28-годишен пушач с ерозия на зъбите
Въведение
Двупосочната връзка между здравето на устната кухина и общото медицинско състояние е добре известна. Вече не е достатъчно да се разглеждат оралните заболявания изолирано. За да се създаде персонализиран, специфичен за всеки случай пациентски профил за профилактика, е необходимо да се снеме подробна анамнеза и да се извърши старателно изследване на общото медицинско и орално здраве, както и да се разгледат двете в комбинация (фиг. 1). (1-3)

Внимателното разглеждане на индивидуалните параметри на пациента улеснява създаването на рисков профил, който оптимално подпомага поддържането на добро здраве и качество на живот на пациента. Освен това, осигурява на лекарите по дентална медицина сигурност при планирането.
Това представяне на случая подчертава полезността от систематична, индивидуална концепция за превенция при създаването на профил на пациента за конкретния случай и прилагането на произтичащите от него лечебни мерки.
Медицинска история
Обект на следващия случай е 28-годишен пациент. Според собствения му разказ пациентът е бил състезателен спортист в младежките си години. Той заявява, че през деня е изпивал до 3-4 литра изотонични напитки. От около една година е спрял да ги приема. Вместо това сега пие вода и черен чай.
Общата медицинска анамнеза не разкрива основни заболявания. Съобщава, че през пролетта страда от сенна хрема и при нужда приема сезонно антихистамини. Пациентът не страда от астма. Въпреки това през последните осем години той пуши до 10 цигари на ден.
Пациентът мие зъбите си два пъти дневно с електрическа четка за зъби и използва интердентални четки веднъж дневно. Приоритет за него е поддържането на добро дентално здраве. Той се подлага на превантивна последваща грижа и посещава практиката три пъти годишно.



