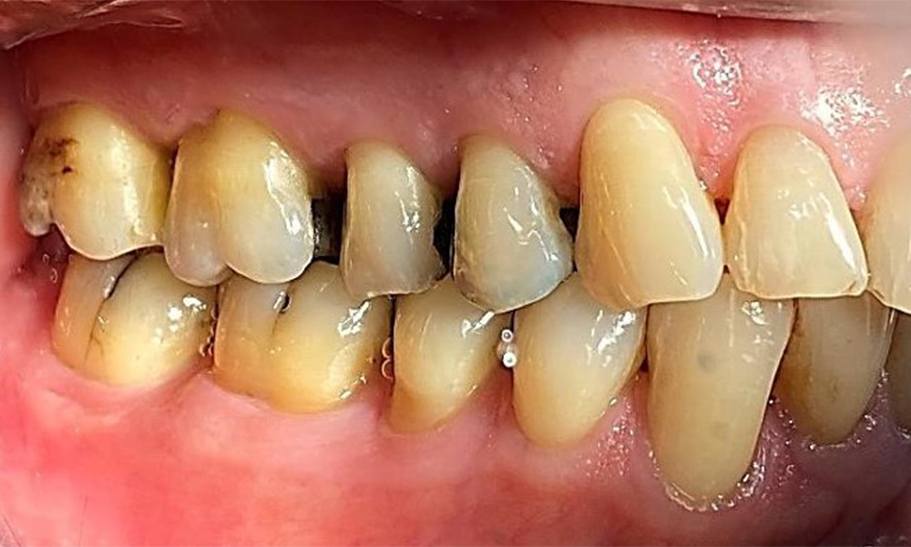
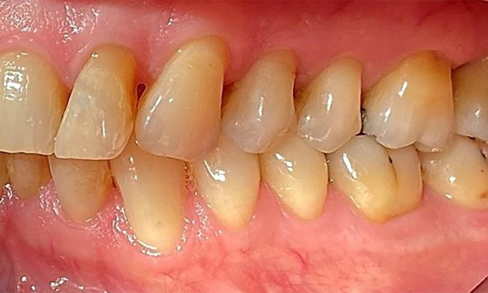
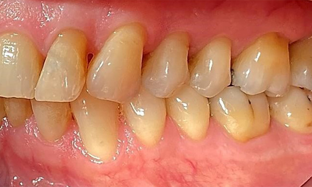
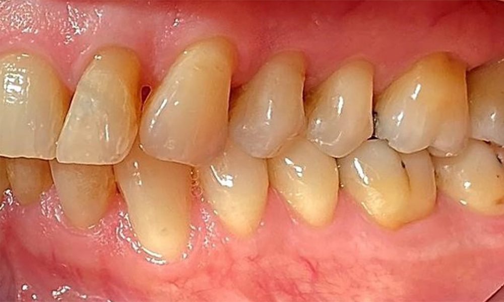
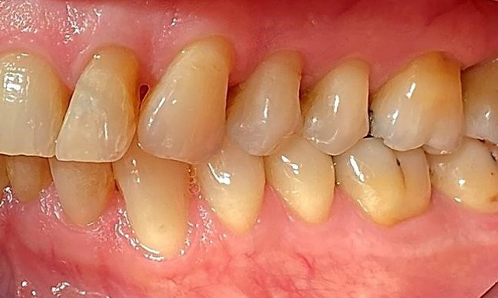
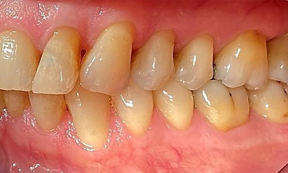
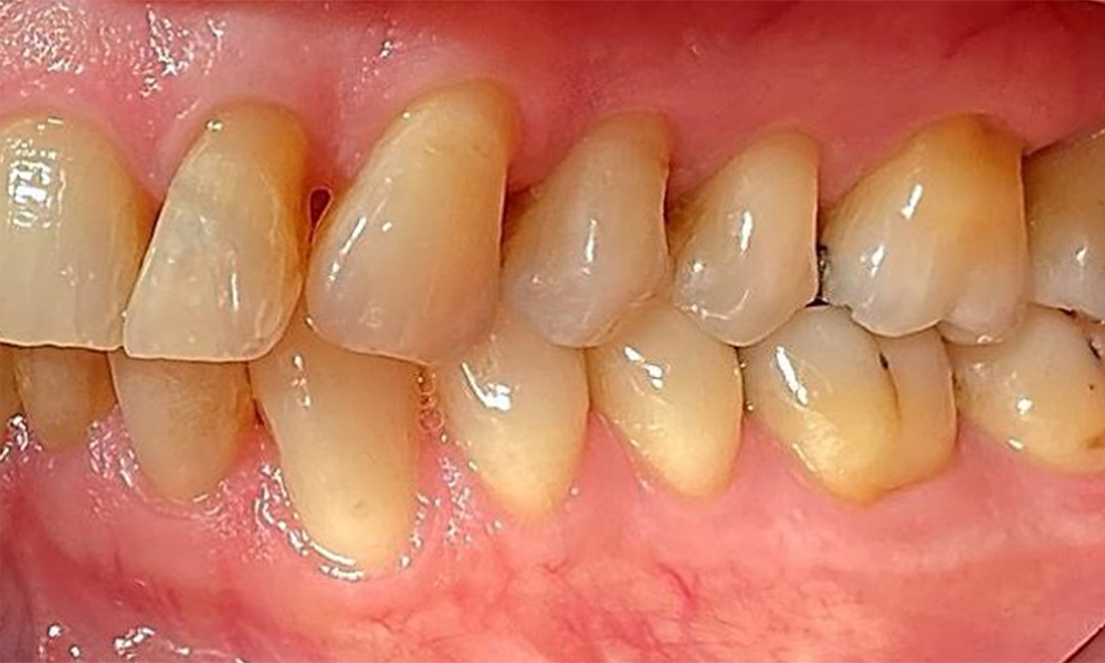
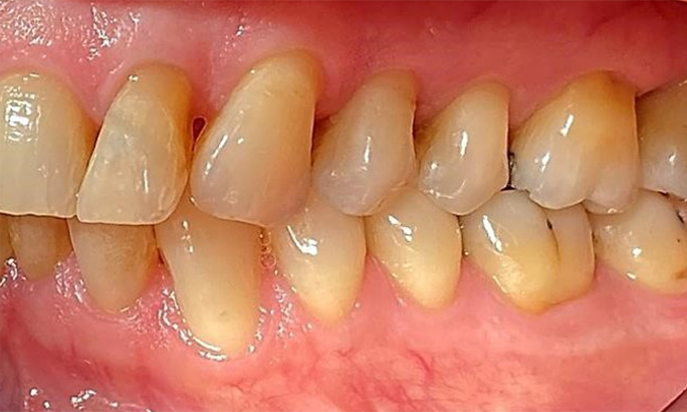
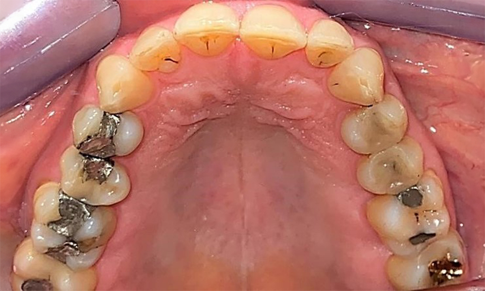
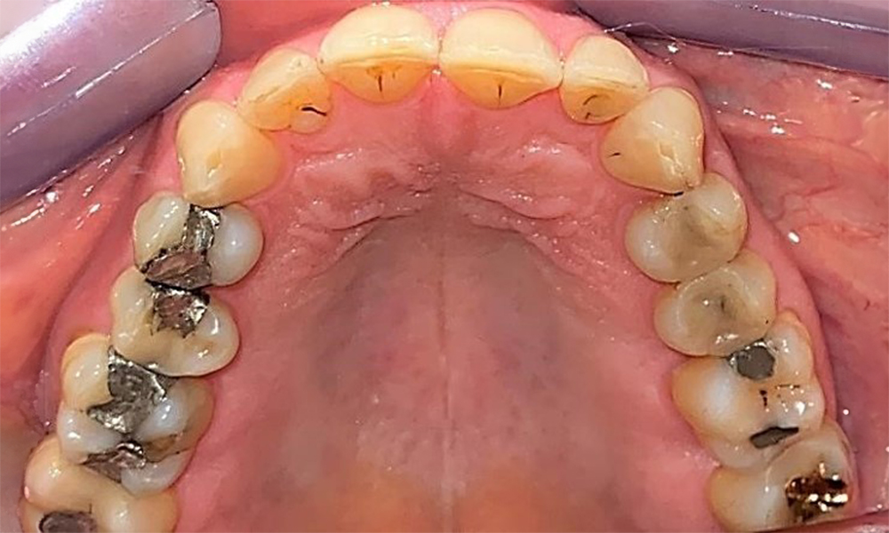
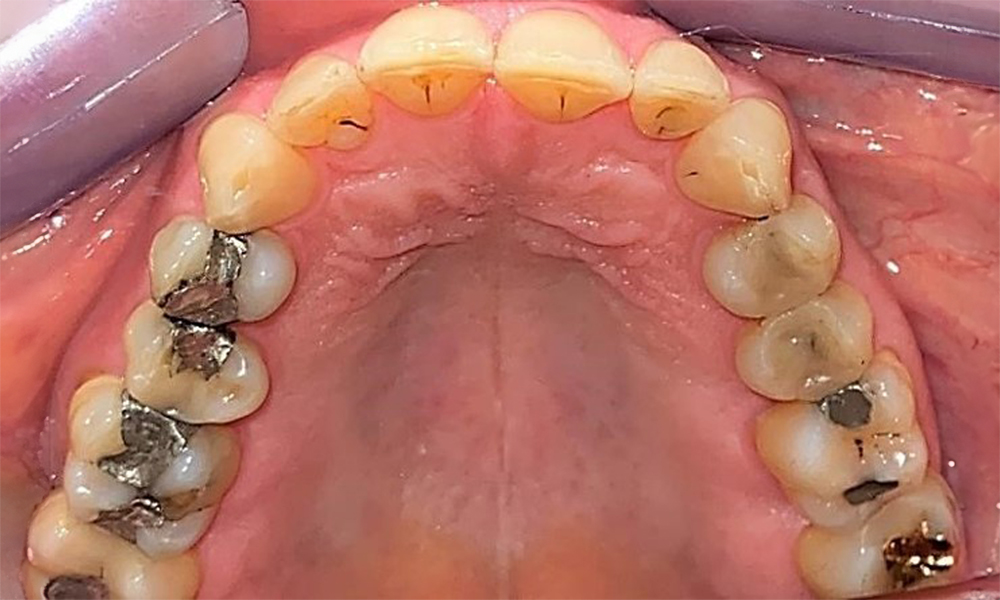
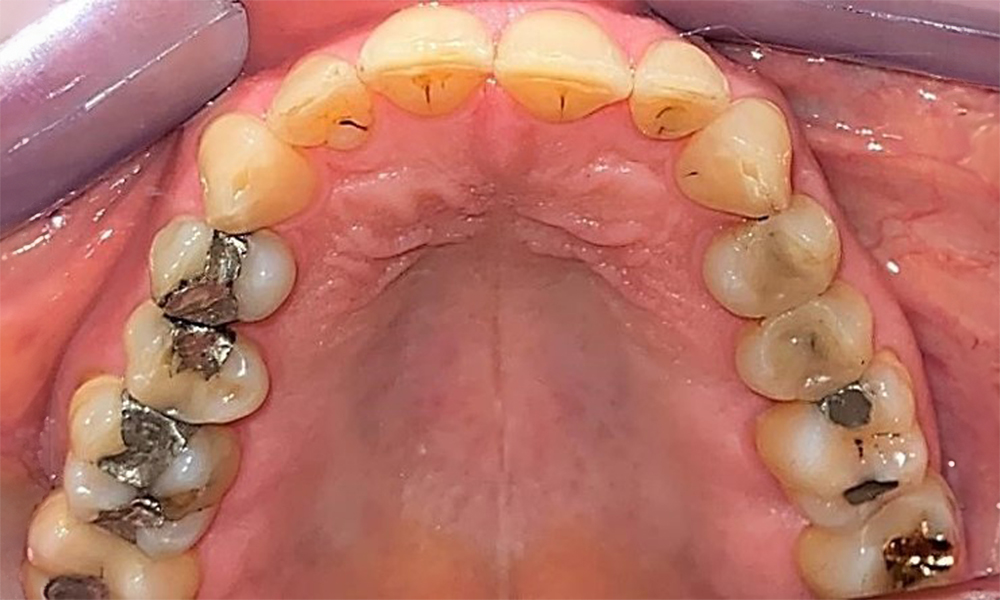
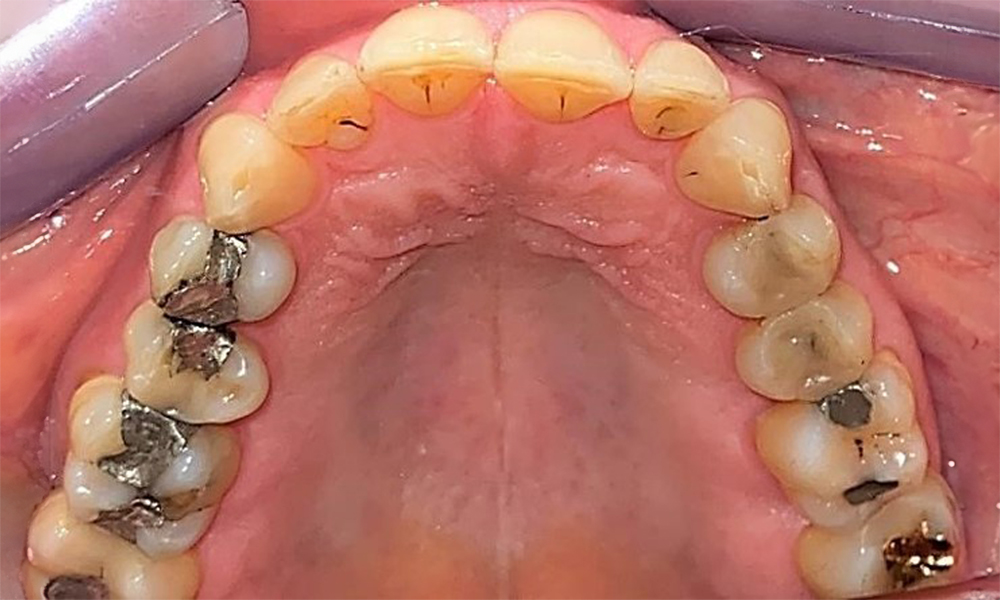
