Доклади & Изследвания

Атравматична екстракция на зъб: Клинични перспективи от Dr. José Carlos Rosas Díaz

Dr. José Carlos Rosas Díaz е водещ експерт в областта на оралната рехабилитация, имплантология и пародонтология. Въз основа на богатия си опит както в научните изследвания, така и в клиничната практика, той се фокусира върху предимствата на атравматичната екстракция на зъб. В това интервю той обсъжда запазването на вестибуларната костна стена, възможността за незабавно поставяне на имплант и ролята на пиезо технологията в съвременната клинична практика.


Dr. José Carlos Rosas Díaz
  • Експерт по орална рехабилитация, имплантология и пародонтология
Dr. José Carlos Rosas Díaz

Какви предимства виждате в атравматичната екстракция на зъб?

Д-р Росас: Атравматичната екстракция ни позволява да премахнем зъбите без да увреждаме вестибуларната (букална) костна стена. Тази структура обикновено е много тънка – често по-малко от 0,5 мм – и следователно особено податлива на увреждане. В същото време се запазва проксималният костен гребен, което е особено важно във фронталната област, където той играе ключова роля за поддържането на естетиката на гингивалните папили. В контекста на имедиатното поставяне на импланти този подход предлага значителни предимства: цялата архитектура както на твърдите, така и на меките тъкани може да бъде запазена, което води до много по-естествен вид на имплантната реставрация. За пациентите това означава намалена хирургична травма, по-голям комфорт и по-малко следоперативна болка и оток. Освен това, при случаи на суха алвеола (Alveolitis sicca), могат да се използват специализирани пиезо накрайници за нежно прецизиране на алвеоларните стени. Това внимателно микро награпяване на костната повърхност стимулира ново кървене, значително намалява риска от суха алвеола и подпомага неусложнено заздравяване.

Фигура: Рентгеновото изображение показва сагитални томографски срезове на зъби 1.1, 2.1 и 2.2, разкриващи много тънки букални костни пластини с дебелина под 0,2 mm (a, c).
Фигура: Рентгеновото изображение показва сагитални томографски срезове на зъби 1.1, 2.1 и 2.2, разкриващи много тънки букални костни пластини с дебелина под 0,2 mm (a, c).
Фигура: Рентгеновото изображение показва сагитални томографски срезове на зъби 1.1, 2.1 и 2.2, разкриващи много тънки букални костни пластини с дебелина под 0,2 mm (a, c).
Фигура 1: Сагитални томографски срезове на зъби 1.1, 2.1 и 2.2, показващи много тънки букални костни пластини с дебелина под 0,2 mm (a, c).

Можете ли да назовете случаи, в които имедиатното имплантиране би било възможно след конвенционално изваждане на зъб?

Д-р Росас: За успешно имедиатно поставяне на импланти трябва да бъдат изпълнени определени клинични предпоставки. Трябва да има минимум 5 mm апикална кост, както и достатъчно стабилна остатъчна кост около алвеолата, за да може имплантът да бъде сигурно фиксиран. Не трябва да има големи инфекциозни лезии. Също толкова важно е наличието на вестибуларна (букална) костна стена с дебелина над 1 mm. Тази стабилност обикновено може да бъде постигната единствено чрез атравматична екстракция.

Според Вас, как пиезо технологията на W&H подпомага атравматичната екстракция на зъб?

Д-р Росас: W&H предлага изключително фини пиезо накрайници (бел. ред.: напр. EX1 и EX2) с диаметър само 0,2 mm. Те позволяват прецизно навлизане в пространството на периодонталния лигамент, което осигурява контролирана луксация на зъба. При наличие на подходящи клинични умения това значително улеснява процедурата по изваждане. Особено важно е, че пиезоелектричната технология подпомага бързата и ефективна екстракция на силно анкилозирани зъби при по-възрастни пациенти или зъби с дългогодишно ендодонтско лечение. Специализираната геометрия на накрайниците позволява също така прецизни одонтосекции. По този начин атравматичната екстракция се превръща в безопасна и предсказуема процедура.

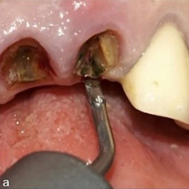
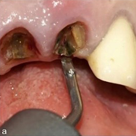
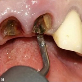
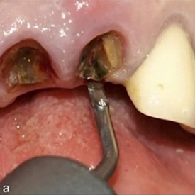
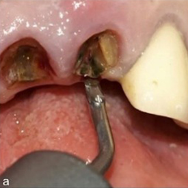
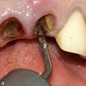
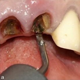
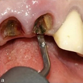
Фигура 2: Синдесмотомия с помощта на пиезо периотом (EX1 на W&H) (a), позициониран в пространството на периодонталния лигамент на нивото на палатиналните фрагменти (b).

За д-р Dr. José Carlos Rosas Díaz

Dr. José Carlos Rosas Díaz, бивш директор на Факултета по стоматология към Университета Privada San Juan Bautista (UPSJB) в Лима, Перу, притежава магистърска степен по дентална медицина и работи като изследовател в UPSJB. Той е специалист по комплексна орална рехабилитация, имплантология и пародонтология.


коментара