Ендо-периодонтално лечение на зъб с апарати за пиезохирургия и имплантология
Селективна работа с пиезоелектрически апарат и имплантологичен мотор
Доклад на д-р Рамон Бонинсеня и д-р Лука Боволато
Първа публикация в списание EDI 01/2017
Естествените зъби са ценен източник. Този научен доклад описва комплексния опит да се запази ендодонтски и периодонтално включен премолар като абатмънт – поне за близкото бъдеще, включвайки поставянето на два съседни импланта в комбинация с вътрешен синус лифт и аугментация. Пиезохирургичен апарат и имплантологичен микромотор са селективно използвани за тази мултидисциплинна операция.
Комбинираните ендо-перио лезии включват едновременно ендодонтската (свързана с пулпата) и периодонталната (свързана с надстройката) тъкани (Foce, 2009). Тяхната патогенеза е силно променлива и може да бъде идентифицирана единствено с усъвършенствана диагностика. Това включва неинвазивно и инвазивно тестване на виталността и задълбочено периодонтално сондиране, не на последно място, за да се изключи монокаузална етиология.
Когато липсата на витални признаци на пулпата и наличието на периодонтални джобове, предизвикани от биофилм сочат към комбинирана лезия, лечението, в много случаи, ще започне с ортоградна ендодонтия. Ако симптомите са упорити, периодонталната оценка трябва да се повтори и, ако е необходимо, да се инициира локална или систематична терапия. Успехът на ендодонтските и периодонталните мерки зависи в голяма степен от процедурите, фокусиращи се върху патогенния биофилм като основен етиологичен фактор (Nair, 1997, Hajishengallis and Lamont, 2012).
Когато водена тъканна регенерация е насочена към периодонталните дефекти с липсваща букална стена, комбинацията от графтен материал и мембрана показва най-добри резултати (Sculean et al., 2008). Въпреки това, в клиничния опит и в следствие на различни биологични причини, успехът е под въпрос, когато има голяма загуба на кост, която се разпростира до апекса на зъба.
Хоризонтално манипулиране на имплантното ложе
Когато има загуба на зъб, свързаните със зъба периодонтални структури, включващи части от алвеоларната кост, неизменно ще се резорбират и гребенът ще се наложи да бъде премоделиран (Tan et al., 2012). За да се намали тази необходимост, може да се съхрани гребена и, ако е възможно, да се постави мост, шиниран за зъба (Schlee and Esposito, 2009). Алтернативна опция е да се постави имплант, който евентуално да съхрани коста, благодарение на функционалното предаване на напрежението (Wolff, 1986, Wolff and Wessinghage, 1892).
Ако бъдещото имплантно ложе няма достатъчни размери на коста, може да се извърши едновременна или поетапна аугментация. Според един скорошен преглед, присаждането на костни блокове е най-честата процедура за поетапен подход, докато GBR е използван по-често при едновременния подход (Sanz-Sanchez et al., 2015). Ако дефектът е с малки размери, GBR е предпочитан метод, тъй като не се изисква допълнително хирургично поле за автоложна присадка.
Много клиницисти предпочитат продуктовата система GBR, състояща се от говежди костозаместващ материал със свинска резорбируема колагенова мембрана. Скоростта на резорбция на костозаместващия материал е ниска и мембраната е биосъвместима. На разположение е богата документация за двата продукта, използвани единично и в комбинация (Jensen et al., 2014, Retzepi and Donos, 2010).
Аугментация на синус
В задната част на челюстта, дефицитът на вертикална кост може да се компенсира чрез повдигане на синусния под. По-конкретно, ако са налични поне 4 mm от височината на остатъчната коста каудално на пода на синусната камера, вътрешният подход е успешен (Calin et al., 2014). Съгласно различни клинични доклади, рискът от перфорация може да бъде намален чрез използването на пиезоелектрическа система близо до Шнайдеровата мембрана (Zhen et al., 2012). Освен това, въз основа на сравнително изследване, пиезо апаратите причиняват по-малко дискомфорт на пациента по време на операция и увеличават удобството на оператора, в сравнение с остеотомите (Baldi et al., 2011).
По принцип, тези ползи се отнасят до процедури за външен синус лифт (Wallace et al., 2012). В текущия доклад, ендо-периодонталното съхранение на първи премолар на горна челюст е комбинирано с поставяне на имплант и едновременна аугментация, за да се възстанови максиларният квадрант в задната част. В следствие на променливата прогноза на зъба с функция на абатмънт, финалното възстановително планиране трябва да бъде отложено до след остеоинтеграцията на имплантите. Различните хирургични процедури са изпълнени с пиезохирургичен апарат или имплантологичен мотор.
Клиничен доклад