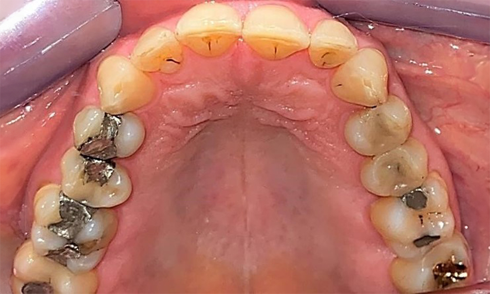
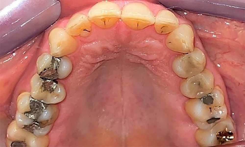
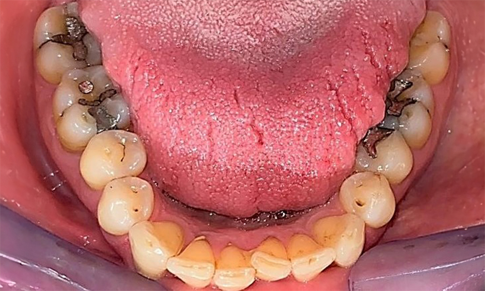
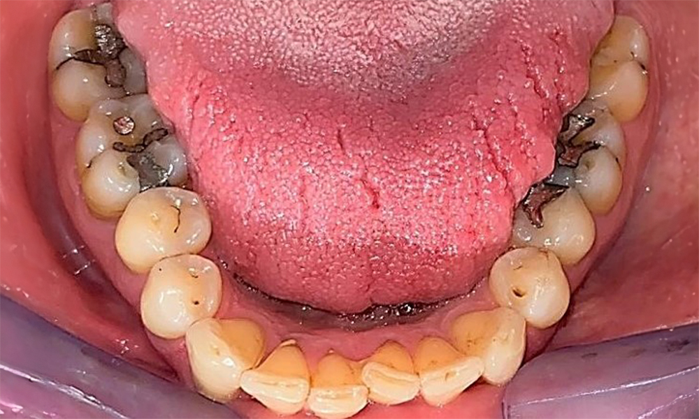
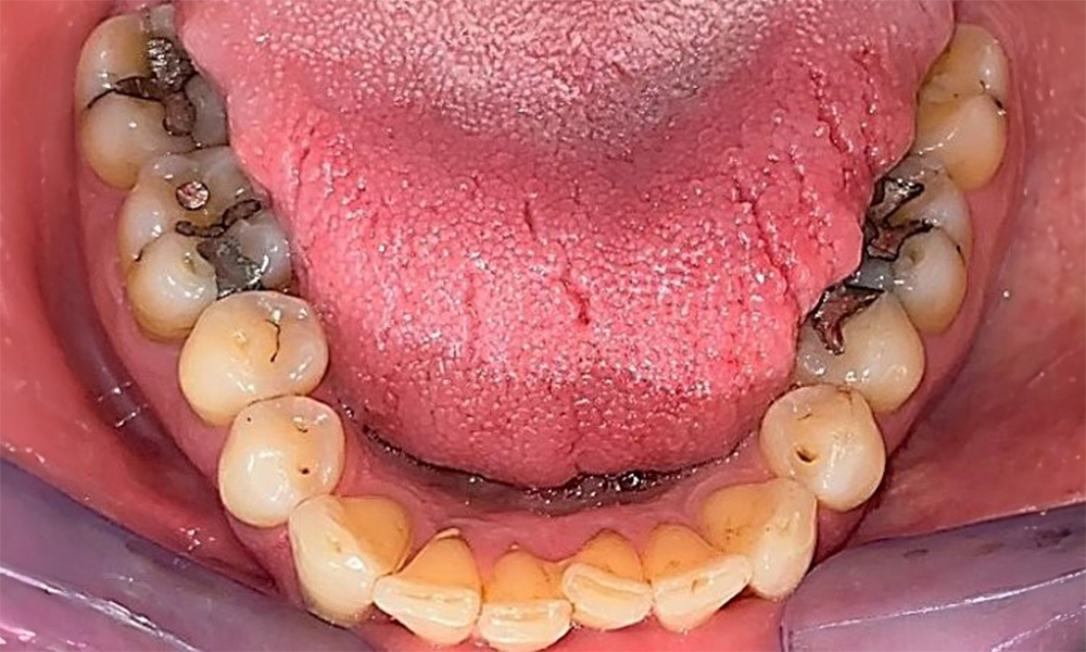
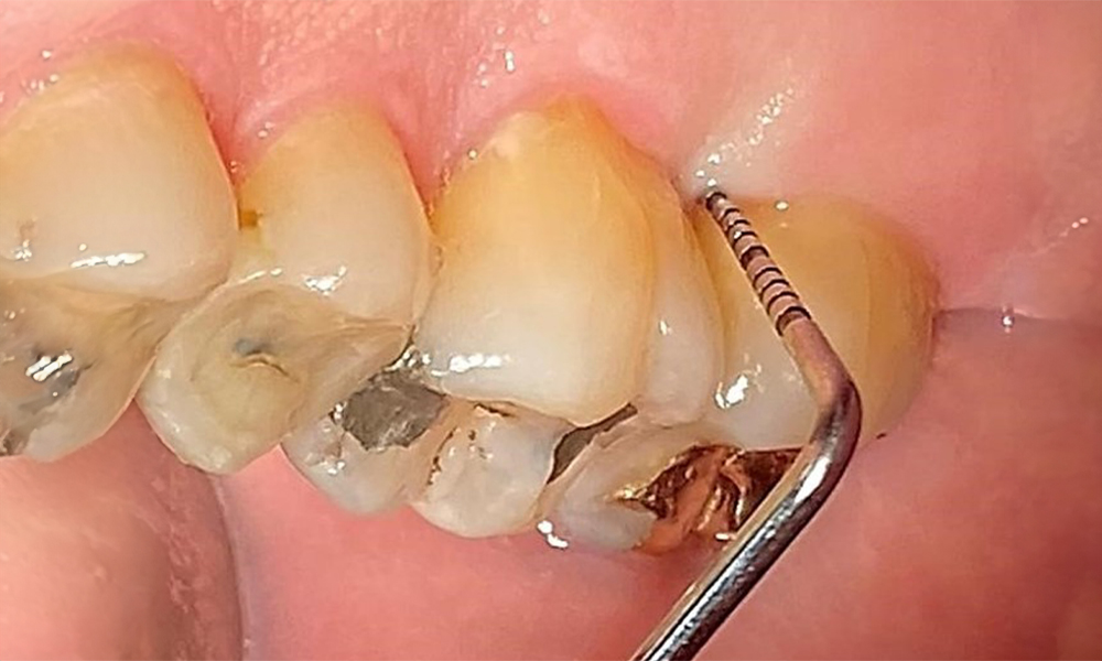
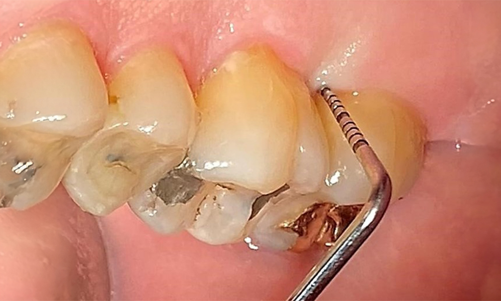
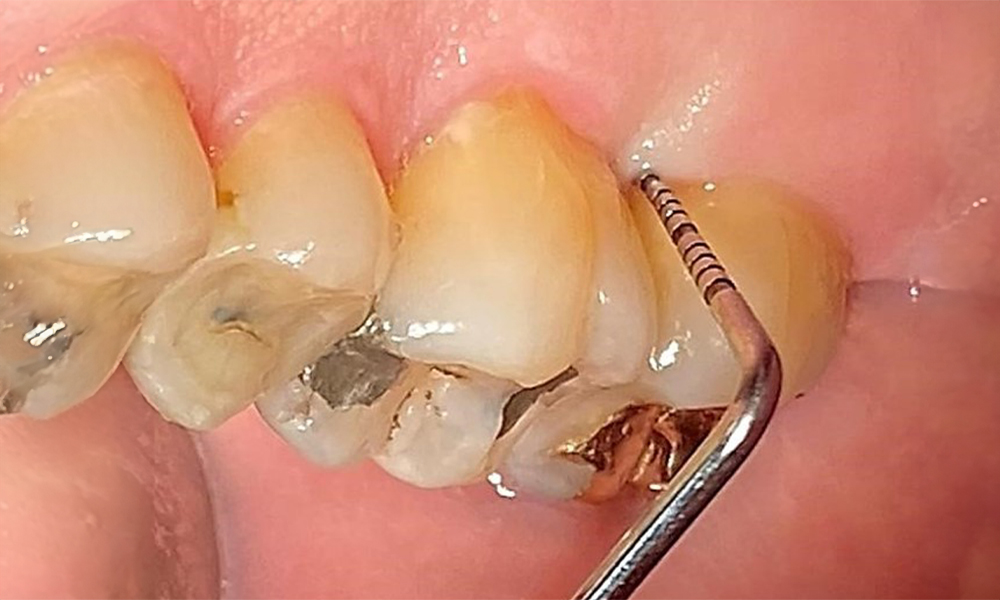
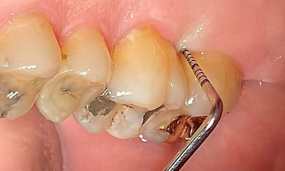
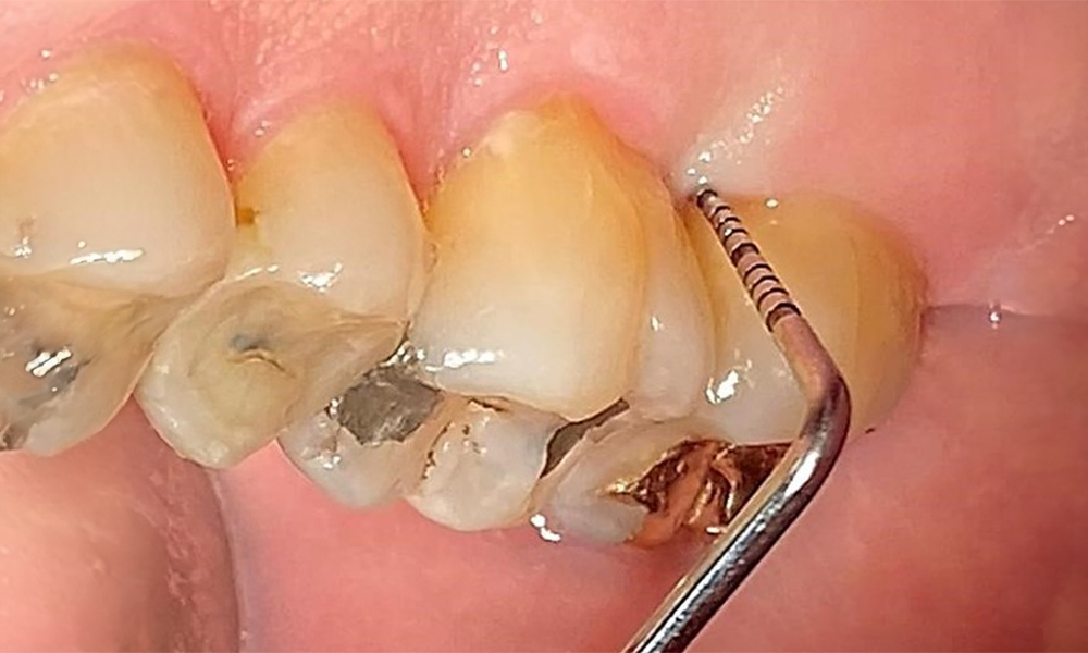
Пациентът има пълно съзъбие с 28 зъба, което включва амалгамни и композитни пломби в областта на моларите и