Екстраорални и интраорални резултати
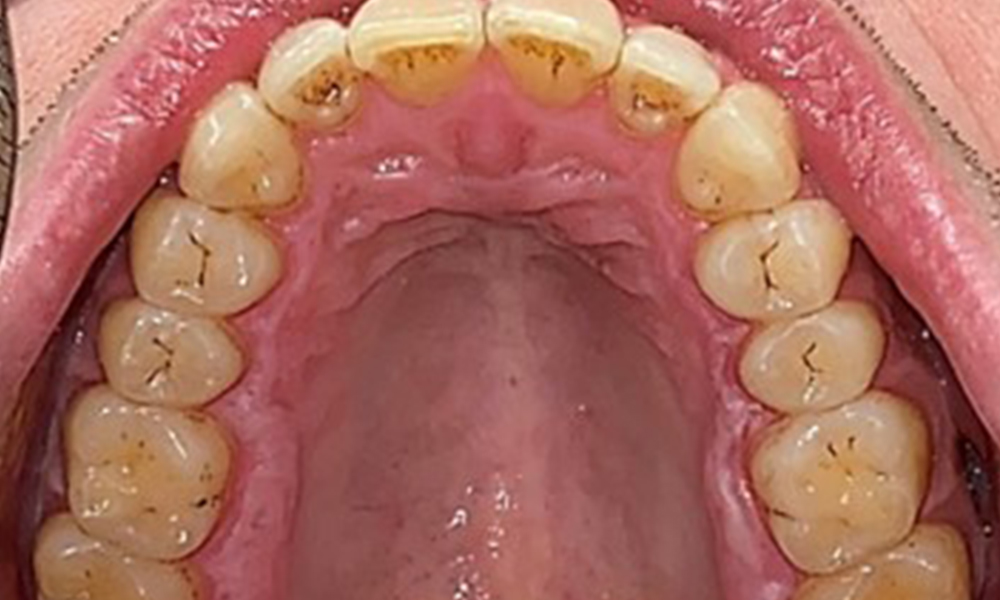
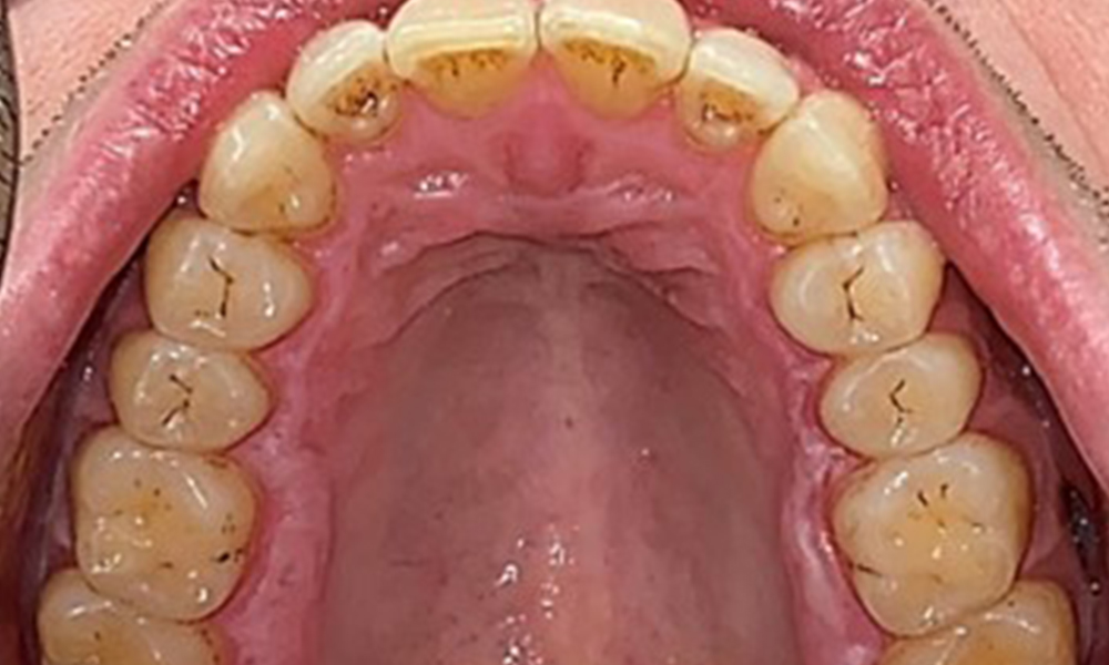
Няма патологични екстраорални резултати. По време на интраоралния преглед се установи кафеникаво оцветяване в близост до кератинизираната гингива и при прехода към подвижната лигавица (фиг. 2), което може да се отдаде на консумацията на никотин. В областта на небцето, особено в близост до небцовите повърхности на максиларните молари, се наблюдават белезникави лезии на лигавицата, които показват повишена кератинизация и също могат да се припишат на консумацията на никотин. Езикът е покрит с бяло-кафеникаво покритие, което може да се отстрани.
Дентални резултати
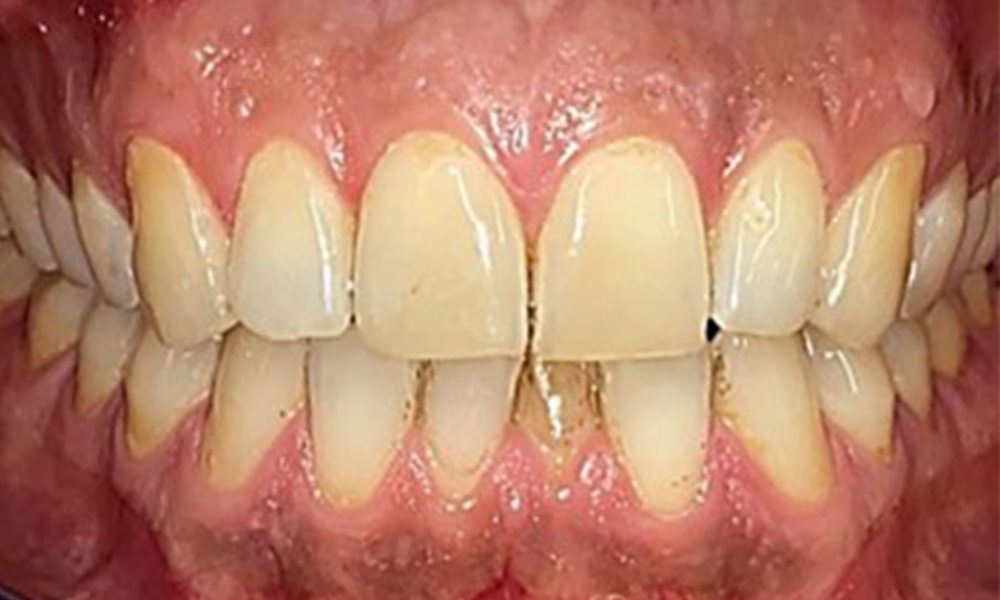
