Новини
05.02.2025
Имате затруднения при рязане на цирконий?

Концепцията за използване на ротиращи инструменти за рязане на твърди материали датира отпреди поне 6000 години. Древните хора са използвали ръчни каменни борери, за да режат черупки, кости и зъби, прилагайки метод с ниска скорост на въртене и висок въртящ момент. Съвременните дентални турбини значително усъвършенстваха този принцип, позволявайки прецизни разрези дори в много по-твърди материали като денталната керамика.
27.01.2025
„Когато основахме новата си компания, започнахме директно с три хирургични кули.“

Практиката по орална и лицево-челюстна хирургия FINE MKG в Хайлигенхаус (град в Северен Рейн-Вестфалия) е открита през август 2023 г. Две свободни офис помещения формират пространствената й основа. На обща площ от 700 квадратни метра са създадени просторни и изпълнени със светлина лечебни кабинети с операционна зона - а продуктите на W&H могат да бъдат открити във всяко помещение. И то по основателна причина.
08.10.2024
Преодоляване на предизвикателствата при обработката на цирконий и съвременни керамични материали

Керамичните материали като цирконий се използват все по-често в съвременната възстановителна дентална медицина. Отстраняването на циркониеви възстановявания с конвенционални обратни наконечници обаче е трудна и продължителна процедура. Към това се прибавя и голямото износване на борерите, особено при монолитен материал. В някои случаи борерът трябва да се сменя на едноминутни интервали. За да се справи с този проблем, W&H разработи нова продуктова линия, специално пригодена за тези приложения.
23.09.2024
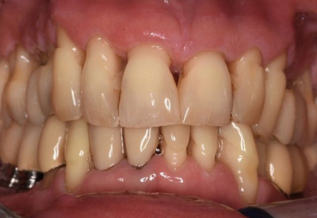
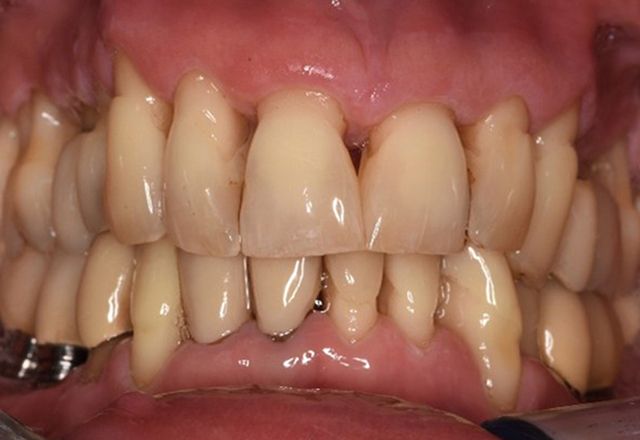
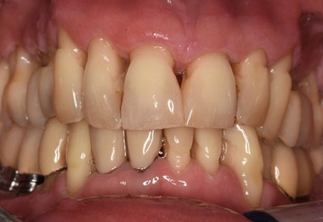
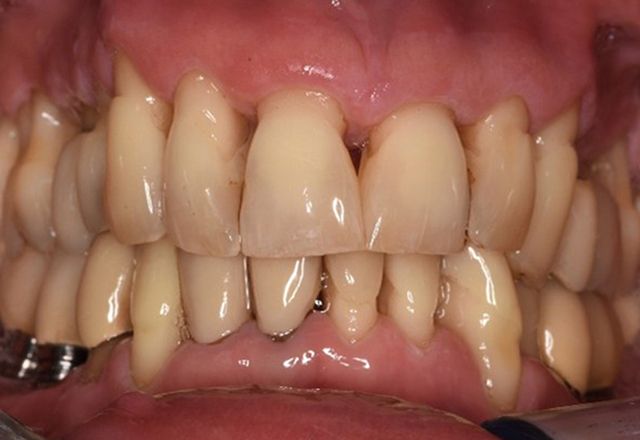
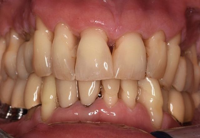
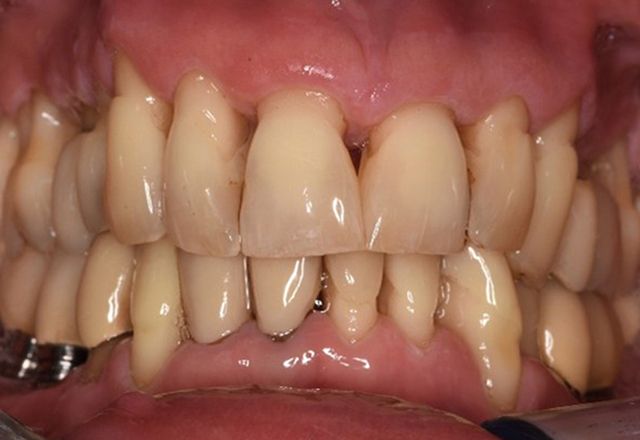
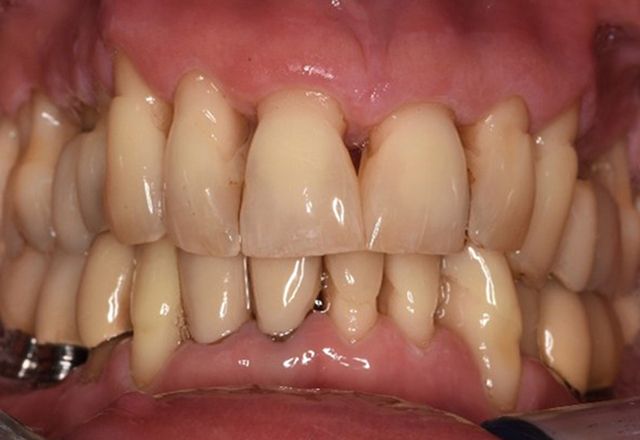
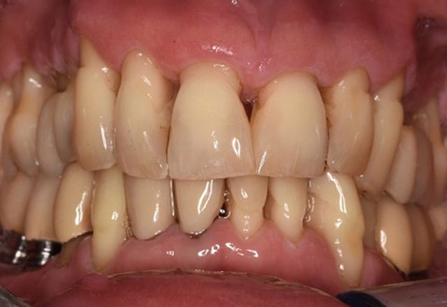
(Орално) здрав пациент с импланти