премоларите. На зъб 14 има видима клинична маргинална празнина. Зъб 27 има адекватна златна инкрустация. Налице са и генерализирани атриции и абразии. (фиг. 2, фиг. 3, фиг. 4, фиг. 5, фиг. 6)
Пародонтални резултати
Пациентът е с пародонтит II стадий, степен В (5). Клиничните дълбочини на сондиране от 1 до 3 mm са във физиологичния диапазон. Локализирани дълбочини на сондиране от 5 mm са наблюдавани медиопалатинално на 17 и 27. Налице са генерализирани рецесии от 1 до 3 mm с частична загуба на интердентални папили (фиг. 2, фиг. 3, фиг. 4)
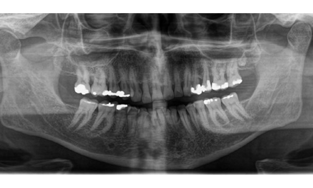
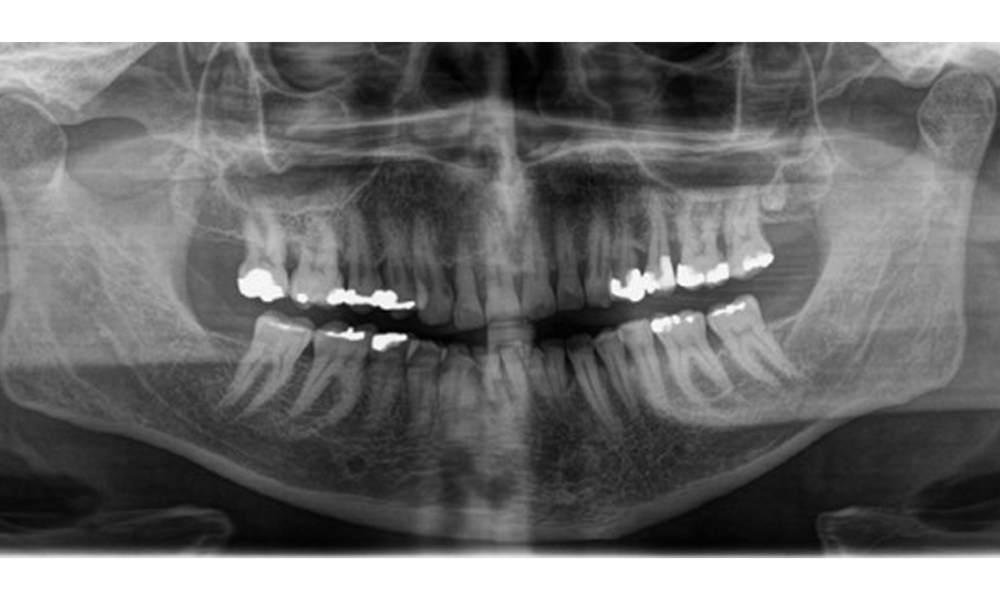
Рентгенологични резултати
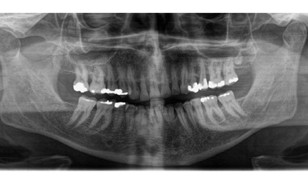
Налице е пълно съзъбие на възрастен човек с генерализирана костна загуба между 20-50% и множество зони на вертикална костна загуба. Рентгенологичното изследване не разкрива видими кариозни лезии. (Фиг. 7)

Анализ на случая въз основа на концепцията за индивидуална превенция
Индивидуалната концепция за превенция дава приоритет на специфичния за случая профил на пациента (3, 4), който се създава като се използват както общи медицински данни, така и данни за оралното здраве (фиг. 1). Тези фактори са от решаващо значение за определяне на необходимостта от лечение. Медицинската анамнеза в настоящия случай не разкрива никакви специфични рискови фактори, които биха увеличили риска от усложнения по време на лечението. Пациентът страда от захарен диабет. Той обаче е добре контролиран, така че пациентът може да бъде лекуван по същия начин като "здрав" пациент. Въпреки това преди всяко лечение пациентът винаги трябва да бъде попитан за актуалната стойност на HbA1c. По отношение на риска от заболяване трябва да се отбележи, че съществува двупосочна връзка между пародонтита и захарния диабет (6). Рискът от заболяване при добре контролиран пациент с диабет се класифицира като умерен. Приоритет за оралното здраве при този пациент е пародонтитът. Понастоящем пациентът има стабилен пародонтит стадий II, степен В. Въз основа на тези резултати рискът от прогресия и заболяване понастоящем може да се класифицира като умерен.