1. Д-р Лука Боволато
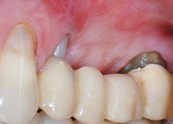
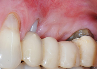
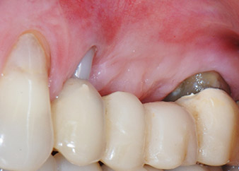
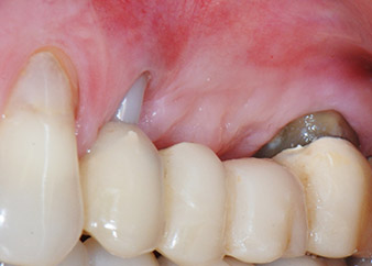
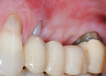
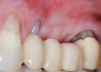
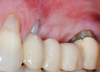
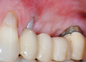
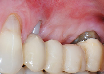
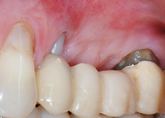
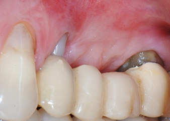
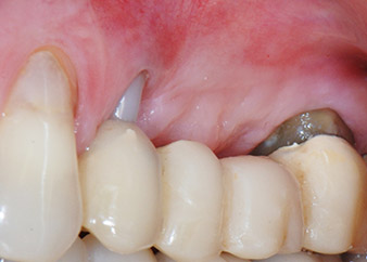
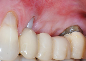
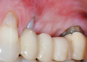
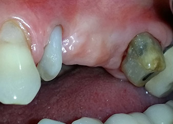
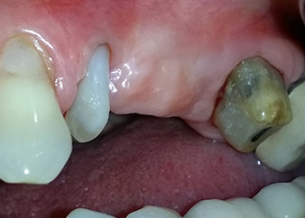
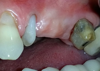
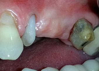
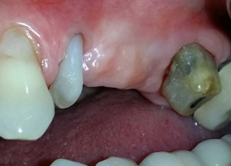
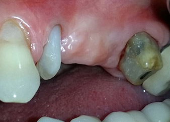
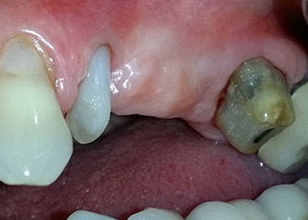
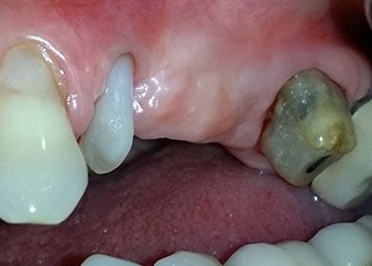
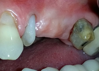
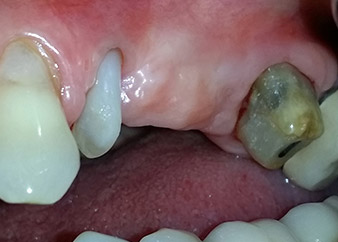
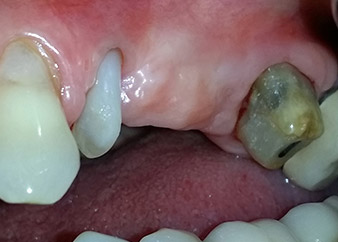
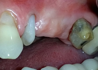
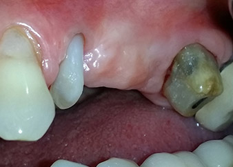
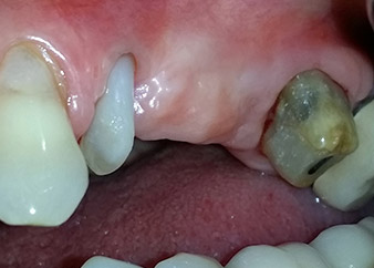
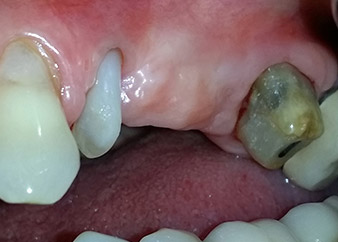
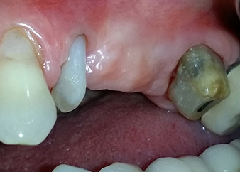
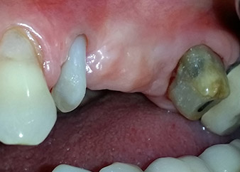
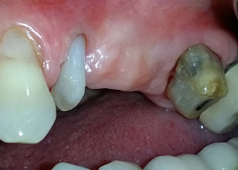
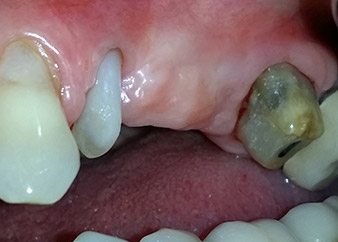
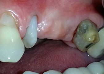
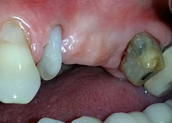
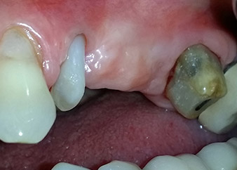
58-годишна пациентка се оплаква от болка и повишена подвижност в нейния мост върху зъб 24 с функция на абатмънт. На лице е периодонтално възпаление с дълбочина на джоба 7 mm мезиобукално и повече от 12 mm дистално, както и включена 3 градусова фуркация. Освен това, рентгенографията показва обширна периодонтална лезия около апикалната зона на (друго място) предварително ендодонтски обработен зъб 24 (Фиг. 1).
