Доклади & Изследвания

Употребата на озон в стоматологията: Част 2

Нека представим успешното лечение на напреднал случай на дълбок маргинален пародонтит във фронтален участник на горната челюст при 42-годишна жена с локално прилагане на озон чрез апарата за озонотерапия Prozone на W&H. Д-р Svea Baumgarten, лекар по дентална медицина, акредитиран имплантолог, споделя нейния опит при озонолечението.

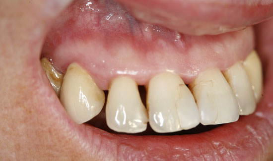
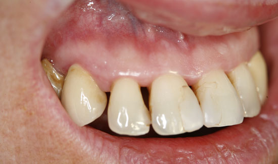
Пациентката постъпи в нашата практика, интересувайки се запазването на предните си зъби на горната челюст, които страдат от хроничен пародонтит. Открихме повсеместно образувани джобове (> 10 mm), спонтанно кървене и степен на мобилност на 2/3 от зъбите т.е. зъбите бяха за екстрахиране. Като временно решение (денят беше национален празник), докато възстановяването може да се осъществи, ние предложихме локално лечение с озон.

Като източник на озон, използвахме апаратът за озонотерапия Prozone, който с помощта на прикачените пластмасови накрайници направи възможно вкарването на озон в джобовете по безболезнен начин. Локалното приложение на озона се повтори 3 пъти на интервал от една седмица. Пациентката също така беше наясно с необходимите хигиенни мерки. Бяхме в състояние не само да спрем кървенето, но също така да запазим едно по-стабилно ниво (2) на мобилност на зъбите и да намалим съществено дълбочина на джобовете.

Документиране на случая

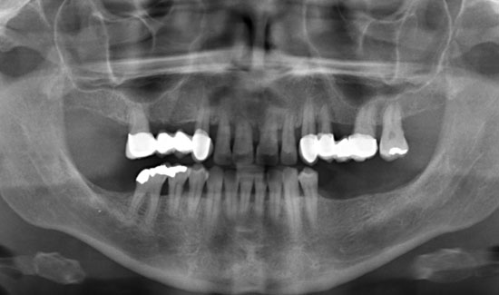
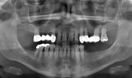
Фиг. 1: Панорамна рентгенова снимка
Фиг. 3: Състояние след терапията с озон. Хлорхексидиново оцветяване на зъбите
Фиг. 2: Клиничен аспект на зоната 1-2, образуване на мехурчета по възпалената тъкан. Непрекъснато всмукване в близост до зоната на употреба.
Фиг. 4: Апарат за озонотерапия Prozone

Успешно лечение с Prozone

Апаратът за озонотерапия Prozone от W&H се характеризира с лесна употреба и безопасност на прилагане (предварително зададени тъканно съвместими дози при обозначаването на области на пародонтит и ендодонтски заболявания). Prozone осигурява хигиенна прицедура по време на третирането на джобовете, благодарение на своите сменяеми пластмасови накрайници (Перио-накрайник или Ендо-накрайник). Не е задължително да се усеща болка по време на лечението, тъй като озонът проявява болкоуспокояващи свойства.

Прилагането на озона може да се използва като допълнително лечение заедно с други установени методи или монотерапия за лечение на пародонтит. Как можем да разберем какъв е ефектът на озона? Когато е разтворен във водна среда (интерстициална течност), озонът понижава нивото на микробното замърсяване и намалява органичния материал. Той улеснява заздравяването на раните чрез дезинфекция, както и чрез въвеждане на положителни биофизични механизми в тъканите (повишава защитата срещу радикали, подобрява природния имунитет, увеличава синтеза и освобождаването на растежните фактори, подобрява микроциркулацията, повишава кислородното натоварване на еритроцитите, ускорява епителната регенерация). Озонът, разтворен във вода, е удивително биосъвместим и по-малко цитотоксичен за орални клетки от други установени дезинфектанти (напр. натриев хипохлорид).

В допълнение, озонът е ефективно обеззаразяващо средство (вж. Oizumi et al.9) за подвижни протези. 90% от стрептококите (С. mutans) и стафилококите (С. aureus) са инактивирани в рамките на 1 минута и след експозиция от 3 минути не бяха открити повече патогенни бактерии.Това е забележителен дезинфекционен ефект, имайки предвид, че 1 ррм озон във въздуха (1 мл озон / литър), съдържа само една стотна от пет броя молекули, в сравнение с концентрация на озон във вода (1 ррм озон = 1 мг / литър вода). Ефективността на озона зависи от относителната влажност на въздуха: колкото повече влага има във въздуха, толкова по-силен е ефектът от озона (радикални реакции във вода).

Преглед Част 3

В следващата част на информационния бюлетин на W&H (Декември 2009) ще бъде представено
клиничното приложение на озона в случаите на кариес и имплантология.


Източници: Dr. Svea Baumgarten, M Sc, Bürgerweide 36, 20535 Hamburg, Tel.: (0049)40-259303, Fax No.: 040-27145679; svea.baumgarten@t-online.de.

Библиография: Моля открийте пълния клиничен доклад, който може да бъде свален в дясно на тази страница.

коментара