Препоръка за лечение въз основа на концепцията за индивидуална превенция

Това е пациент с добре контролиран диабет. Поради това, въз основа на медицинската история, няма повишен риск от усложнения, свързани с лечението. Стойността на HbA1c трябва винаги да се проверява преди всяко лечение.
Документирането на оралните резултати ще определи необходимостта от дентално и пародонтално лечение.
Документирането на пародонталните резултати, включително сондирането на дълбочината на джобовете и състоянието на кървене, е задължително по време на всеки дентален преглед поради наличието на пародонтит (фиг. 8). Така ще се регистрират индивидуалните терапевтични нужди и ще се улесни бързата реакция при евентуална прогресия на вече съществуващия пародонтит.

Подробните пародонтални резултати, включително документирането на дълбочината на джобовете, кървенето при сондиране, рецесиите, засягането на фуркациите и степента на разклащане, трябва да се изследват ежегодно.
Това ще осигури бърза реакция при евентуална прогресия на пародонталното заболяване. Прегледът на твърдата зъбна структура и кореновите повърхности също е задължителен, тъй като наличието на открити коренови повърхности увеличава риска от кариес.

Пациентът използва интердентални четки и електрическа четка за зъби и спазва добра орална хигиена у дома. Редовната мотивация и повторното обучение са задължителни поради риск от прогресия, особено по отношение на почистването на междузъбните пространства, тъй като в тези области е установена повишена дълбочина на сондиране. В лингвалната област на долната челюст има локализиран зъбен камък и мека плака и те трябва да бъдат показани на пациента. Може да се наложи да се провери и коригира размерът на интерденталните четки. Въз основа на наличието на открити коренови повърхности се препоръчва мека приставка на четката, за да се предотвратят клиновидни дефекти. Трябва да се използва паста за зъби с ниска абразивна стойност.
Допълнителните препоръки към пациента включват продължаване на употребата на флуорирана паста за зъби за домашна орална хигиена и използването на флуориден гел за намаляване на риска от кариес поради откритите коренови повърхности.
Използването на десенсибилизираща паста за зъби е препоръчително, ако пациентът изпитва чувствителност. В същото време пациентът трябва да бъде информиран, че чувствителността може временно да се повиши след профилактичния преглед поради откритите коренови повърхности и дентинови тубули (7).

Няма ограничения по отношение на избора на методи за измерване. Редовната супрагингивална и субгингивална инструментация е от съществено значение за предотвратяване на прогресията на заболяването поради вече съществуващия пародонтит и високия риск от рецидив. От общомедицинска гледна точка няма ограничения върху избора на инструменти за механично отстраняване на биофилм и отстраняването трябва да се извършва според нуждите. Твърдата и минерализирана плака, като зъбен камък и конкременти, трябва да се отстранява с помощта на ръчни инструменти или ултразвукови скалери (фиг. 9) (8, 9).

Отстраняването на супрагингивалния и субгингивалния биофилм е от съществено значение за стабилността на пародонталното състояние. За тази цел е подходящо въздушното полиране с нискоабразивна пудра. Пародонталните джобове и откритите коренови повърхности трябва да се почистват с нискоабразивни пудри. Използването на гъвкав паро накрайник се препоръчва при пациенти с повишена дълбочина на сондиране (по-дълбока от 5 mm) (фиг. 10). (9)

Дълбочина на джоба до 5 mm може да бъде овладяна и с помощта на конвенционално приспособление (9). Използването на система за въздушно полиране с нискоабразивна пудра се препоръчва и за ръбовете на възстановяването, интерденталните зони и фисурите. Ротационното полиране (фиг. 11) нежно изглажда зъбните повърхности, което от своя страна подпомага оптималния завършек на профилактичните прегледи и намалява повторната бактериална адхезия (10).


След почистването на зъбите е необходимо флуориране на откритите коренови повърхности с цел предотвратяване на кариес (11). Десенсибилизиращият лак може да се използва при пациенти с нарушения в чувствителността. Флуоридът също подпомага облекчаването на леко повишената чувствителност (12).

Критичните фактори за определяне на интервала на проследяване са съществуващият пародонтит (стадий II, степен В), както и рискът от прогресия, който е свързан с риска от кариес на корена (13). Поради това се препоръчва поддържаща терапия от 3 до 4 пъти годишно. С промяната на нуждите на пациента този интервал ще се коригира, за да се предотврати прекомерното или неадекватното лечение (14). Устойчивият успех на лечението е силно повлиян както от професионалните грижи, така и от спазването на правилата от страна на пациента, затова е важно още веднъж да се обсъди значението на мерките за лечение и да се отговори на всички въпроси на пациента. За поддържане на състоянието на пародонта и зъбите е необходимо добро инструктиране на пациента. Препоръчително е незабавно да се уговори следващото посещение за преглед. Това е полезно по две причини: позволява ефективно управление на системата за прегледи на пациенти за денталната практика и гарантира, че пациентът ще получи подходяща среща в точното време.