Една година по-късно, зъби 25 и 26 са екстрахирани в следствие на травма и поради ендо-перио причини, преди поставянето на моста. Комбинирана ендо-перио лезия е диагностицирана за зъб 24 от неясна етиология. Пациентката иска да задържи нейния мост с абатмънт на зъби 24 и 27 и не приема окончателна, подвижна протеза. По този начин, взаимно решихме да положим всички усилия да запазим и двата зъба, въпреки лошата прогноза за тях, която е базирана на рентгенографски и клинични резултати.
Поставянето на два импланта е планирано на места 25 и 26, в хирургична сесия с отворено периодонтално отстраняване и апикоектомия на зъб 24. В следствие на вертикален дефицит на кост в бъдещото имплантно ложе, планирана е вътрешна аугментация на синус.
След локално лечение с 25 % метронидазол гел (Elyzol) в джобовете на зъб 24, предприето е каузално лечение с периодонтална дезинфекция на цялата уста. Ортоградното лечение на коренов канал е преработено с помощта на обтурация с топла гутаперча, фибростъкло и композитна сърцевина. Мостът е циментиран отново извън оклузията, за да осигури безпрепятствано оздравяване на GTR и GBR местата.
Хирургично отстраняване и апикоектомия
1. Д-р Рамон Бонинсеня
След един месец, в деня на операцията, болката и възпалението в зъб 24 е минимално, но подвижността в Miller class 2 е на лице. След отваряне на ламбата и почистването на периапикалната и перирадикуларната тъкани, обхватът на костния дефект стана очевиден (Фиг. 2 и 3).
В букалния корен, цялата вестибуларна и дистална кост липсва. Захващането е значително ограничено до палатиналния корен, подчертавайки предварително лошата прогноза. Зъб 27 също откри намалено хоризонтално захващане и минимално апикално разреждане (Фиг. 1) без клинични симптоми.