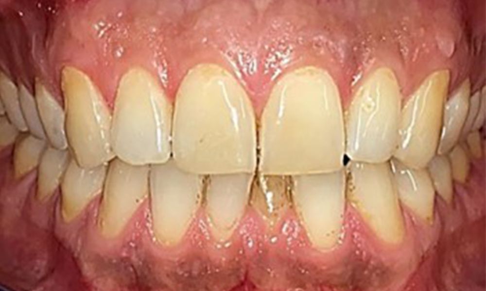
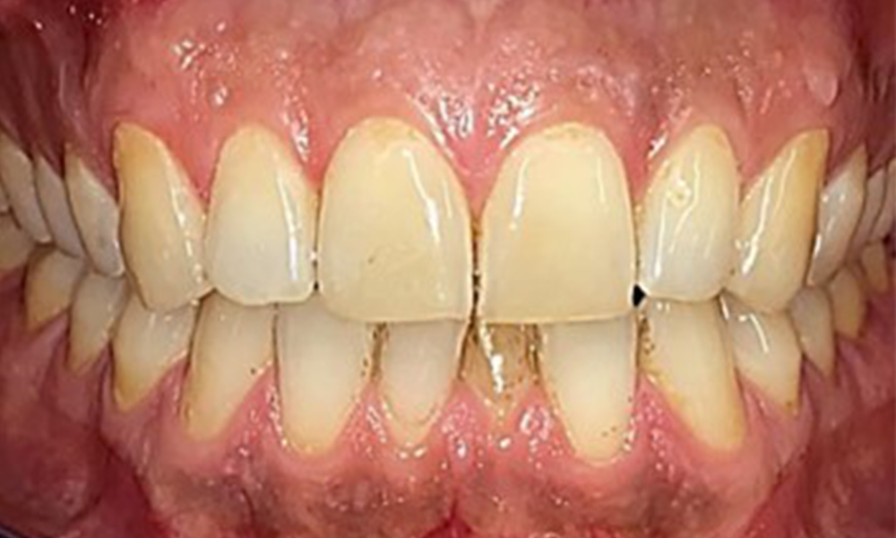
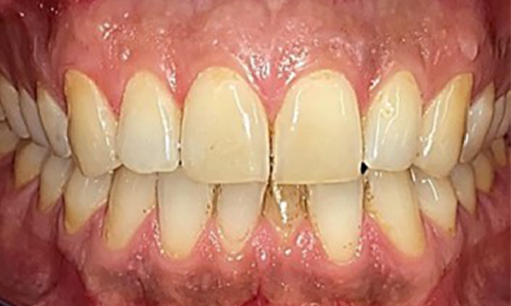
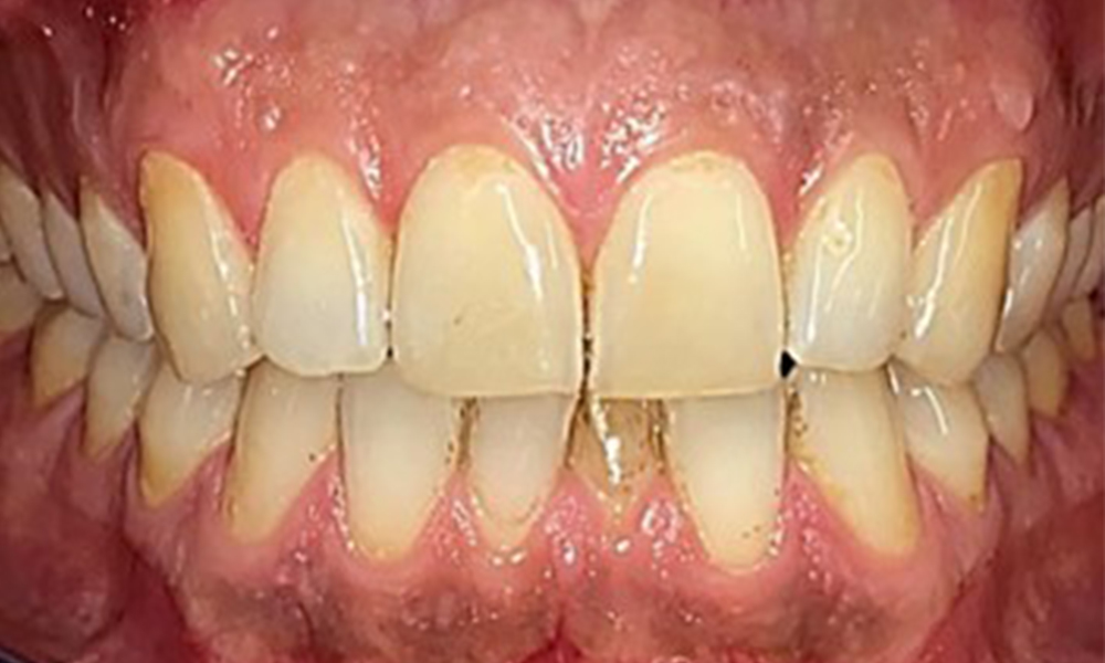
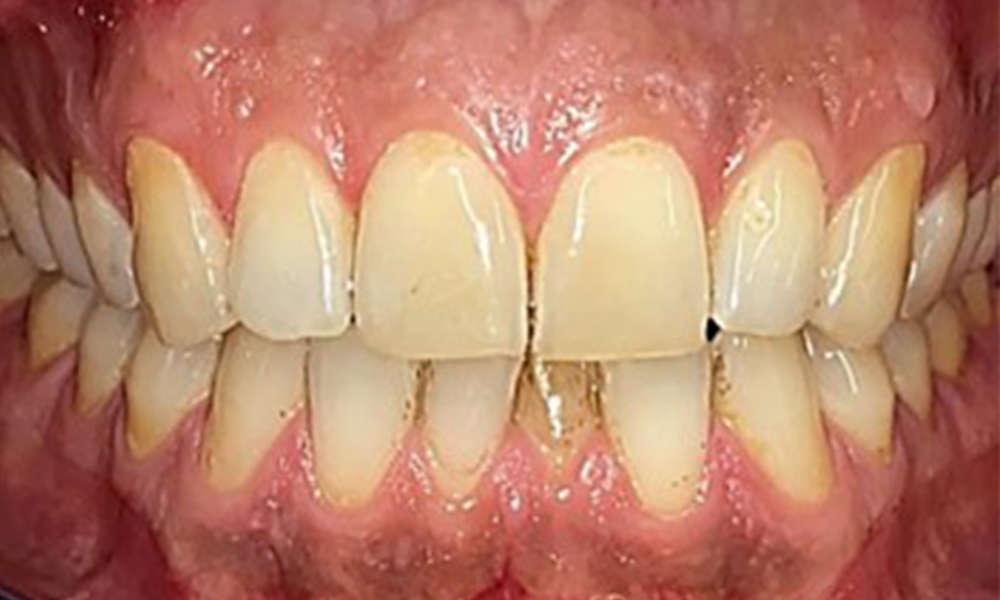
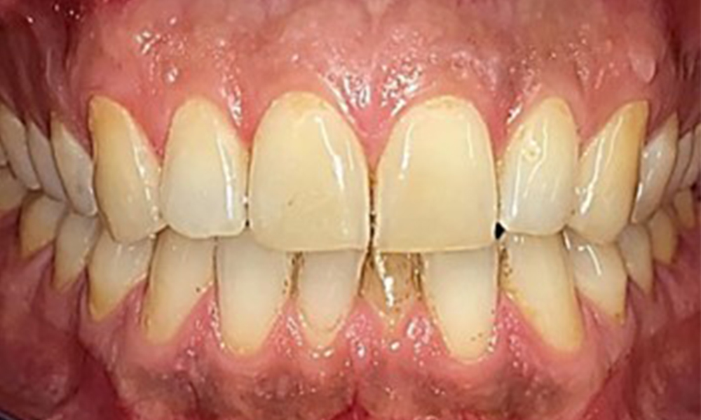
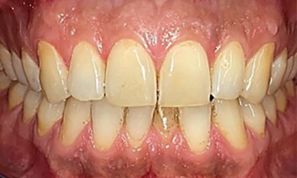
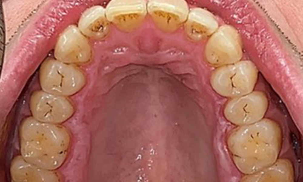
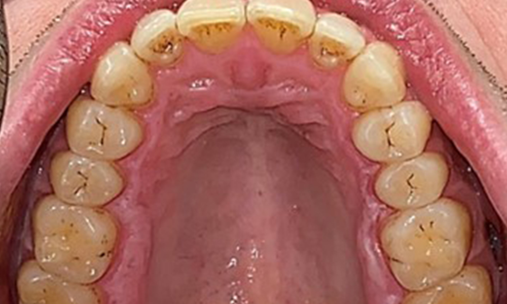
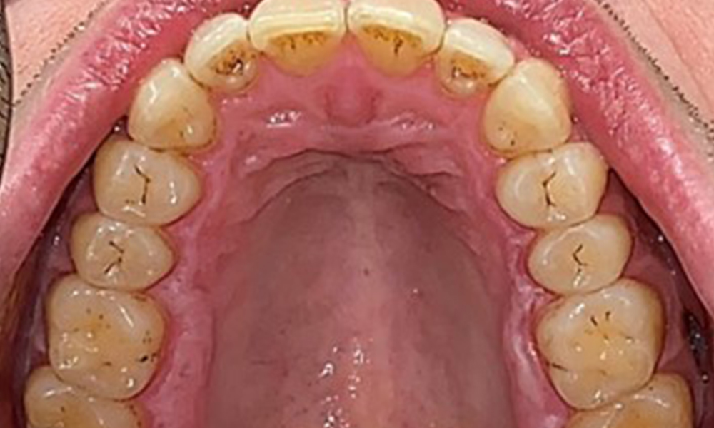
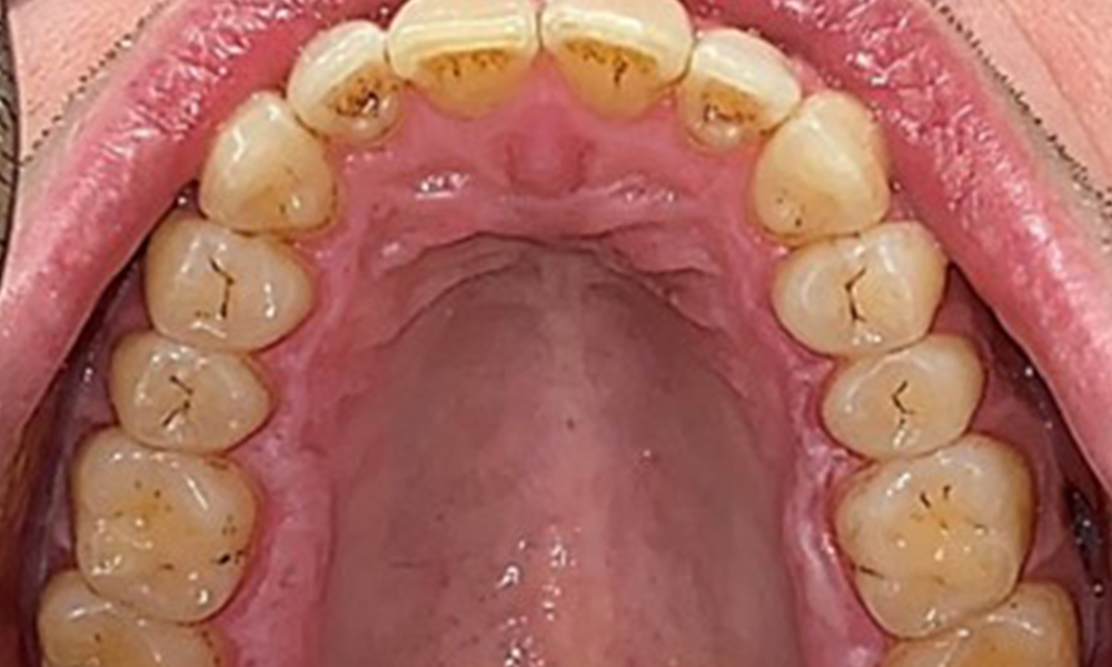
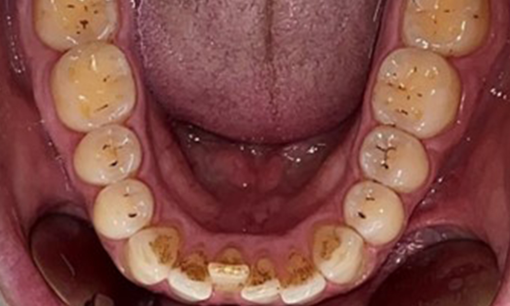
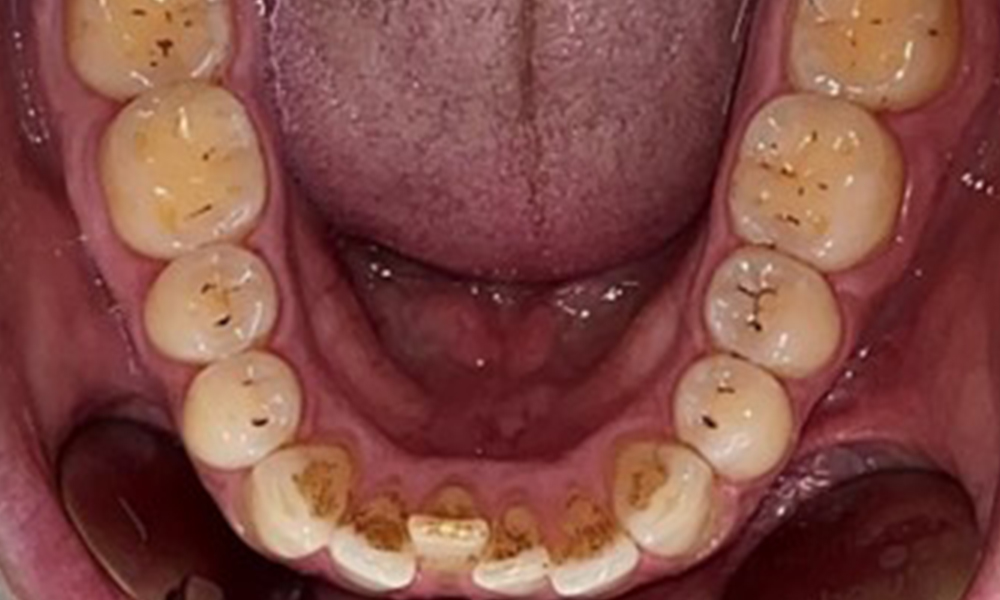
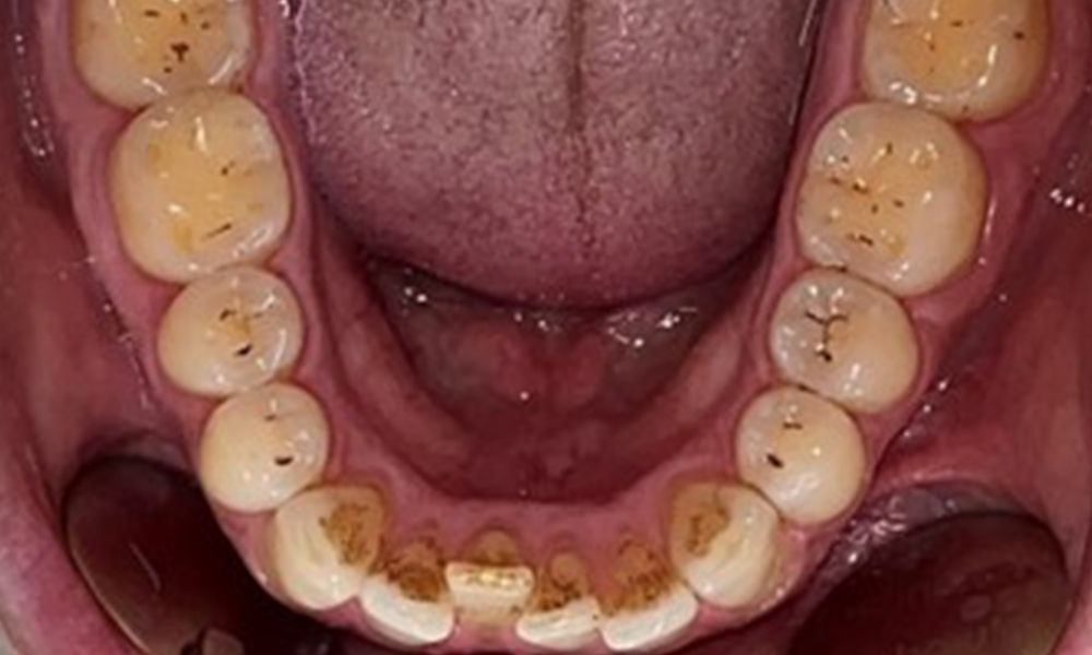
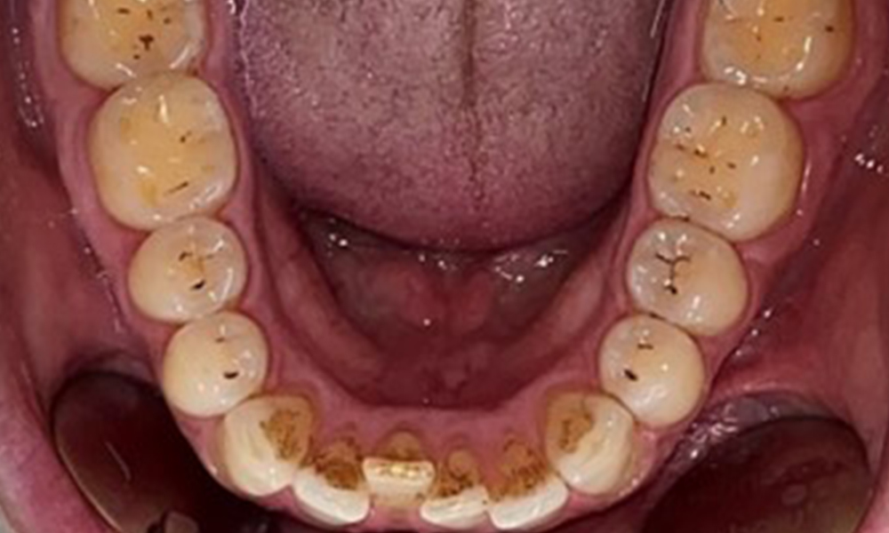
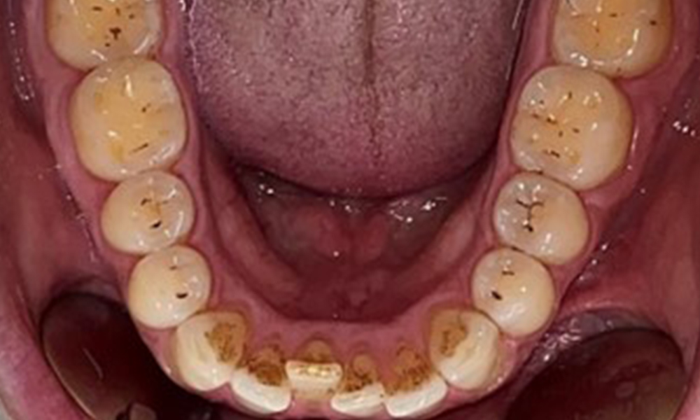
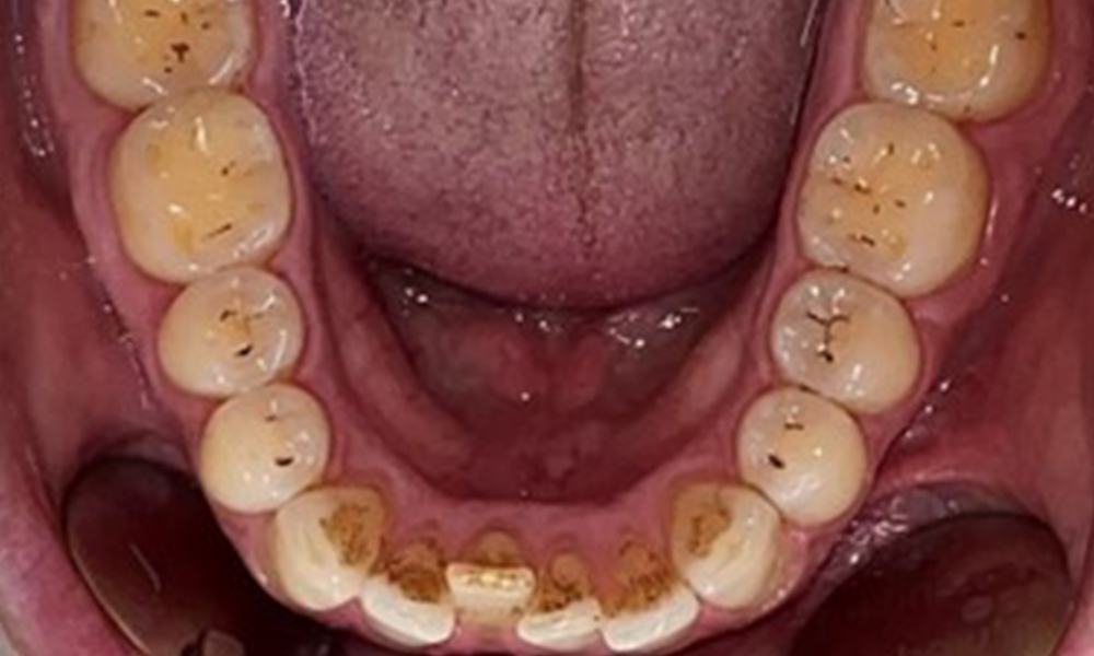