Заключение по случая
След задълбочено разглеждане на настоящия случай могат да се направят следните заключения.
- Въз основа на анамнезата пациентът има добре контролиран захарен диабет. Настоящата стойност на HbA1c и начина на живот на пациента не налагат специално адаптиране на процедурата за профилактика като част от МПК. Рискът от усложнения по време на лечението се класифицира като нисък.
- По отношение на риска от заболяване трябва да се отбележи, че съществува двупосочна връзка между пародонтита и захарния диабет. Рискът от заболяване при добре контролиран пациент с диабет се класифицира като умерен.
- Проверката на дълбочината на сондиране и резултатите от кървене са задължителни по време на всяка среща. Те ще покажат необходимите индивидуални терапевтични мерки. Препоръчва се подробен годишен преглед на пародонталния статус (дълбочини на сондиране и ВОН, загуба на прикрепване и находки на фуркации). Ако е необходимо, концепцията за лечение трябва да се коригира или промени.
- Пациентът демонстрира благоприятна хигиенна грижа вкъщи. Всички пропуски по отношение на оралната хигиена трябва да бъдат обяснени и демонстрирани на пациента. Необходими са допълнителни инструкции и корекции.
- Пациентът се нуждае от периодично, професионално и съобразено с нуждите проследяване на състоянието на пародонта, поради съществуващия вече пародонтит (стадий II, степен В). Особено внимание трябва да се обърне на щателното почистване на по-дълбоките (остатъчни) джобове и междузъбните пространства.
- Поради откритите коренови повърхности са необходими и допълнителни терапевтични мерки, като например прилагане на флуорид.
- Препоръчва се близък интервал на проследяване от 3 до 4 месеца, за да се поддържа текущото орално състояние поради риск от прогресия и ново заболяване.
Източници
- Bansal M, Rastogi S, Vineeth NS. Influence of periodontal disease on systemic disease: inversion of a paradigm: a review. Journal of medicine and life. 2013;6(2):126-30
- WHO. Oral Health [Fact sheet]. WHO International Newsroom2020 [cited 2020 25.03.2020]. Available from: https://www.who.int/news-room/factsheets/detail/oral-health.
- Schmalz G., Ziebolz D., Individualisierte Prävention-ein patientenorientiertes Präventionskonzept für die zahnärztliche Praxis, ZWR- Das deutsche Zahnärzteblatt 2020;129;147-156
- Schmalz G., Ziebolz D., Individualisierte Prävention-fallorientierte Bedarfsprävention, ZWR- Das deutsche Zahnärzteblatt 2020;129;33-41
- Papapanou PN, Sanz M, Buduneli N, Dietrich T, Feres M, Fine DH, et al. Periodontitis: Consensus report of workgroup 2 of the 2017 World Workshop on the Classification of Periodontal and Peri-Implant Diseases and Conditions. J Periodontol. 2018;89 Suppl 1:S173-S82.
- Preshaw, P. M.; Alba, A. L.; Herrera, D.; Jepsen, S.; Konstantinidis, A.; Makrilakis, K.; Taylor, R. Periodontitis and diabetes: a two-way relationship: Diabetologia. 2012; 55 (1): 21-31
- Bordoloi P, Ramesh A, Thomas B, Bhandary R. Epidemiological survey of dentinal hypersensitivity after oral prophylaxis. J Cont Med A Dent. 2018;6(1).
- Graetz C, Seidel M. Mechanische Biofilmentfernung: Was, womit und wie funktioniert´s? Plaque N Care [Internet]. 2020. Available from: https://www.pncaktuell.de/prophylaxe/story/mechanische-biofilmentfernung-was-womit-undwie-funktionierts__8637.html
- Cobb CM, Daubert DM, Davis K, Deming J, Flemmig TF, Pattison A, Roulet JF, Stambaugh RV. Consensus Conference Findings on Supragingival and Subgingival Air Polishing. Compend Contin Educ Dent. 2017 Feb;38(2):e1-e4.
- Wang C, Zhao Y, Zheng S, Xue J, Zhou J, Tang Y, et al. Effect of enamel morphology on nanoscale adhesion forces of streptococcal bacteria: An AFM study. Scanning. 2015;37(5):313-21
- Macri D. Implementing a multifaceted approach to caries prevention. Dimensions of Dental Hygiene. 2018;16(5):21-2, 4-5.
- Schmalz G, Ziebolz D. Individualisierte Prävention – fallorientierte Bedarfsadaptation. ZWR. 2020;129(01/02):33-41.
- Prabhu A, Nalawade KP, Balasubamanian K, Sampat P, Rohra S, Sheth D. Dentine Hypersensitivity: A review. International Journal of Scientific Research. 2017;6(7).
- Sanz M, Baumer A, Buduneli N, Dommisch H, Farina R, Kononen E, et al. Effect of professional mechanical plaque removal on secondary prevention of periodontitis and the complications of gingival and periodontal preventive measures: consensus report of group 4 of the 11th European Workshop on Periodontology on effective prevention of periodontal and peri-implant diseases. J Clin Periodontol. 2015;42 Suppl 16:S214-20.
коментара