Въпреки това, ние се придържахме към първоначалния си план да запазим и двата зъба като абатмънти за временен мост по време на 6-месечната остеоинтеграция на имплантите. При повторна интервенция, ситуацията трябва да се преразгледа. Първо, в опит да се овладее ендо-перио проблема, останалата повърхност на зъба е внимателно обработена с пиезохирургично оборудване (Piezomed, W&H, използван с накрайник S1 под формата на шпатула, първоначално проектиран за ерозия на латералната синусна стена) (Фиг. 4).
След това апексът се изпилява със същия инструмент, за да се отстрани остатъчната инфектирана апикална тъкан и да се намали възможното допълнително усложнение по кореновите канали (апикоектомия) (Фиг. 5). Ретроградно запълване не е необходимо, защото ортоградното запълване току-що е ревизиран.


Синус лифт и поставяне на имплант
Преди поставянето на импланта, инфектираната тъкан е отстранена от алвеоларната кост в имплантното ложе и около зъба-абатмънт с накрайник, проектиран за оформяне на костта и събиране на костни блокове (Piezomed, накрайник B5) (Фиг. 6 и 7).



Имплантологичното ложе е подготвено в позиции 25 и 26 с ротиращи инструменти, използвайки обратен наконечник 20:1 с усъвършенстван и мощен имплантологичен мотор (Implantmed, W&H) (Фиг. 8).
Следващата препарация близо до синуса отново е извършена с пиезохирургичен накрайник (Piezomed, накрайник S2).
Преди поставянето на имплант, и последвалото потвърждение за непокътната Шнайдерова мембрана (Фиг. 9), вътрешният синус е повдигнат и в двете места на имплантите с помощта на ксеногенен костозаместващ материал (Bio-Oss, Geistlich Biomaterials) (Фиг. 10).


Имплантите (Restore, Keystone Dental, диаметър 3,75 mm, дължина 8.0 mm) са поставени с имплантологичен мотор
(Фиг. 11 и 12).


Дефицитът на кост около имплантите, от мезиален аспект на зъб 27 и около букалния корен на зъб 24, е запълнен с ксеногенни костозаместващи частици и покрит с абсорбираща колагенова мембрана (Bio-Gide, Geistlich Biomaterials) за GBR аугментация (Фиг. 13 и 14).


Накрая, след периостален разрез, мястото е пасивно зашито с коронарно напреднало ламбо, използвайки 5-0 абсорбиращ конец (Фиг. 15). Следоперативната рентгенова снимка показва, че и двата импланта са в правилна вертикална позиция (Фиг. 16).


Междинен резултат след два месеца
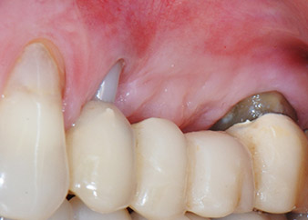
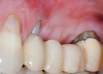
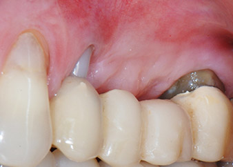
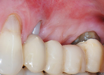
Фигури 17 и 18 показват клиничния резултат два месеца след операцията. Зъб 24 показва намалена подвижност на Милър клас 1 и меките тъкани не са възпалени. Сондирането е избегнато на този етап, за да се избегне повторно възпаление и нарушение на епителната надстройка. Планиран е контролен преглед за повторно отваряне и поставяне на оздравителни абатмънти, шест месеца след поставяне на имплантите.


Дискусия
В конкретния случай, ние комбинирахме лечението на ендо-перио лезия с поставяне на имплант и едновременен синус лифт, GBR и GTR процедури отляво в задната част на челюстта. Тъй като и двата зъба за мост в позиция 24-27 имаха лоша прогноза, свързаните със зъба интервенции са извършени само, за да отговорим на желанието на пациентката да запазим нейните зъби. Освен това, тя не пожела да използва сваляема временна протеза, мостът е циментиран отново за периода на остеоинтеграция на поставените импланти 25 и 26.
Прогноза и опции за възстановяване
На прегледа след два месеца, мобилността на останалия "дентален елемент" 24 вече е намалена от Милър 2 на Милър 1. Захващането на меките тъкани е на нивото на съседния зъб 23. Освен това, няма ендодонтски или периодонтални симптоми, така, че прогнозата трябва да се коригира.
Въпреки това, тъй като голяма част от букалната и проксималната кост липсва и композитното изграждане се простира до апикалната част корена, не се очаква по-високо ниво на захващане в следствие на биологични причини (Sculean et al., 2008).
Подът на синуса и GBR процедурите вероятно ще доведат до алвеоларна подкрепа на имплантите и добра прогноза (Retzepi and Donus, 2010, Calin et al., 2014). След остеоинтеграция, имплантите в позиция 25 и 26 ще бъдат възстановени с шинирана корона. Ако някой от зъбите трябва да бъде екстрахиран, той ще бъде заместен от единично поставяне на имплант с корона.
Избор на хирургичен апарат
Благодарение на прецизното и надеждно изпълнение, периодонталното отстраняване и апикоектомията на място 24 са изпълнени с апарат за пиезохирургия (Фиг. 19). За да се избегне рискът от загуба на зъба, необходимо е цялостно почистване, но без да се упражнява твърде голям натиск. Апаратът беше много полезен при изпиляване на костта в хирургичното поле, което работи много добре с оглед на специфичния ефект на кавитация и режещите характеристики на новата технология.
Имплантологичното ложе е обработено с новия имплантологичен мотор (Фиг. 20), в комбинация с обратен наконечник, специално проектиран за орална хирургия и имплантология.
Предавателното съотношение20:1 заедно с високия въртящ момент до 6.2 Ncm осигуряват препарация на ниски обороти, поставяне на имплант и рязане. Финалната препарация близо до мембраната на синуса отново е извършена с пиезоелектрически апарат и накрайник със сферичен диамантен връх.
От практическа гледна точка, употребата на пиезоелектрически апарат и имплантологичен мотор в една и съща интервенция може да се окаже сложна. Въпреки това, програмирането и манипулацията с двата апарата имат плоски криви на обучение.