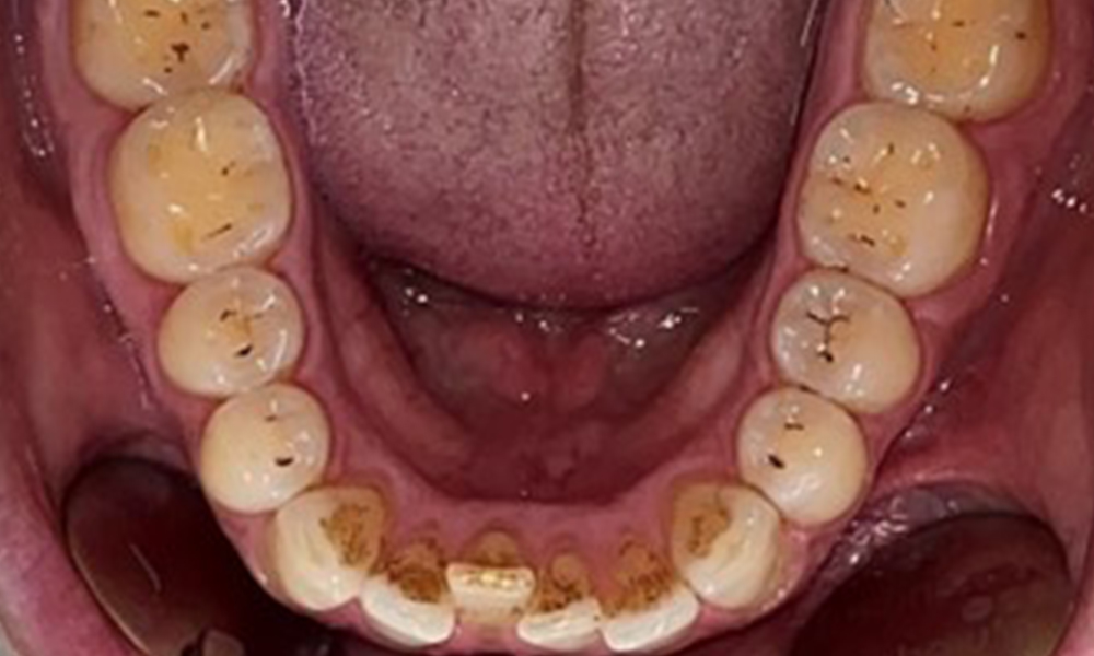
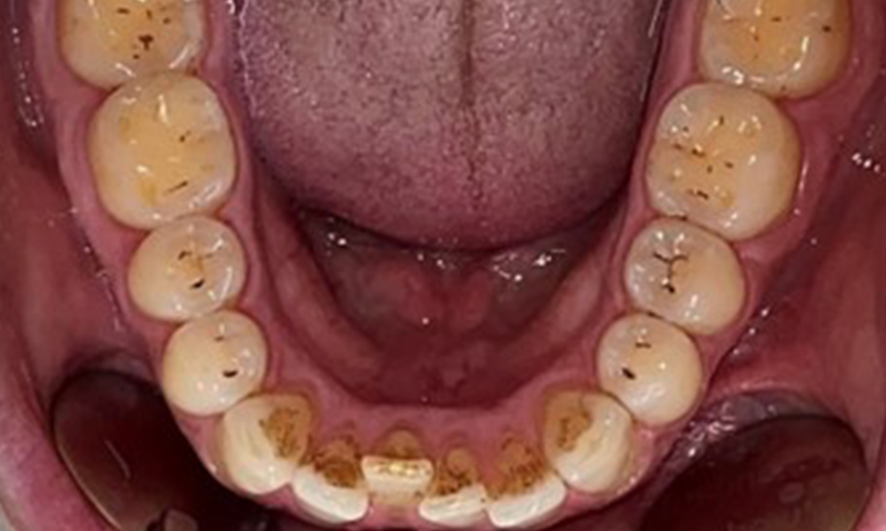
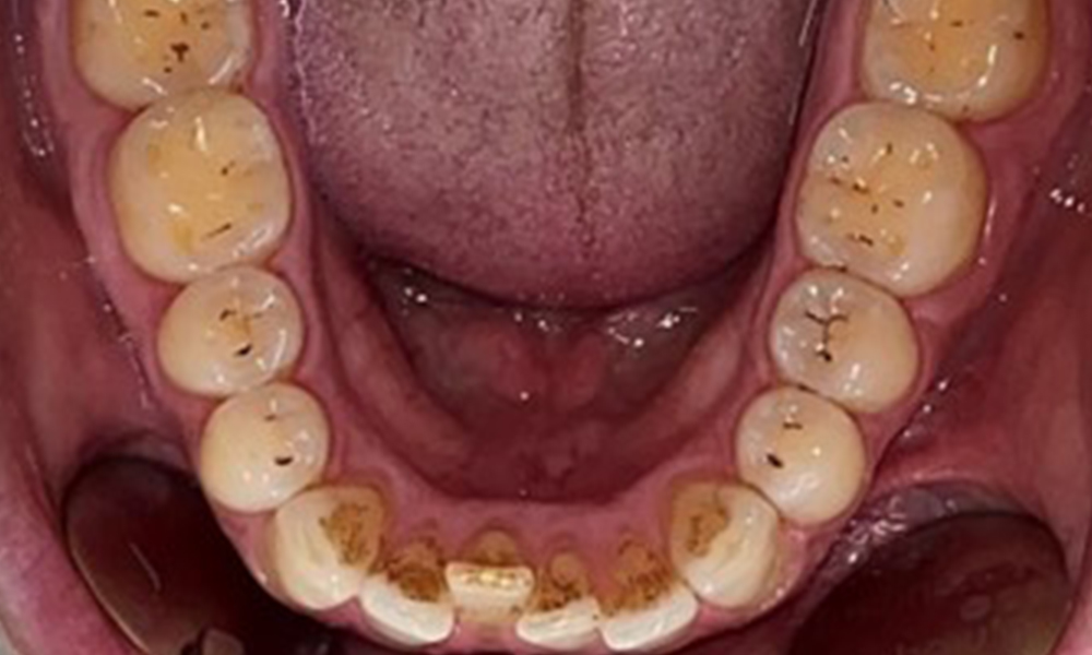
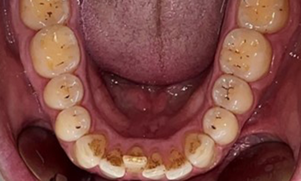
Пациентът има пълно съзъбие с общо 28 зъба. Налице са забележими ерозии и атриции. (Фиг. 4, Фиг. 5). Поради бруксизъм пациентът е носил шина с коригиран блок на захапката през нощта в продължение на много години. Ерозиите са причинени от продължителна консумация на изотонични напитки. Не сe наблюдава загуба на пародонтална кост или активни кариозни лезии.
Пародонтални резултати
Клиничните дълбочини на сондиране от 1 до 3 мм са във физиологичния диапазон. От 13 до 16 и от 23 до 27 се наблюдават максиларни рецесии до 1 mm. BOP е 15 %.