В медицинската история 55-годишният пациент заявява, че няма хронични заболявания и не приема никакви лекарства. Начинът на живот на пациента също е без забележки. Пациентът има няколко зъбни възстановявания и два импланта (2-ри и 4-ти квадрант). Въз основа на настоящите данни се установява гингивит при иначе стабилно пародонтално състояние върху редуцирания пародонт (стадий III, степен А).
16.09.2024
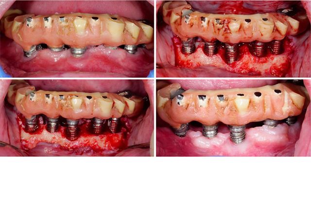
Осеоденсификация срещу пиезоелектрична хирургия за подготовка на имплантното ложе

Осеоденсификацията е неотнемаща техника за пробиване, която запазва и уплътнява костта. Тази процедура се опитва да увеличи костната плътност, въртящия момент при поставяне и стабилността на импланта. Техниката е подходяща за хоризонтална аугментация в тесни алвеоларни гребени, както и за вертикално увеличаване на височината чрез крестален синус лифт.
02.09.2024
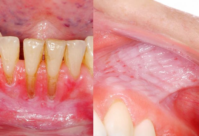
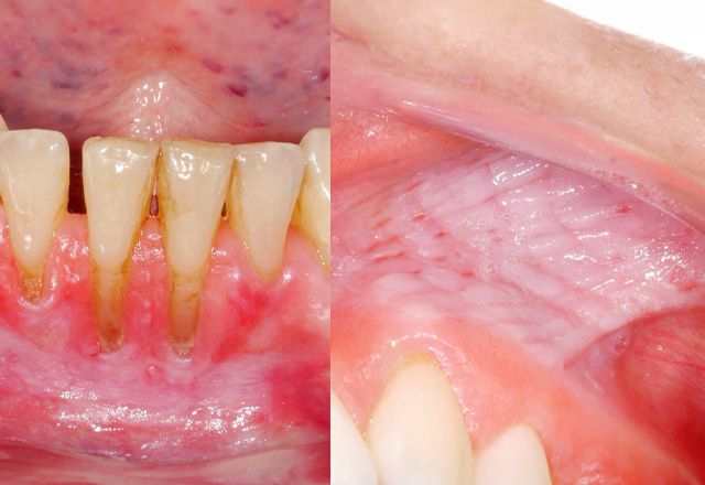
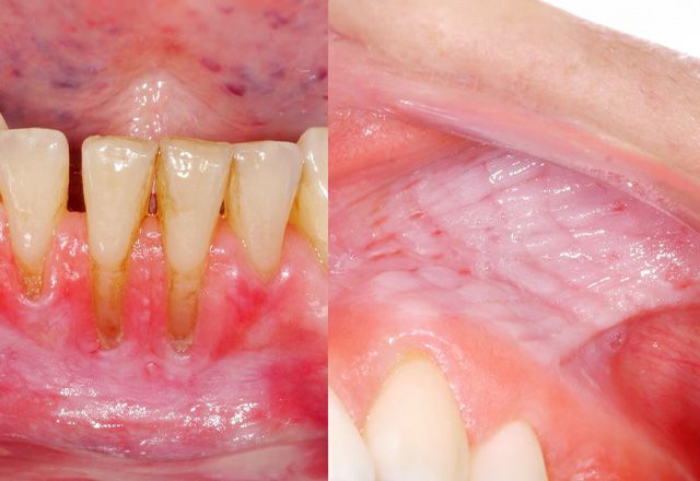
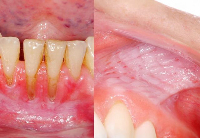
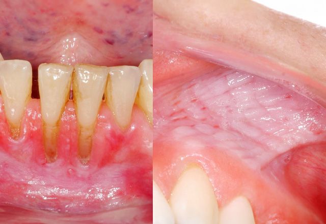
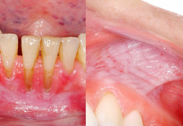
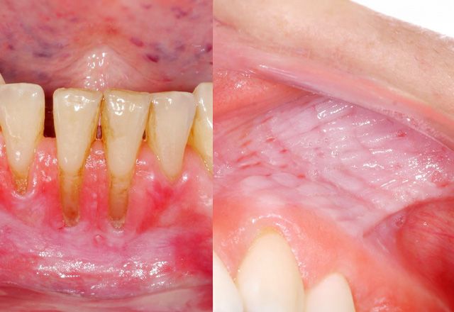
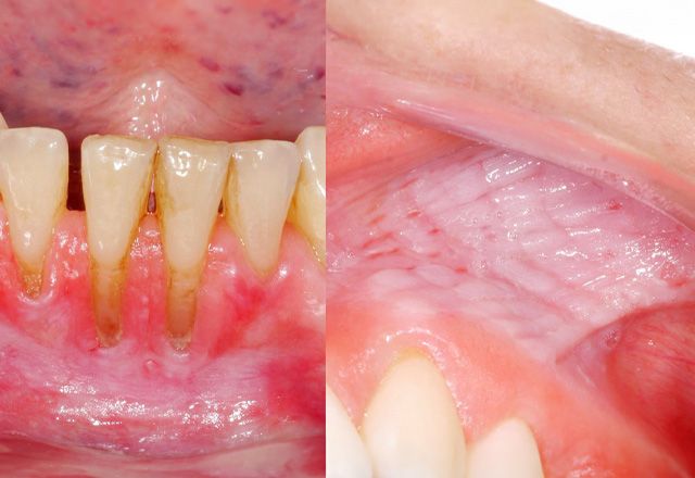
Здрав пациент с вече съществуващо пародонтално заболяване и периимплантит