Освен това, новият безжичен педал за управление (Фиг. 21) задвижва и двете устройства чрез лесно активиране от педала.
Педалът за управление може удобно да се мести за дръжката. Всички характеристики взети заедно позволяват хирургът да се концентрира върху работното поле и – преди всичко – върху пациента.

Контакт

Д-р Рамон Бонинсеня
Орален хирург (специалист), частна практика в Бреша, Италия; Отдел по анатомия и физиопатология, Департамент по клинична и експериментална наука, Университет в Бреша
Centro Medico Duca d’Aosta
Via Duca D’Aosta, 28
25121 Brescia

Д-р Лука Боволато
Общопрактикуващ, фокусиран върху ендодонтска и възстановителна дентална медицина;
Частна практика в Бреша, Италия
Препратки
- Baldi, D., Menini, M., Pera, F., Ravera, G. & Pera, P. (2011) Sinus floor elevation using osteotomes or piezoelectric surgery. Int J Oral Maxillofac Surg 40, 497-503.
- Calin, C., Petre, A. & Drafta, S. (2014) Osteotome-mediated sinus floor elevation: a systematic review and meta-analysis. Int J Oral Maxillofac Implants 29, 558-576.
- Foce, E. (2009) Lesioni endo-paradontali. Milano: Quintessenza Edizioni.
- Hajishengallis, G. & Lamont, R. J. (2012) Beyond the red complex and into more complexity: the polymicrobial synergy and dysbiosis (PSD) model of periodontal disease etiology. Mol Oral Microbiol 27, 409-419.
- Jensen, S. S., Bosshardt, D. D., Gruber, R. & Buser, D. (2014) Long-term stability of contour augmentation in the esthetic zone: histologic and histomorphometric evaluation of 12 human biopsies 14 to 80 months after augmentation. J Periodontol 85, 1549-1556.
- Nair, P. N. (1997) Apical periodontitis: a dynamic encounter between root canal infection and host response. Periodontol 2000 13, 121-148.
- Retzepi, M. & Donos, N. (2010) Guided Bone Regeneration: biological principle and therapeutic applications. Clin Oral Implants Res 21, 567-576.
- Sanz-Sanchez, I., Ortiz-Vigon, A., Sanz-Martin, I., Figuero, E. & Sanz, M. (2015) Effectiveness of Lateral Bone Augmentation on the Alveolar Crest Dimension: A Systematic Review and Meta-analysis. J Dent Res 94, 128s-142s.
- Schlee, M. & Esposito, M. (2009) Aesthetic and patient preference using a bone substitute to preserve extraction sockets under pontics. A cross-sectional survey. Eur J Oral Implantat 2, 209-217.
- Sculean, A., Nikolidakis, D. & Schwarz, F. (2008) Regeneration of periodontal tissues: combinations of barrier membranes and grafting materials - biological foundation and preclinical evidence: a systematic review. J Clin Periodontol 35, 106-116.
- Tan, W. L., Wong, T. L. T., Wong, M. C. M. & Lang, N. P. (2012) A systematic review of post-extractional alveolar hard and soft tissue dimensional changes in humans. Clin Oral Implants Res 23, 1-21.
- Wallace, S. S., Tarnow, D. P., Froum, S. J., Cho, S. C., Zadeh, H. H., Stoupel, J., Del Fabbro, M. & Testori, T. (2012) Maxillary sinus elevation by lateral window approach: evolution of technology and technique. J Evid Based Dent Pract 12, 161-171.
- Wolff, J. (1986) The Laws of Bone Remodeling (translated by Maquet, P., Furlang, R.). Berlin: Springer.
- Wolff, J. & Wessinghage, D. H. (1892) Das Gesetz der Transformation der Knochen. Berlin: Hirschwald.
- Zhen, F., Fang, W., Jing, S. & Zuolin, W. (2012) The use of a piezoelectric ultrasonic osteotome for internal sinus elevation: a retrospective analysis of clinical results. Int J Oral Maxillofac Implants 27, 920-926.
коментара