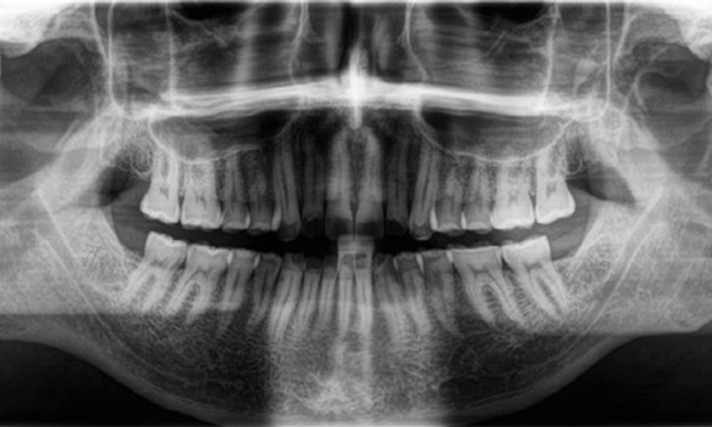
Рентгенологични резултати
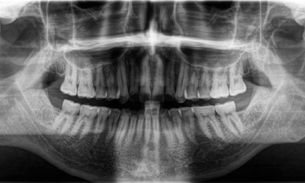
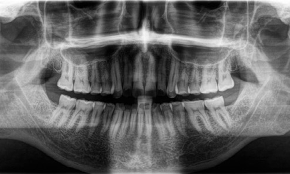
Наблюдава се пълноценно съзъбие на постоянните зъби без кариес или рентгенологично разпознаваема загуба на кост (фиг. 6). Рентгенологичната загуба на емайл и туберкул е особено видима при 36 и 37.