52-годишен пациент се явява на профилактичен преглед. Той няма хронични заболявания и не приема никакви лекарства. Претърпял е различни дентални лечения и също така има две активни кариозни лезии. Освен това пациентът има четири имплантата (2-ри, 3-ти и 4-ти квадрант). Установява се, че той има ранно пародонтално заболяване (стадий IV, степен В). Състоянието на пародонта му е стабилно, дълбочина на сондиране от 5 mm се вижда само при импланта в област 36. Установен е и гингивит.
30.08.2024
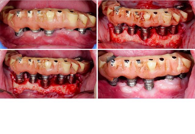
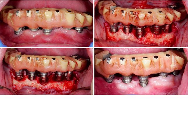
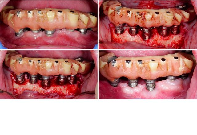
ISQ като ръководство за рехабилитация с импланти

Дългосрочният успех при лечението с импланти е цел, към която се стремят всички клиницисти. Основополагащи за това са правилното поставяне на имплантите, подготовката на хирургичното място и добрата остеоинтеграция след поставянето им. Въпреки че стойността на въртящия момент е основна предпоставка за първичната стабилност, тя сама по себе си не осигурява пълна информация. Ето защо познаването на стойностите на ISQ е от основно значение за оценката както на първичната стабилност на импланта (механична стабилност), така и на вторичната стабилност на импланта (биологична стабилност или остеоинтеграция).
19.07.2024
Снусът причинява лезии на лигавицата и гингивални рецесии

Обикновено снусът влиза в контакт с устната лигавица чрез поставянето му под горната устна, а в някои случаи и под долната устна, при което съдържащият се в него никотин може да попадне в кръвообращението през устната лигавица.
19.07.2024
Стрес + лош сън = още повече пародонтит...?

Стресът, определян като състояние, при което засегнатият човек получава чувство на заплаха или липса на контрол, както и нарушеният сън и лошото му качество, безспорно са проблеми, които причиняват значителни трудности в днешното общество.
04.06.2024
Иновации и решаване на проблеми със Synea Power Edition на W&H

Концепцията за използване на ротиращи инструменти за рязане на твърди материали, като например гранит, е на поне 6000 години. Още 25 000 г. пр.н.е. нашите предци са използвали ръчни свредла, за да режат черупки, без да ги чупят. Тези инструменти обикновено са били изработени от кремък и са се притискали към предмета, който трябва да бъде пробит, след което са се въртели напред-назад с ниска скорост и относително висок въртящ момент. Мощните съвременни наконечници са издигнали принципа на променливата скорост и високия въртящ момент, за да позволят прецизни разрези в много по-твърди материали като цирконий.
23.05.2024
Достатъчно ли е едно посещение при зъболекар годишно, ако имате импланти?

Това проучване още веднъж подчертава, че пациентите, които не посещават редовно контролни прегледи след поставяне на имплантно-протетичното възстановяване са изложени на много висок риск от периимплантни заболявания и по-специално от периимплантит; въз основа на тези данни се препоръчват поне две контролни посещения годишно.
12.04.2024
Зъб или имплант?

Борбата за пародонтално компрометирани зъби и следователно запазването на тези зъби обикновено се изплаща на пациентите и от финансова гледна точка и обикновено е по-евтино от екстракцията и последващата имплантация.
12.04.2024
Повече артрит, повече пародонтит?

Пациентите с ревматоиден артрит са изложени на значително по-висок риск от пародонтит, като този риск се увеличава допълнително при пациенти с активен ревматоиден артрит.
26.03.2024
Какви са ползите от интерденталното почистване в дългосрочен план?