Препоръка за лечение въз основа на концепцията за индивидуална превенция
От решаващо значение е да се направи оценка на индивидуалния рисков профил на пациента преди започване на лечението. Профилът на пациента се определя от общата медицинска история и оралното здраве.
Въз основа на общата медицинска история рискът от усложнения по време на лечението се класифицира като нисък както за пациента, така и за денталния лекар. Понастоящем рискът от орално заболяване се класифицира като умерен поради това, че пациентът пуши до 10 цигари на ден. Тютюнопушенето е свързано с повишен риск от пародонтит (4) и от развитие на канцерогенни тумори.
От гледна точка на оралното здраве рискът от прогресия на заболяването, влошаване на състоянието на устната кухина или потенциално развитие на пародонтално заболяване се класифицира като умерен. Тютюнопушенето също е решаващ фактор в това отношение. Добрата домашна орална хигиена, съчетана с последователни, периодични, професионални посещения в денталната практика и мотивацията са от решаващо значение за поддържане на благоприятно орално състояние.
Препоръка за лечение въз основа на индивидуална концепцията за превенция

Пациентът е изложен на умерен риск от настоящи и бъдещи орални заболявания въз основа на статуса си на пушач.
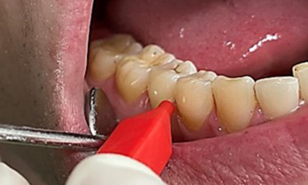
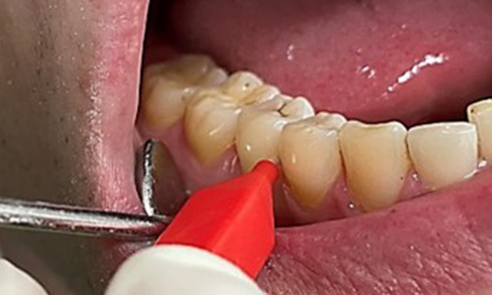
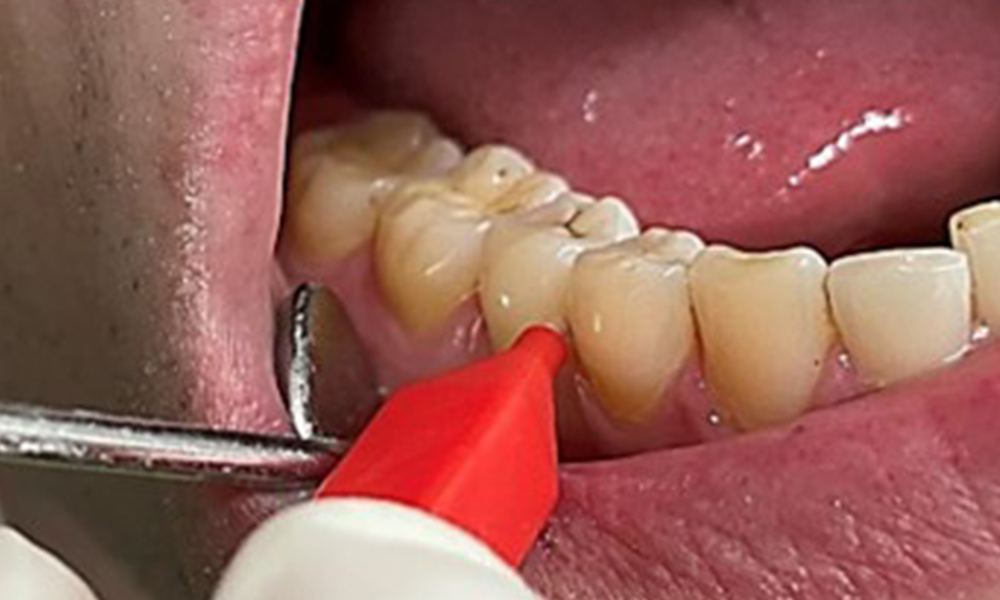
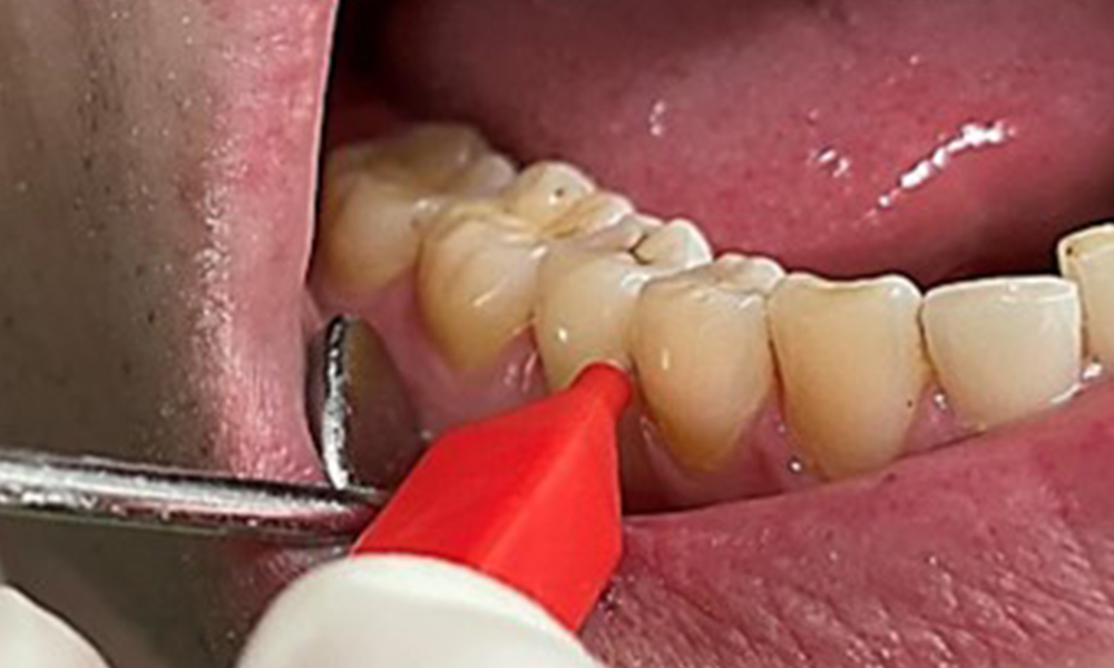
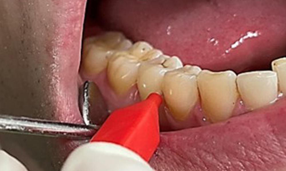
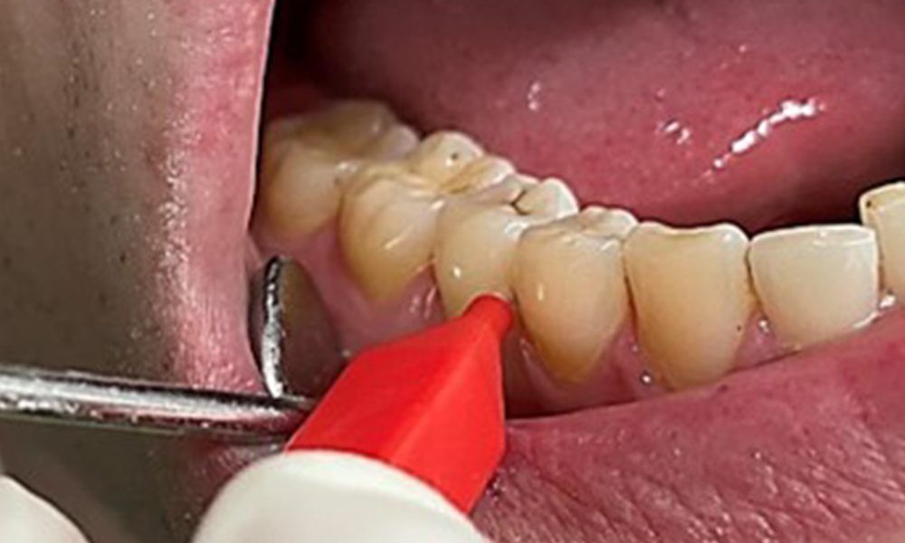
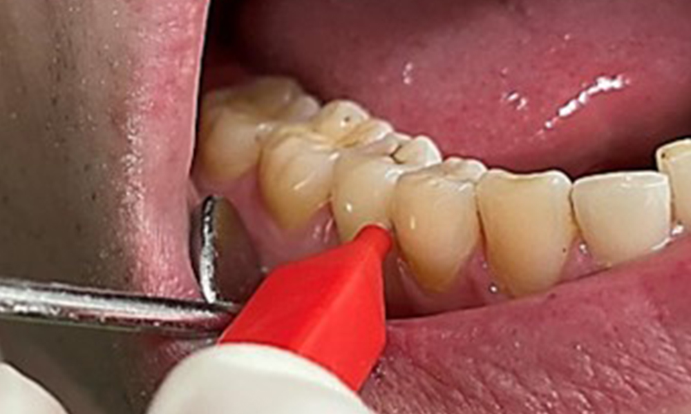
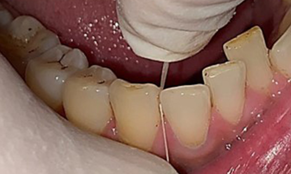
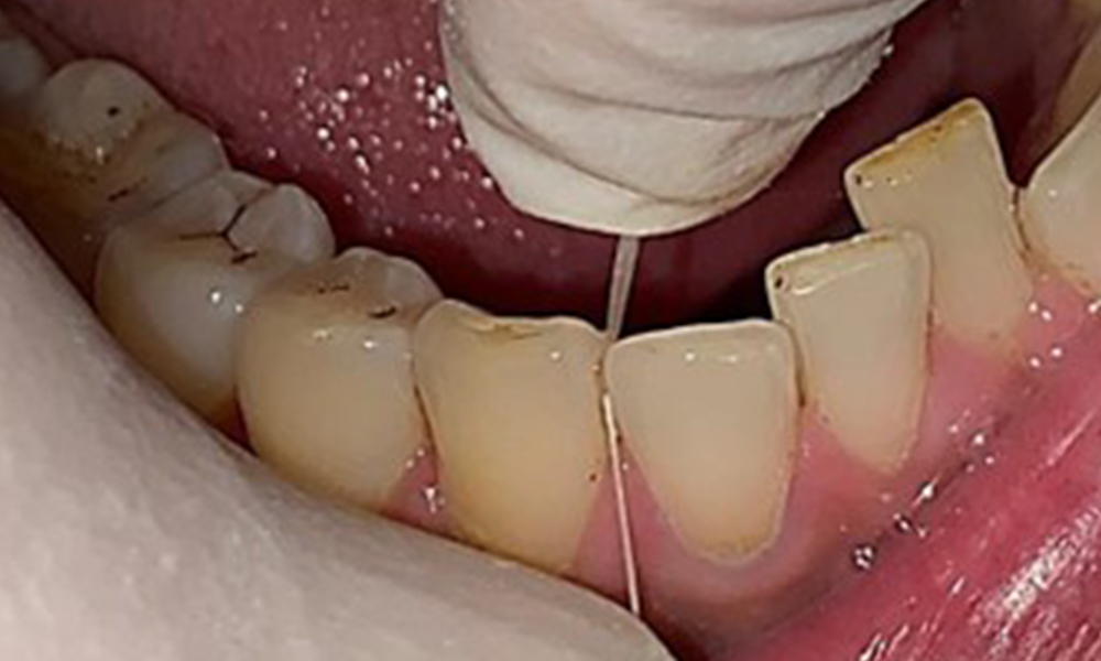
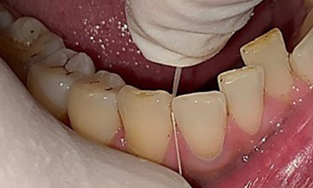
Поради иначе благоприятното общо медицинско състояние, нуждите, определени по време на оралния преглед, ще бъдат решаващи за лечението. От съществено значение ще бъде периодичното определяне на дълбочината на сондиране. Гингивалното кървене намалява при пушачите, поради което клиничната диагноза на пародонтита може да се постави само чрез сондиране (фиг. 7). Поставянето на изключителен акцент върху определянето на индексите на кървене може да замъгли съществуващ пародонтит или гингивит. (5)