Почистването на междузъбните пространства с помощта на конци за зъби или интердентални четки значително намалява натрупването на плака в междузъбните пространства и в дългосрочен план води дори до намаляване на загубата на зъби.
15.03.2024
Прагматичен подход за управление на
периимплантни биологични усложнения

Запознайте се със сложността на грижата за зъбните импланти: тази научно обоснована статия обобщава ключовите аспекти на диагностика, орална хигиена и експертните стратегии за ефективно управление на мукозита и периимплантита.
08.03.2024
Пародонталното лечение подобрява не само пародонта при диабетици

Нехирургичното пародонтално лечение може да намали дългосрочно нивата на кръвната захар (HbA1c) при диабетици тип 2 с 0,3% и този ефект се запазва дори шест месеца след лечението.
08.03.2024
Родители внимавайте – риск от заразяване!

Нелекуваните пародонтални заболявания при родителите могат да повлияят отрицателно върху развитието на оралната микробиома на техните деца и да насърчи развитието на дисбиотична орална микробиома.
20.11.2023
Короните върху имплантите трябва да се поддържат чисти… но как?

Формата на короната върху импланта оказва значително влияние върху това колко добре може да се поддържа орална хигиена в домашни условия, а вдлъбнатите форми на короната изглеждат по-лесни за почистване; също така изглежда, че долната страна на короната върху импланта в зоната на молара е най-лесна за достъп с конец за зъби.
20.11.2023
Нездравословен начин на живот = по-лоши резултати от лечението?

Факторите, които могат да бъдат категоризирани като лош начин на живот и предимно комбинация от тях, значително увеличава дела на остатъчните дълбочини на сондиране ≥ 6 mm и значително намалява вероятността за постигане на желания резултат от лечението при пациенти с пародонтит след нехирургично пародонтално лечение (етап 1 и 2 на лечение).
23.10.2023
Успешно лечение – има ли значение? Част 2

Често използваните дефиниции за успешно пародонтално лечение са изключително трудни за постигане, но въпреки това са свързани с по-ниска степен на загуба на зъби. Въпреки това, степента на загуба на зъби при пациенти, които редовно посещават сесии за поддържащо пародонтално лечение, обикновено е много ниска.
23.10.2023
Превенцията е най-доброто лечение – част 2

Натрупването на биофилм е основният етиологичен фактор в развитието на периимплантни заболявания; Следователно контролът на плаката и поддържащата терапия са от решаващо значение за предотвратяване на периимплантни заболявания.
25.09.2023
Социален живот дори без зъби?

В напреднала възраст загубата на зъби води до значително намален социален живот, докато поддържането на минимум 20 зъба има обратен ефект и води до значително подобрение и по-чести социални взаимодействия.
29.08.2023
Фактори, свързани с пациента и импланта – какво влияе върху резултата от лечението?

В това проучване нехирургичното лечение на периимплантит е било успешно само в 25% от случаите и е било неблагоприятно повлияно от медицинска история, включваща пародонтит и тютюнопушене, неподходяща орална хигиена и широк диаметър на импланта.
29.08.2023
Кератинизираната мека тъкан е от решаващо значение за имплантите

Предотвратяването на периимплантни заболявания е най-доброто лечение и периимплантните меки тъкани могат да играят решаваща роля тук; поради тази причина екипът трябва да обсъди дали има нужда от лечение при пациенти с липса на кератинизирана лигавица (т.е. < 2 mm ширина).
29.08.2023
Импланти – успешни от гледна точка на пациента?

Много висок процент от пациентите имат положителен опит от лечението с импланти и повечето са много доволни от резултата; въпреки това често срещаните критики са разходите за лечение и способността да поддържат хигиена.
26.07.2023
Упражненията са здравословни… дори и за нашите зъби?

Жените, които спортуват редовно, показват значително намален риск от периодонтит и значително по-ниска степен на периодонталното заболяване.
26.07.2023
Без зъби, влошено качество на живот?