Състоянието на пародонта трябва да се изследва обстойно веднъж годишно. Откриването на плака с помощта на оцветяващ агент може да бъде източник на мотивация. Оценката на оралните находки, букалните повърхности и лингвалната лигавица са особено важни при пушачите, тъй като ще улеснят откриването на всякакви патологични промени в ранен стадий (6). Фотодокументацията позволява да се оцени развитието на потенциални патологични промени на лигавицата с течение на времето. Може да се наложи насочване към специалист за получаване и изследване на тъканни проби. Образните процедури също така подпомагат мотивацията на пациента. Те могат да позволят да се подчертаят подобренията в хода на следващите профилактични посещения при зъболекаря.

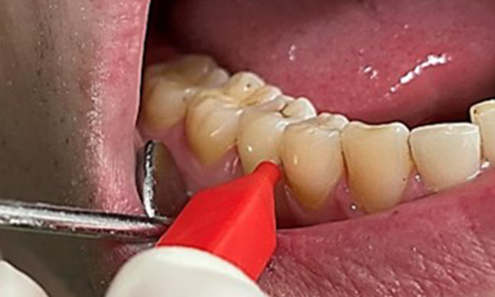
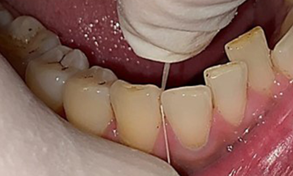
Инструкциите и мотивацията са важни компоненти на тези срещи. Доброто поведение и разбиране на оралната хигиена в домашни условия са важни за пациентите. Натрупването на зъбна плака е особено видимо в цервикалните области (фиг. 8).

Те трябва да се обсъдят с пациента и да се подобри техниката на миене на зъбите. За домашна орална хигиена се препоръчва използването на мека четка поради наличието на ерозии и атриуси.
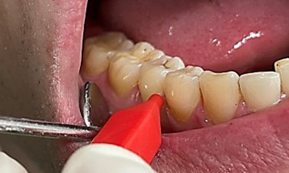
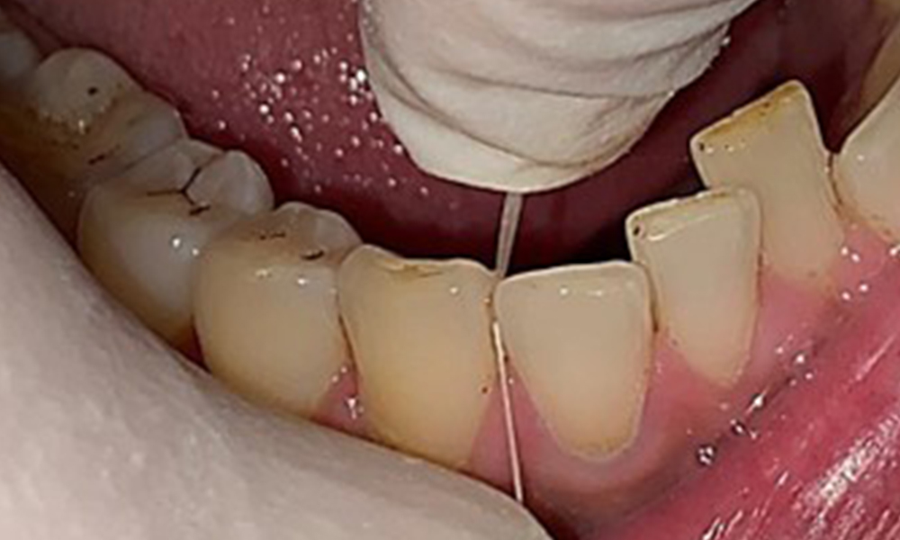
Необходимо е също така да се провери дали интерденталните четки, които пациентът използва ежедневно са с правилен размер и пациентът трябва да бъде насърчаван да ги използва последователно (фиг. 9). Добрата орална хигиена свежда до минимум риска от пародонтит вследствие на тютюнопушенето. (фиг. 9).

Пациентът трябва да бъде насърчаван да почиства и езика, за да се премахнат никотиновите отлагания и бактериалната плака и евентуално да се избегне последваща халитоза.
Очевидно е, че значително внимание трябва да се обърне и на осигуряването на подкрепа и мотивационни съвети по отношение на желаната поведенческа промяна за отказване от тютюнопушене.

Няма ограничения за използването на инструментариум по време на лечението поради здравословното общо медицинско състояние на пациента. Може да се наложи да попитате пациента дали дишането му е затруднено по време на алергичните фази. В настоящия случай трябва да се обмисли използването на система за полиране с въздух.
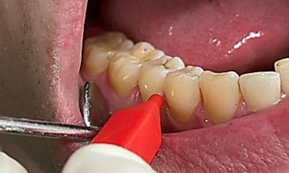
Целта е да се контролира рискът от заболяване чрез отстраняване на супрагингивалния и субгингивалния биофилм. Инструментите трябва да бъдат подбрани въз основа на нуждите на пациента. Първо трябва да се отстранят зъбният камък и всички конкременти с помощта на ултразвукови и/или ръчни инструменти (фиг. 10).

Оцветяването, причинено от консумацията на никотин и чай, може да се отстрани лесно с помощта на система за въздушно полиране (фиг. 11).

Когато се използва по-абразивна пудра е важно да се работи от цервикална към коронарна посока и никога накрайникът да не се насочва към гингивата, за да се предотврати потенциален емфизем. Доброто засмукване от контралатералната страна е от съществено значение за намаляване на образуването на аерозол (фиг. 12).

Допълнителният биофилм може да бъде отстранен с помощта на нискоабразивни глицинови пудри. Повторното полиране е от съществено значение след използването на по-абразивна пудра (фиг. 13).
Подходящите полиращи пасти, съдържащи различни съставки и със съответните щадящи стойности на RDA, ще запечатат и изгладят неравностите по повърхността на зъба, без да премахват цялостно зъбна субстанция. Те също така намаляват естествените и изкуствените колонизационни ниши, в които може да възникне повторна бактериална адхезия (7). Съставките на тези полиращи пасти също могат да подпомогнат лечението: флуорид, цинкови съединения и етерични масла, които спомагат за намаляване на свръхчувствителността, халитозата и предотвратяват кариеси.