Рехабилитацията и заместването на липсващи зъби водят до значително подобряване на качеството на живот, свързано с оралното здраве, а също така водят до подобряване на общото здраве.
26.06.2023
Пародонтитът нарушава и усещането ни за вкус и мирис!

Проучване, базирано на въпросник, показа, че пародонтитът значително увеличава риска от нарушено усещане за вкус и обоняние.
26.06.2023
Пушенето и увеличената дълбочина на сондиране са ранни предупредителни знаци

Пушенето и увеличената дълбочина на сондиране в млада възраст (т.е. на възраст < 20 години) са значителни рискови фактори за ранна поява на пародонтит (т.е. на възраст < 30 години).
24.05.2023
Миене на зъбите само за 10 секунди?

Автоматичното миене на зъби може да има обещаващ потенциал, но все още се нуждае от повече техническо развитие за подобряване на съществуващите недостатъци по отношение на персонализирането за различни размери челюсти и позиции на зъбите, междузъбни пространства и избор на оптимално време за четкане.
24.05.2023
Когато възможно най-добре не е достатъчно добре

Дори когато им се казва да измият зъбите си възможно най-добре, качеството на миенето сред юношите е лошо; основните слабости са почистването на палатиналните/лингвалните повърхности и цялостната техника на четкане.
27.04.2023
Периимплантатен мукозит – ефективни ли са допълнителните химични терапии? Част 2!

Допълнителни мерки, прилагани локално или системно от пациента (напр. антисептици под формата на вода за уста или пробиотици), биха могли да имат допълнителен положителен ефект при лечението на периимплантатен мукозит.
27.04.2023
Превенцията е най-доброто лечение!

Оптимален контрол на диабета, редовната поддържаща имплантна терапия и увеличаването на периимплантните мекотъканни дефицити се оказаха решаващи в първичната профилактика на периимплантните заболявания.
31.03.2023
Нехирургично лечение на периимплантит – химическо почистване...?

Химическите добавки за почистване на повърхността на импланта като част от нехирургичната периимплантитна терапия може да имат смисъл, но има недостиг на добре проведени проучвания с достатъчен брой пациенти и достатъчно дълъг период на проследяване, за да може наистина да препоръча конкретен метод и/или продукт.
31.03.2023
Нехирургично лечение на периимплантит – златен стандарт...?

Поради продължаващата липса на добре проведени клинични проучвания, все още не е възможно въз основа на доказателствата да се дадат ясни насоки за лечение на механично почистване като част от нехирургично лечение на периимплантит.
20.02.2023
Електрическото междузъбно почистване – добра алтернатива...?

Електрически захранваните интердентални почистващи устройства изглежда имат сравнима ефективност с конеца за зъби при пациенти с гингивит, но в същото време имат предимството, че пациентите ги предпочитат.
20.02.2023
Периимплантатен мукозит – ефективни ли са допълнителните химични терапии?

Въз основа на доказателствата не е възможно да се препоръчат професионално прилагани допълнителни химични терапии при лечението на периимплантатен мукозит. Продуктите, тествани до момента, не демонстрират значителни ползи в сравнение само с дебридман.
11.11.2022
Лечение на гингивит = по-здрави и щастливи пациенти!

Лечението на гингивита е не само най-ефективният вариант за предотвратяване на появата на пародонтит, но и води до намаляване на системните възпалителни маркери, като същевременно подобрява качеството на живот на пациента по отношение на оралното здраве.
13.10.2022
Доживотна поддържаща пародонтална терапия? Абсолютно!

Пациентите с пародонтит винаги трябва да бъдат интегрирани в поддържащо лечение, тъй като в противен случай степента на рецидив и пародонтално възпаление вероятно ще бъде много висока.
13.10.2022
Дълготрайните ефекти от тютюнопушенето върху нашите импланти...

Консумацията на тютюн има траен негативен ефект върху периимплантната тъкан и води до повишен риск от развитие на периимплантит. Този отрицателен ефект продължава с години, дори след като индивидът успешно е спрял пушенето.