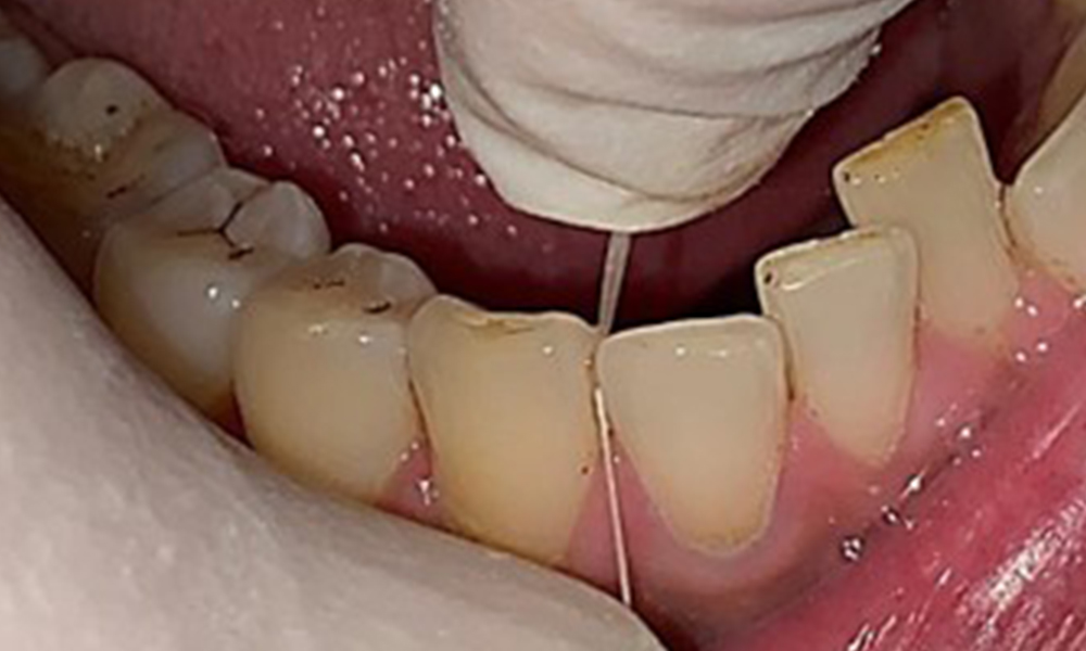
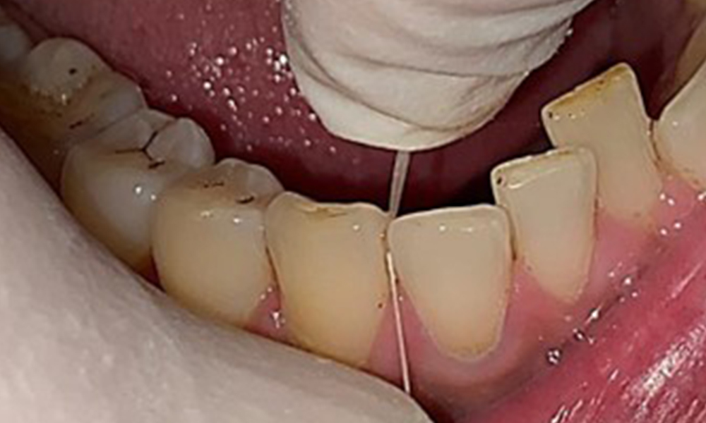
Почистването на междузъбните пространства с подходящи четки или конци за премахване на биофилм по време на посещението при зъболекар е задължително (фиг. 14).

Необходимо е да почиствате и езика, за да отстраните богатата на бактерии обвивка на езика, както и петната, получени от консумацията на чай и никотин (фиг. 15). Използването на гел за език е разумно в този случай, тъй като обикновено съдържа съединения на цинк и калай, които имат антибактериално действие.


Флуорирането на откритите коренови повърхности и ерозии се препоръчва като допълнителна мярка за предотвратяване на кариеси. Препоръчва се повишено внимание при пациенти с открити зъбни шийки при избора на флуориране. В идеалния случай денталните лекари трябва да избират флуориране с неутрална стойност на рН.
По-нататъшните стъпки включват продължителна употреба на флуорирана паста за зъби за орална хигиена в домашни условия и допълнителна употреба на флуориден гел. Флуоридът насърчава реминерализацията и допринася за десенсибилизацията на открития дентин.
Трябва да се използва нискоабразивна паста за зъби, за да се избегне насърчаване на по-нататъшна загубата на емайл.

При планирането на интервалите за проследяване трябва да се вземат предвид оралното здраве, начинът на живот и общата медицинска история. Пациентът е класифициран в "Рисков профил 3: навици на живот" поради тютюнопушене. Поради консумацията на 10 цигари дневно той е на границата между умерения и повишения риск от заболяване. Това означава, че той трябва да се явява на проследяване на интервали от 2 до 3 пъти годишно. С промяната на нуждите на пациента този интервал ще бъде коригиран, за да се предотврати прекомерно или неадекватно лечение. Целта е да се предотврати по-нататъшната загуба на зъбна структура и да се мотивира да намали тютюнопушенето или в идеалния случай да спре да пуши напълно.
Предоставянето на добри насоки е решаващ фактор за постигане на траен успех за здравето на пациента. Силно се препоръчва незабавно да се насрочи следващ преглед в денталната практика.
Обобщение
- Анамнезата показва, че пациентът е с нисък риск от усложнения, така че сега няма нищо специално по отношение на поддържащата терапия нито за пациента, нито за лекаря по дентална медицина.
- Рискът от поява на заболяване и от евентуално влошаване на оралното състояние се класифицира като умерен. Тютюнопушенето е решаващ фактор в това отношение.
- Важно е да се документират резултатите от контролния преглед. По време на всяка среща трябва да се определя статусът на кървене при сондиране (BOP) за измерване на дълбочината на пародонталния джоб в ранните етапи на заболяването. Това е особено важно при пушачите поради намален приток на кръв към тъканите.
- Мотивирането на пациента да промени поведението си на пушач трябва да бъде приоритетно. От съществено значение е да се повтарят мотивационните изявления относно домашната орална хигиена. Това е важно за предотвратяване на потенциален пародонтит и кариозни лезии.
- Препоръчват се интервали на лечение от 4 до 6 месеца поради умерения риск от орално заболяване. Отстраняването на твърдата и меката плака е от съществено значение за поддържане на настоящото орално състояние. По-нататъшната загуба на твърда зъбна субстанция трябва да се избягва на всяка цена.
Източници
- Schmalz G., Ziebolz D., Individualisierte Prävention-ein patientenorientiertes Präventionskonzept für die zahnärztliche Praxis, ZWR- Das deutsche Zahnärzteblatt 2020;129;147-156
- Schmalz G., Ziebolz D., Individualisierte Prävention-fallorientierte Bedarfsprävention, ZWR- Das deutsche Zahnärzteblatt 2020;129;33-41
- Schmalz G., Ziebolz D., Individualisierte Prävention-Implikation allgemeingesundheitlicher Faktoren, ZWR- Das deutsche Zahnärzteblatt 2019;128;295-304
- Borojevic T. (2012). Smoking and periodontal disease. Materia socio-medica, 24(4), 274–276. https://doi.org/10.5455/msm.2012.24.274-276
- Ardais R, Mário Tde G, Boligon J, Kantorski KZ, Moreira CH. The effect of smoking on bleeding on probing after nonsurgical periodontal therapy: a quasi- experimental study. Braz Oral Res. 2014;28:1-7. doi: 10.1590/1807-3107bor- 2014.vol28.0058.
- 6 Reibel J. Tobacco and oral diseases. Update on the evidence, with recommendations. Medical principles and practice: international journal of the Kuwait University, Health Science Centre, 12 Suppl 1, 22–32. (2003). https://doi.org/10.1159/000069845
- Wang C, Zhao Y, Zheng S, Xue J, Zhou J, Tang Y, et al. Effect of enamel morphology on nanoscale adhesion forces of streptococcal bacteria: An AFM study. Scanning. 2015;37(5):313-21
коментара